セラミック治療の症例

横浜駅前しらゆり歯科のセラミック治療(審美歯科)症例一覧ページです。オールセラミッククラウン・ジルコニアクラウン・ブリッジ・インレーなど、治療例をご紹介しております。

清掃しやすいクラウンへ

清掃しやすいクラウンへ ビフォー 清掃しやすいクラウンへ アフター

他院での治療の途中で通院をやめてしまい、当院で治療の続きを希望された患者様です。

セラミック治療
セラミック素材を用いた被せ物や詰め物の治療
治療費
39.6万円(ジルコニアクラウン×3・仮歯×3)
リスク・副作用について
天然歯を削ります/硬い素材は天然歯を傷つけてしまう場合があります/かみ合わせや歯ぎしりが強すぎる方はセラミックが割れてしまう可能性があります

歯ぐきのボリュームを回復しブリッジで自然で美しい歯に

歯ぐきのボリュームを回復しブリッジで自然で美しい歯に ビフォー 歯ぐきのボリュームを回復しブリッジで自然で美しい歯に アフター

歯ぐきが下がり前歯の見た目が悪い、歯も揺れるので治療したいとご来院された患者様です。

セラミック治療
セラミック素材を用いた被せ物や詰め物の治療
歯周病治療
中度歯周病以上にまで進行してしまった歯周病に対して行う外科治療
治療費
61.6万円(ジルコニアクラウン×3・仮歯×3 歯槽骨増大術 歯肉移植術)
リスク・副作用について
天然歯を削ります/硬い素材は天然歯を傷つけてしまう場合があります/かみ合わせや歯ぎしりが強すぎる方はセラミックが割れてしまう可能性があります
術後に痛みや腫れ、違和感を伴います/歯周組織再生治療は患者様の状態によって術後の経過が異なります(見た目が改善しない場合もあります)

中等度歯周病の治療後にセラミックで美しい前歯に

中等度歯周病の治療後にセラミックで美しい前歯に ビフォー 中等度歯周病の治療後にセラミックで美しい前歯に アフター

長年、他院にて定期管理および歯周病治療を継続されていたものの、突然多数の抜歯を宣告されたことで治療方針に疑問を抱かれ、当院へ歯周病治療のご相談に来院されました。

セラミック治療
セラミック素材を用いた被せ物や詰め物の治療
歯周病治療
中度歯周病以上にまで進行してしまった歯周病に対して行う外科治療
治療費
85.8万円(ジルコニアクラウン×4・仮歯×4 歯周病再生療法 歯周ポケット除去手術)
リスク・副作用について
天然歯を削ります/硬い素材は天然歯を傷つけてしまう場合があります/かみ合わせや歯ぎしりが強すぎる方はセラミックが割れてしまう可能性があります
術後に痛みや腫れ、違和感を伴います/歯周組織再生治療は患者様の状態によって術後の経過が異なります(見た目が改善しない場合もあります)

適合の悪い銀歯をセラミックへ

適合の悪い銀歯をセラミックへ ビフォー 適合の悪い銀歯をセラミックへ アフター

食べ物がよく詰まる、見た目も悪いので銀歯をやり替えたいとご来院された患者様です。

セラミック治療
セラミック素材を用いた被せ物や詰め物の治療
治療費
20.9万円(ジルコニアクラウン・仮歯・セラミックインレー)
リスク・副作用について
天然歯を削ります/硬い素材は天然歯を傷つけてしまう場合があります/かみ合わせや歯ぎしりが強すぎる方はセラミックが割れてしまう可能性があります

前歯の歯間の虫歯、セラミックで美しく

前歯の歯間の虫歯、セラミックで美しく ビフォー 前歯の歯間の虫歯、セラミックで美しく アフター

前歯の影が大きくなってきているとご相談にいらっしゃった患者様です。

セラミック治療
セラミック素材を用いた被せ物や詰め物の治療
治療費
52.8万円(ジルコニアクラウン×4・仮歯×4 )
リスク・副作用について
天然歯を削ります/硬い素材は天然歯を傷つけてしまう場合があります/かみ合わせや歯ぎしりが強すぎる方はセラミックが割れてしまう可能性があります

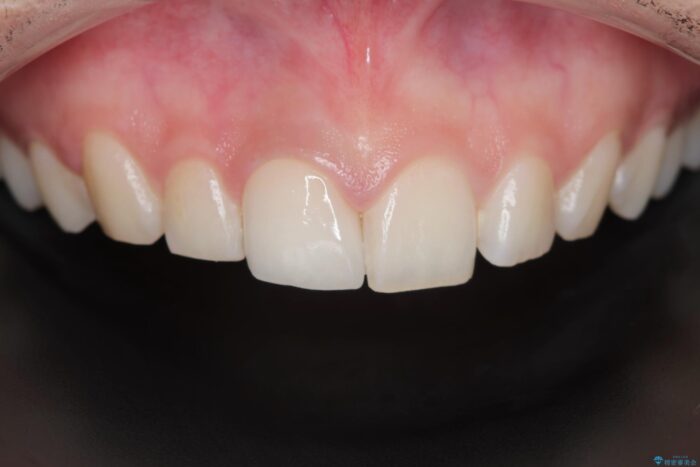
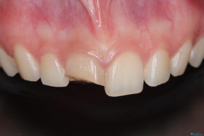
欠けた前歯、根管治療からやり直す

