銀歯の下の虫歯治療と歯周外科治療
治療概要
患者様
30代女性
治療期間
6ヶ月
概算治療費
37.4万円(ジルコニアクラウン×2・仮歯×2・歯周外科)
※費用は治療当時の料金となります担当医
大元
治療動機
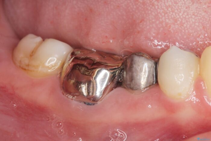
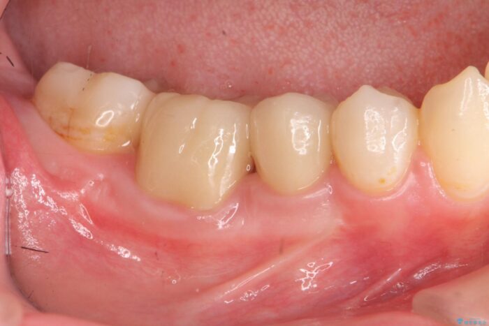
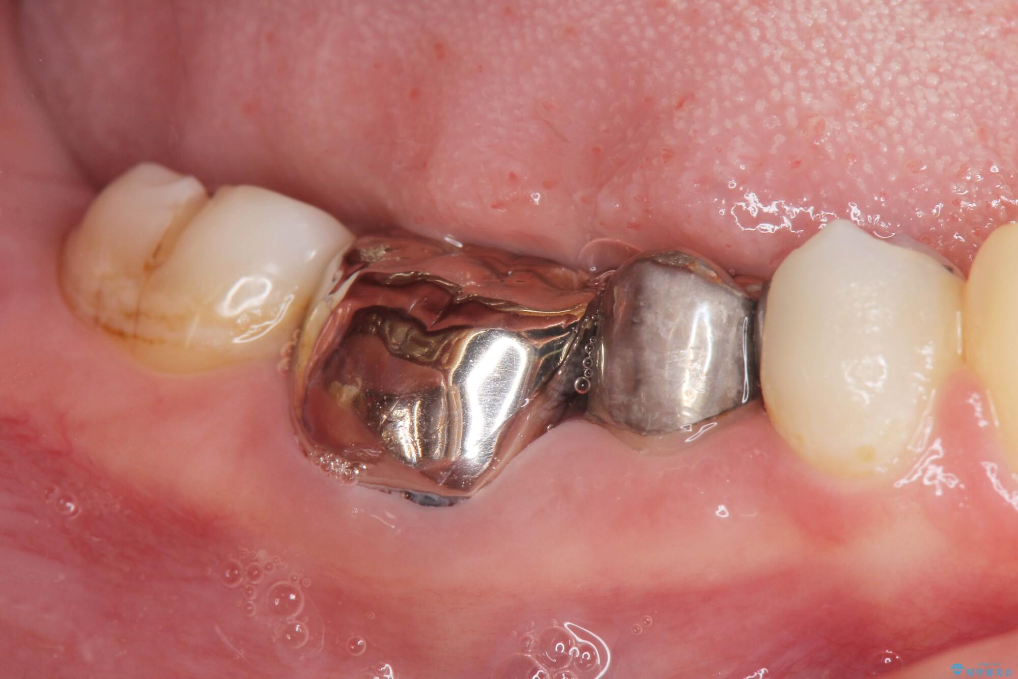
銀歯周辺の歯ぐきが疼くとご相談にいらっしゃった患者様です。
治療計画
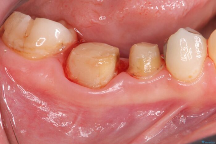
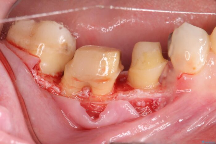
