前歯のセラミックと歯周外科治療
治療概要
患者様
30代女性
治療期間
8ヶ月
概算治療費
95.7万円(ジルコニアクラウン×6・仮歯×6・歯周外科)
※費用は治療当時の料金となります担当医
大元
治療動機
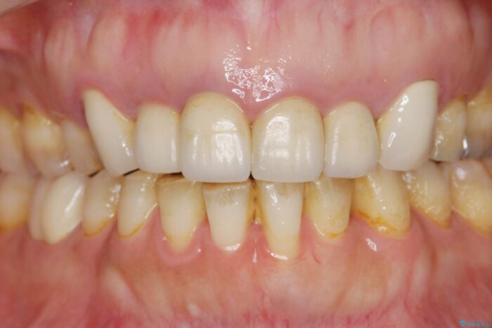
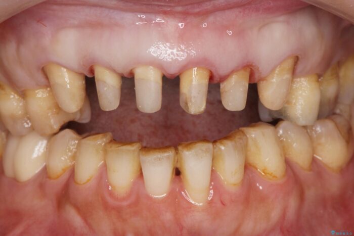
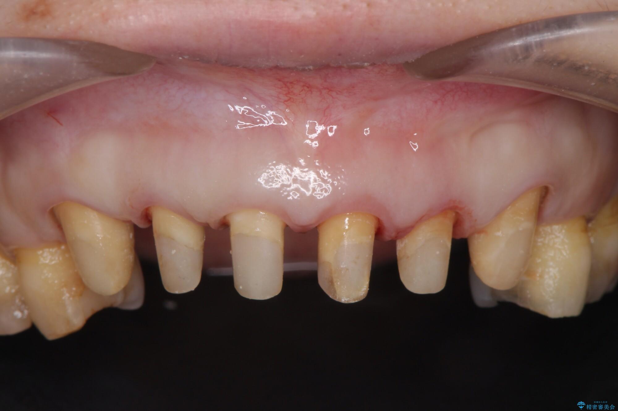