欠けた前歯、根管治療からやり直す ビフォー 欠けた前歯、根管治療からやり直す アフター

前歯が欠けたため、ご来院された患者様です。

セラミック治療
セラミック素材を用いた被せ物や詰め物の治療
治療費
ジルコニアクラウンスタンダード・仮歯 13.2万円  精密根管治療(リトリート)・ファイバーコア 12.1万円
リスク・副作用について
天然歯を削ります/硬い素材は天然歯を傷つけてしまう場合があります/かみ合わせや歯ぎしりが強すぎる方はセラミックが割れてしまう可能性があります

抜歯を伴うセラミック治療で、磨きやすい美しい口元へ

抜歯を伴うセラミック治療で、磨きやすい美しい口元へ ビフォー 抜歯を伴うセラミック治療で、磨きやすい美しい口元へ アフター

前歯の変色が気になるとご来院された患者様です。

セラミック治療
セラミック素材を用いた被せ物や詰め物の治療
治療費
26.4万円(ジルコニアクラウン×2・仮歯×2)
リスク・副作用について
天然歯を削ります/硬い素材は天然歯を傷つけてしまう場合があります/かみ合わせや歯ぎしりが強すぎる方はセラミックが割れてしまう可能性があります

虫歯だらけの前歯、セラミックで美しく

虫歯だらけの前歯、セラミックで美しく ビフォー 虫歯だらけの前歯、セラミックで美しく アフター

幼少期のジュースが原因で多発した虫歯をレジンで治療されていましたが、前歯の見た目をきれいにしたいとご来院されか患者様です。

セラミック治療
セラミック素材を用いた被せ物や詰め物の治療
治療費
52.8万円(ジルコニアクラウン×4・仮歯×4)
リスク・副作用について
天然歯を削ります/硬い素材は天然歯を傷つけてしまう場合があります/かみ合わせや歯ぎしりが強すぎる方はセラミックが割れてしまう可能性があります

ジルコニアクラウンで前歯の変色を自然な白さに改善

ジルコニアクラウンで前歯の変色を自然な白さに改善 ビフォー ジルコニアクラウンで前歯の変色を自然な白さに改善 アフター

前歯の変色、審美障害の改善を主訴にご来院されました。

セラミック治療
セラミック素材を用いた被せ物や詰め物の治療
治療費
52.8万円(ジルコニアクラウン×4・仮歯×4)
リスク・副作用について
天然歯を削ります/硬い素材は天然歯を傷つけてしまう場合があります/かみ合わせや歯ぎしりが強すぎる方はセラミックが割れてしまう可能性があります

銀歯を白くする前にエムドゲインを用いた再生治療

銀歯を白くする前にエムドゲインを用いた再生治療 ビフォー 銀歯を白くする前にエムドゲインを用いた再生治療 アフター

銀歯を白くしたいとセラミック治療を希望されご来院されました。

セラミック治療
セラミック素材を用いた被せ物や詰め物の治療
歯周病治療
中度歯周病以上にまで進行してしまった歯周病に対して行う外科治療
治療費
37.4万円(ジルコニアクラウン×2・仮歯×2・再生治療)
リスク・副作用について
天然歯を削ります/硬い素材は天然歯を傷つけてしまう場合があります/かみ合わせや歯ぎしりが強すぎる方はセラミックが割れてしまう可能性があります
術後に痛みや腫れ、違和感を伴います/歯周組織再生治療は患者様の状態によって術後の経過が異なります(見た目が改善しない場合もあります)

セラミック治療の注意事項(リスク・副作用など)

  • 天然歯を削ります

  • かみ合わせや歯ぎしりが強すぎる方はセラミックが割れてしまう可能性があります

  • 硬い素材は天然歯を傷つけてしまう場合があります

  • 自費診療(保険適用外治療)となります

Counselingカウンセリング予約

初診限定で無料の個別相談(予約制)を実施しております

お電話での治療に関するご相談は、ドクターによる対応ができないためお受けできません

横浜駅前しらゆり歯科

〒221-0835
神奈川県横浜市神奈川区鶴屋町2-12-5
トレゾ横浜2F

診療時間

月~金 11:00~13:00 / 14:30~20:00
土・日 10:00~13:00 / 14:30~18:00

休診日

木曜・祝日