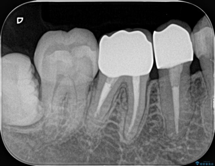
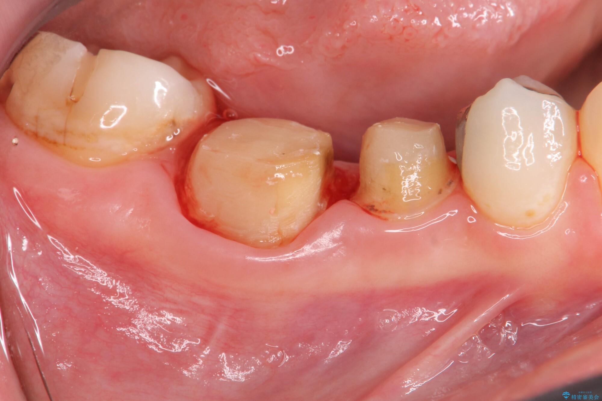
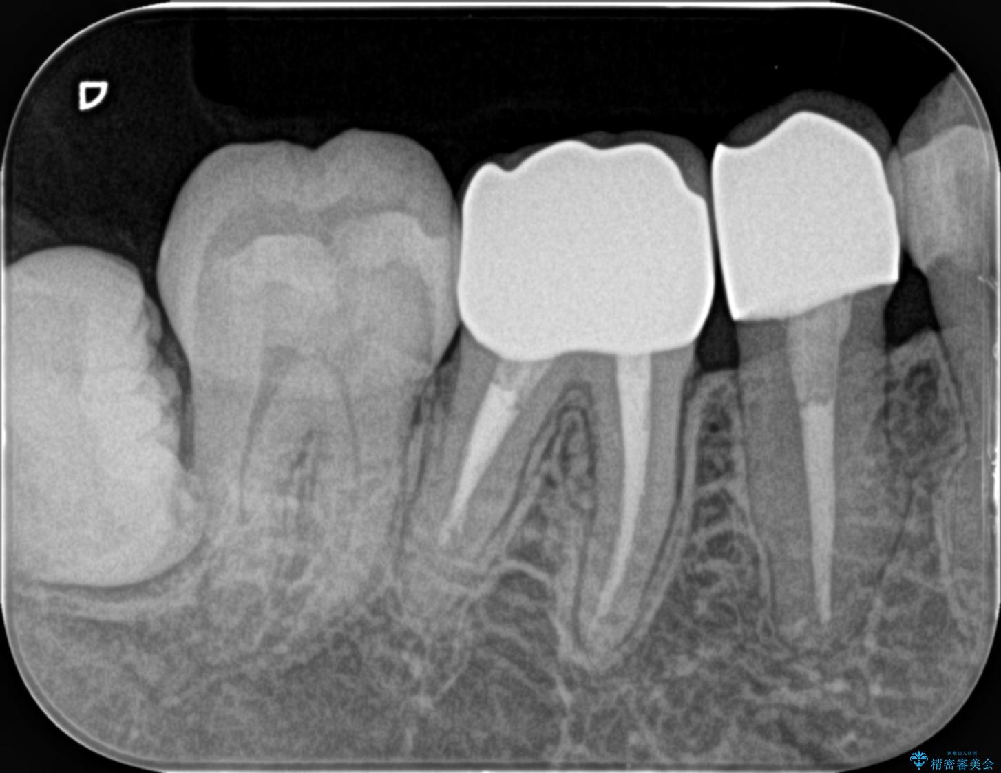
装着されていた清掃性の悪い銀歯を外すと、銀歯の下で歯ぐきよりも深い虫歯が再発していました。
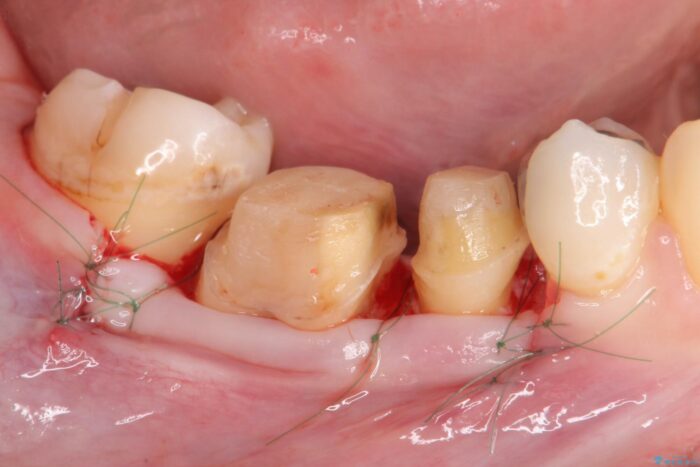
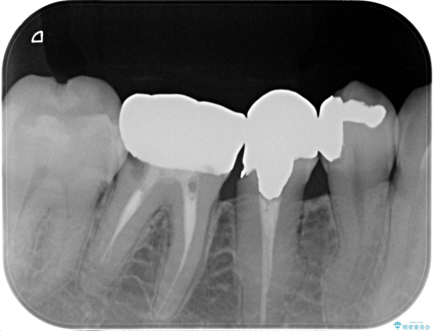
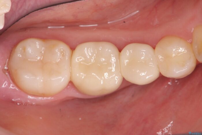