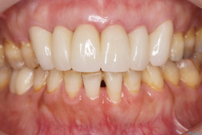
以前に他院で行ったセラミック治療後に、慢性的に歯ぐきからの出血や疼き、違和感がありご相談にいらっしゃった患者様です。
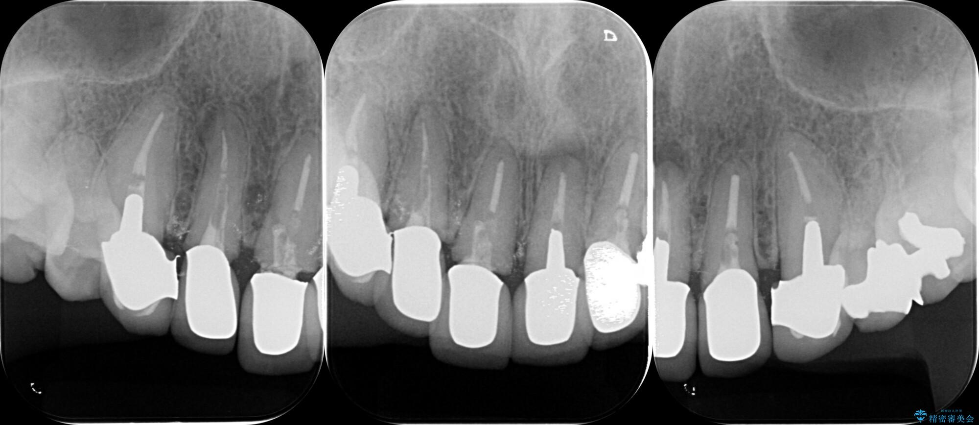
治療計画
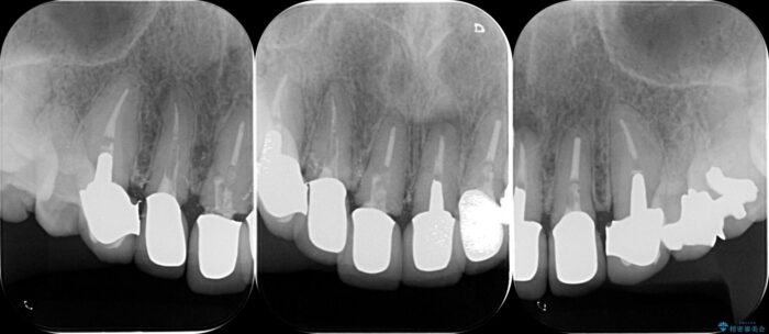
装着されていたセラミックを除去したところ、歯ぐきの奥深くまで歯牙は削られ、歯ぐきの炎症・出血が著しくみられる状態でした。
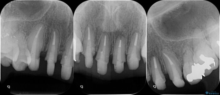
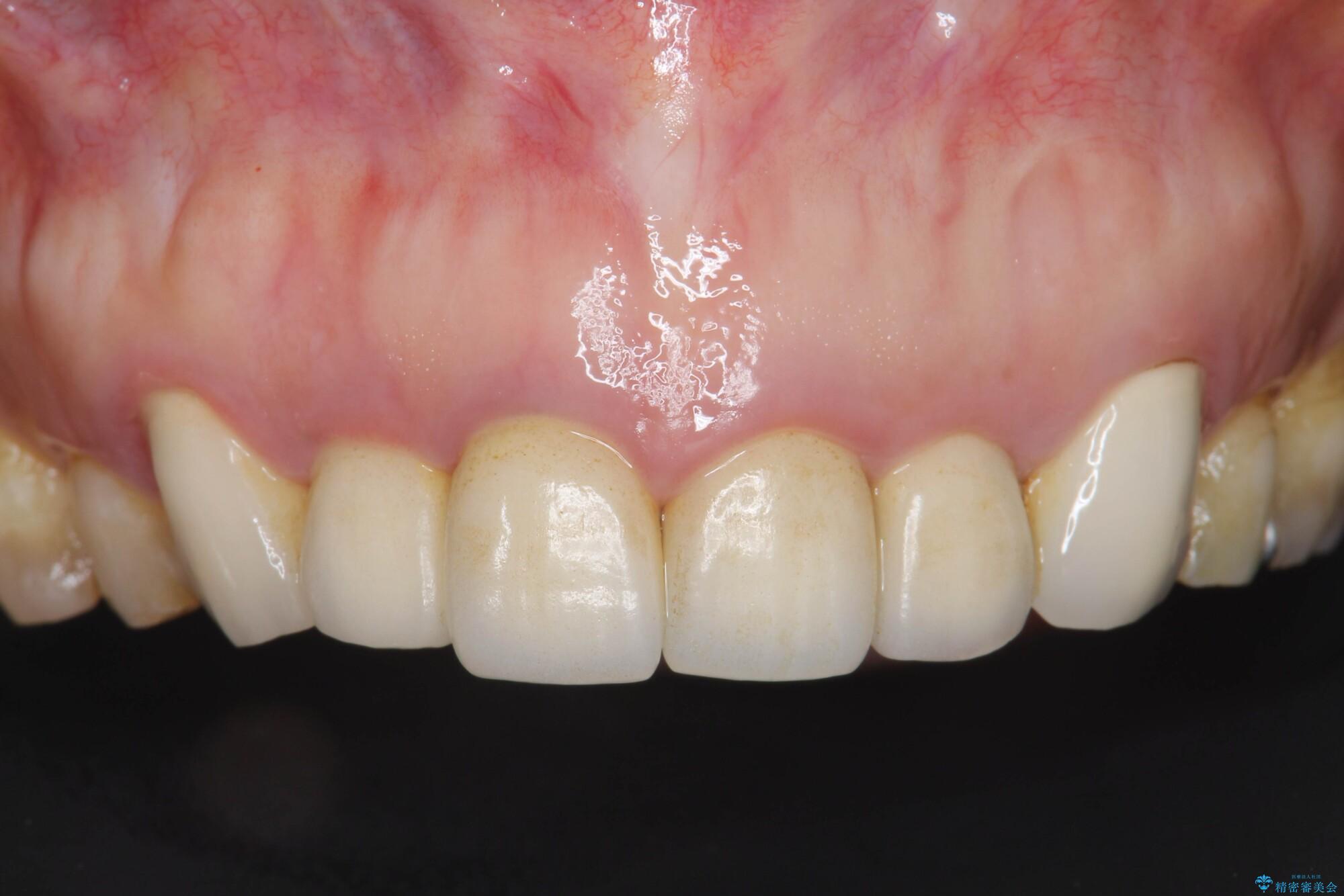
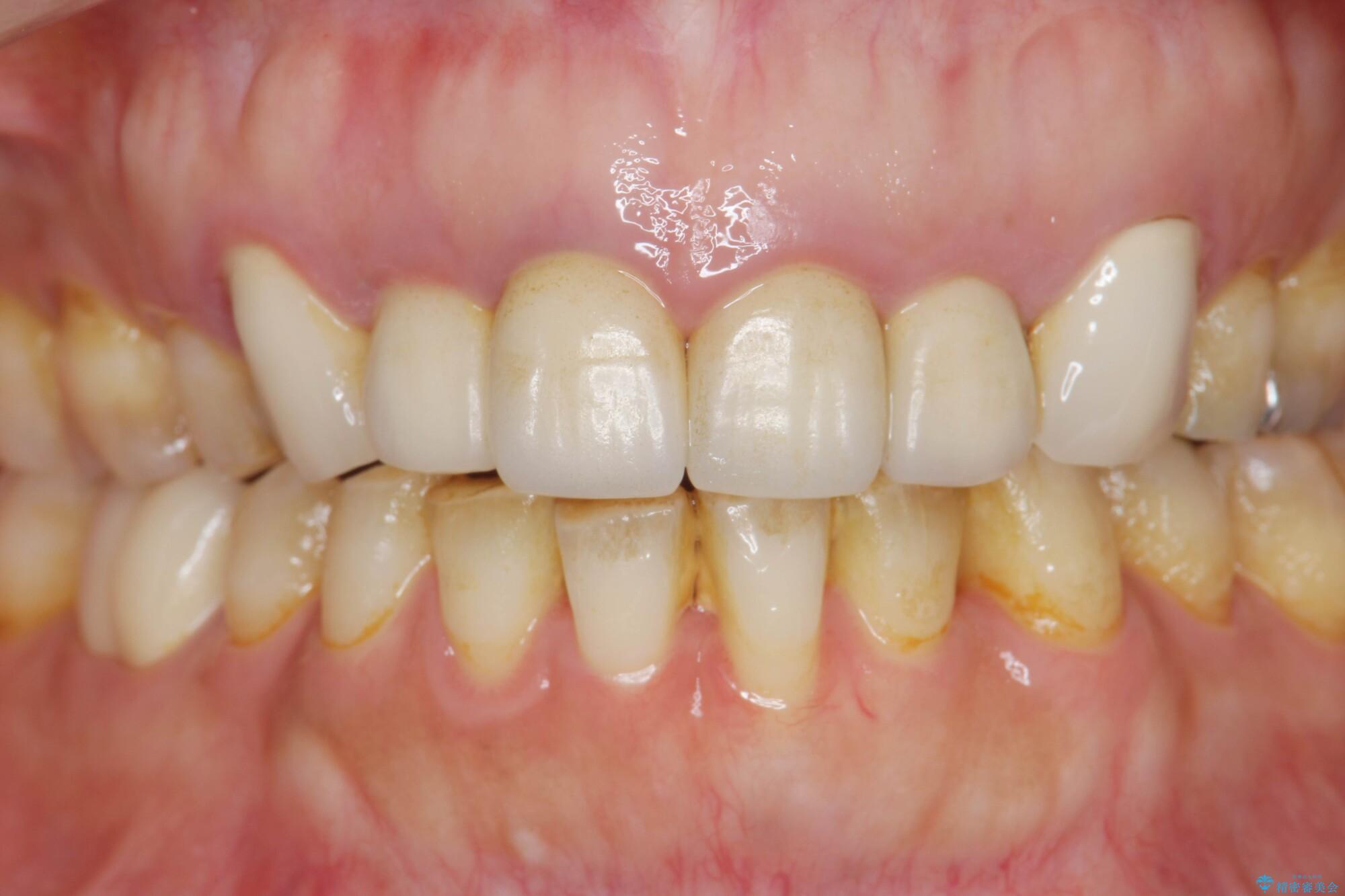
この状態で再度セラミッククラウンの作製・装着を行ってもまた同じ状態となってしまうため、歯周