虫歯を丁寧に除去し、歯周外科を用いて周囲の歯ぐきの炎症を除去します。その後、清掃性の高い精密なセラミック治療をおこなっていきます。
治療後について
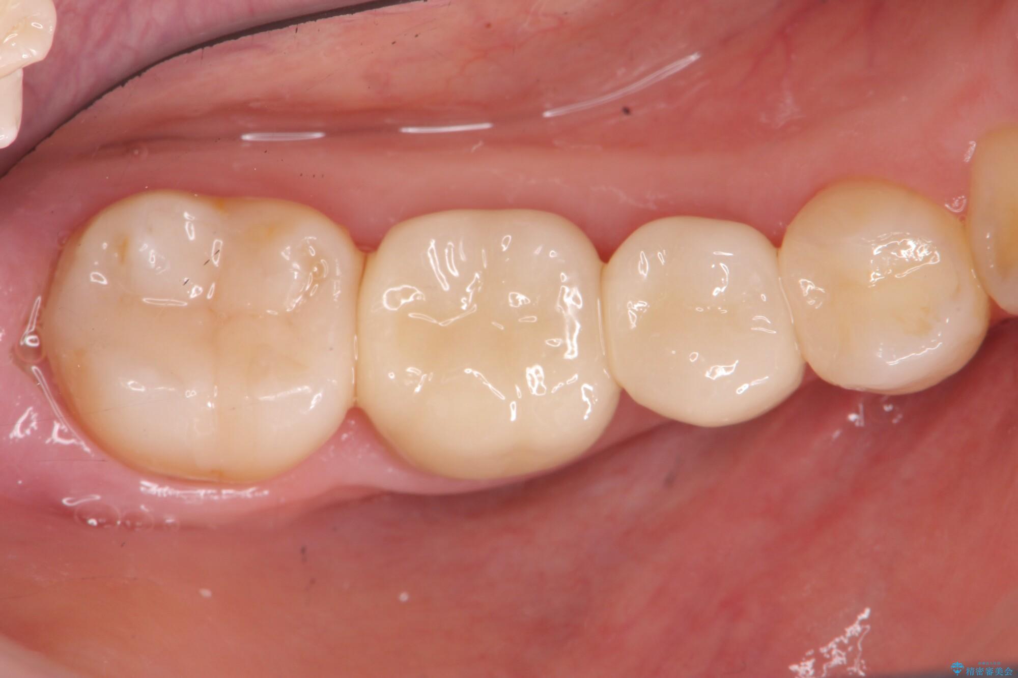
歯ぐきの炎症も治まり、疼きなどの違和感もなくなりました。
外科処置の注意事項(リスク・副作用など)
外科手術のため、術後に出血、痛みや腫れ、違和感を伴います
口腔内の状態によっては適応できないことがあります
セラミック治療の注意事項(リスク・副作用など)
天然歯を削ります
硬い素材は天然歯を傷つけてしまう場合があります
かみ合わせや歯ぎしりが強すぎる方はセラミックが割れてしまう可能性があります
自費診療(保険適用外治療)となります