外科を行い歯ぐきの状態を整備したのちセラミッククラウン治療をおこなっていきます。
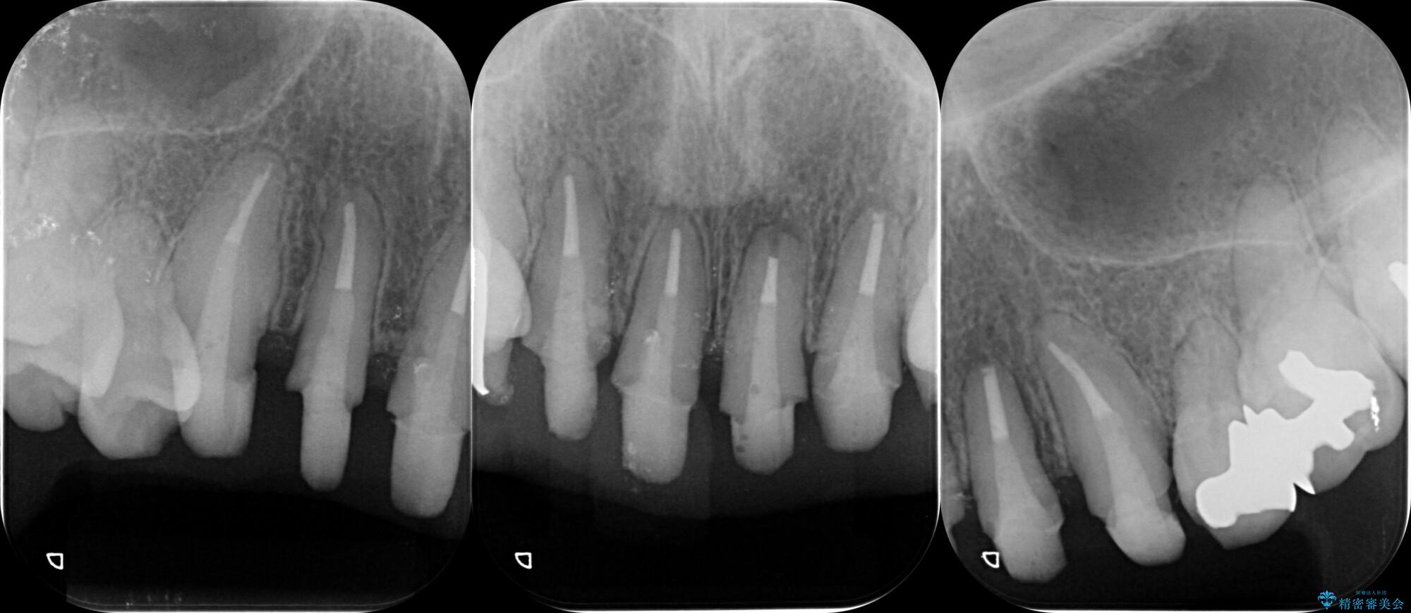
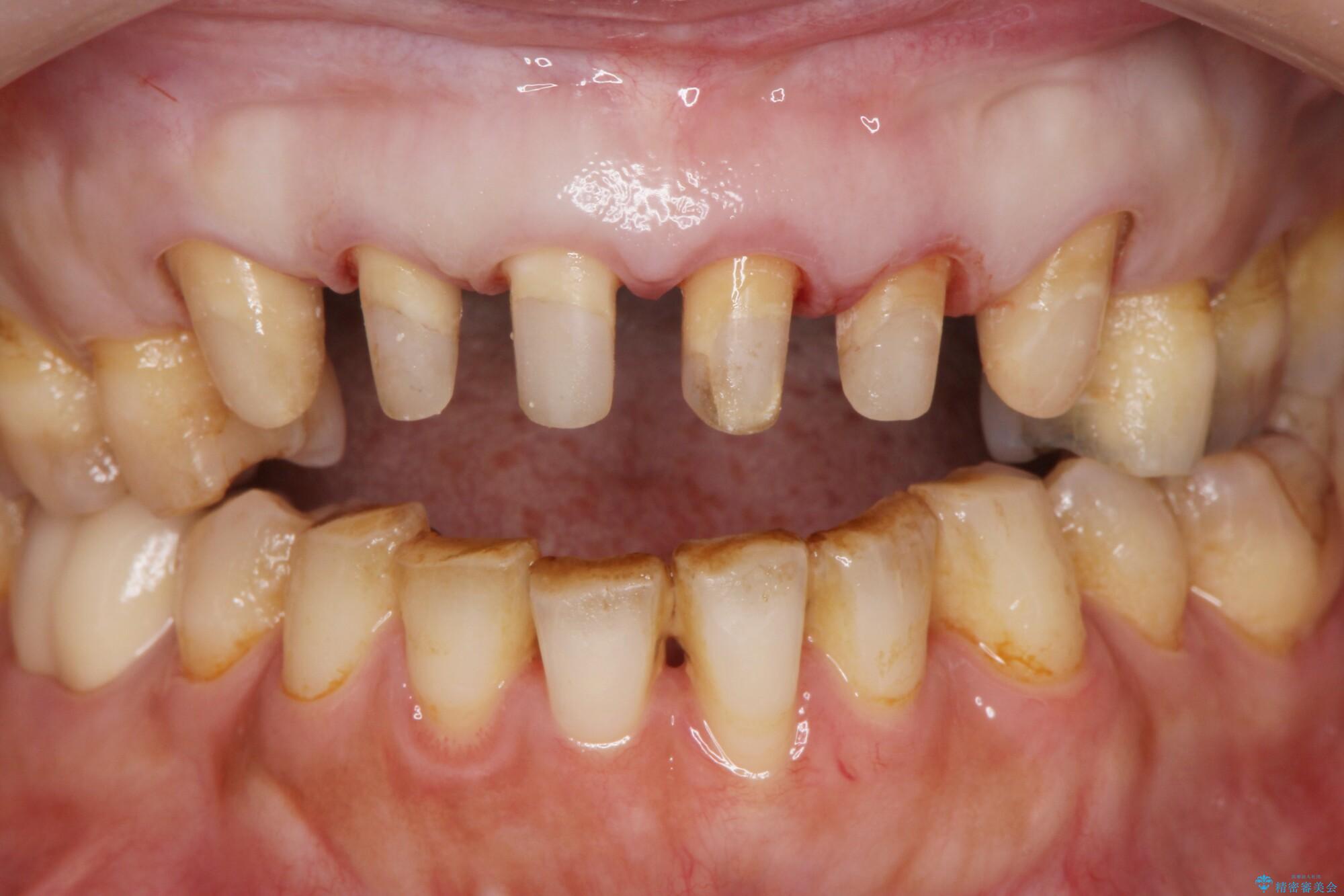
治療後について
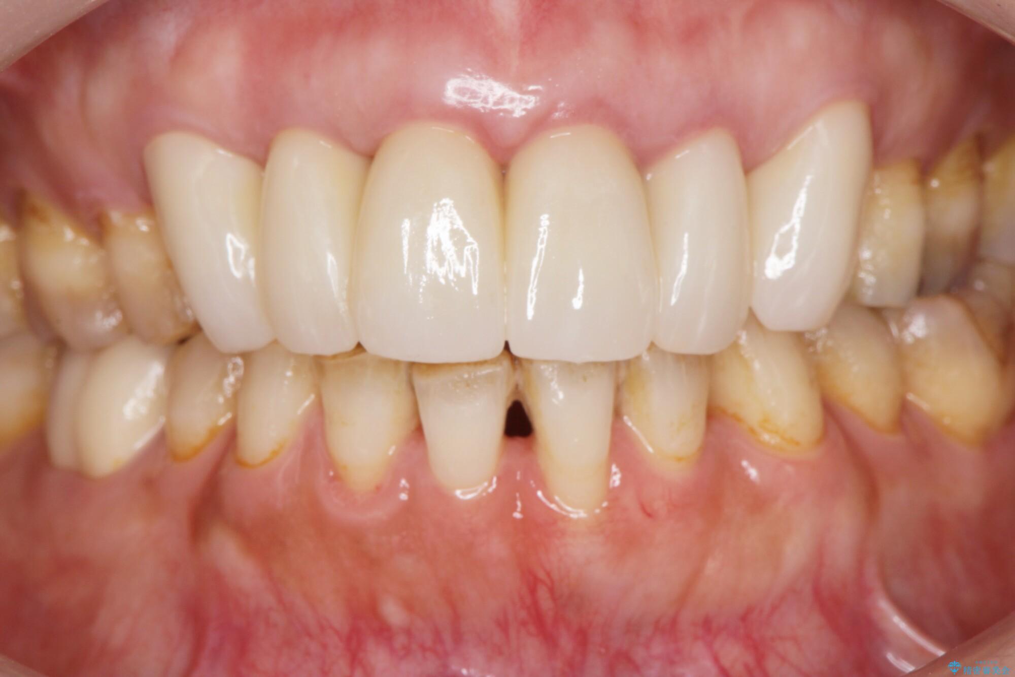
治療には歯肉を成熟させる期間を含めて約8ヶ月間要しましたが、出血や違和感のない歯ぐきとなり大変ご満足いただけました。
セラミック治療の注意事項(リスク・副作用など)
天然歯を削ります
硬い素材は天然歯を傷つけてしまう場合があります
かみ合わせや歯ぎしりが強すぎる方はセラミックが割れてしまう可能性があります
自費診療(保険適用外治療)となります
外科処置の注意事項(リスク・副作用など)
外科手術のため、術後に出血、痛みや腫れ、違和感を伴います
口腔内の状態によっては適応できないことがあります








