セラミックブリッジで銀歯を白く
治療概要
患者様
50代女性
治療期間
1ヶ月
概算治療費
52.8万円(ジルコニアクラウン×4・仮歯×4)
※費用は治療当時の料金となります担当医
大元
治療動機
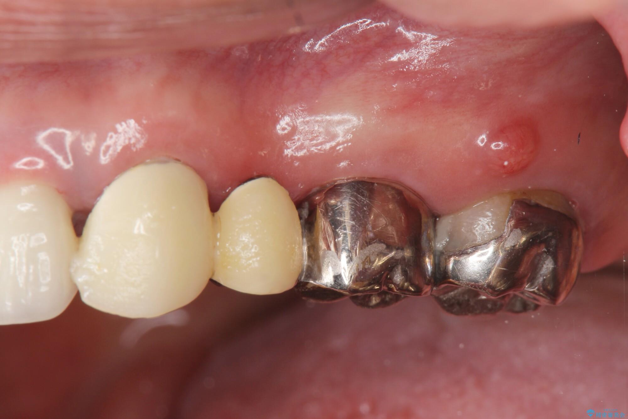
長い間気にしていた、笑ったときに見える銀歯を白くしたいとご来院されました。
治療計画
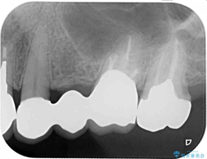
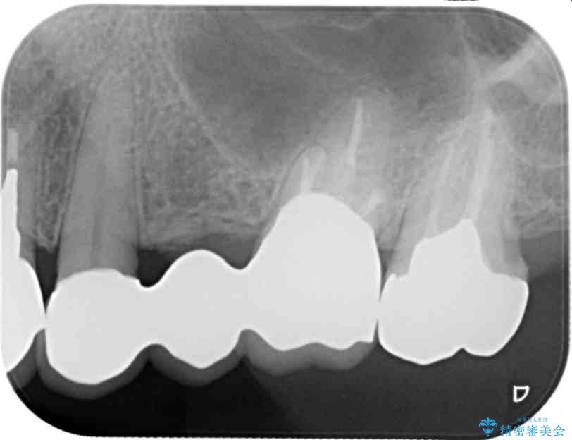
まず検査を行い、歯周病や歯内の問題がないことを確認しました。
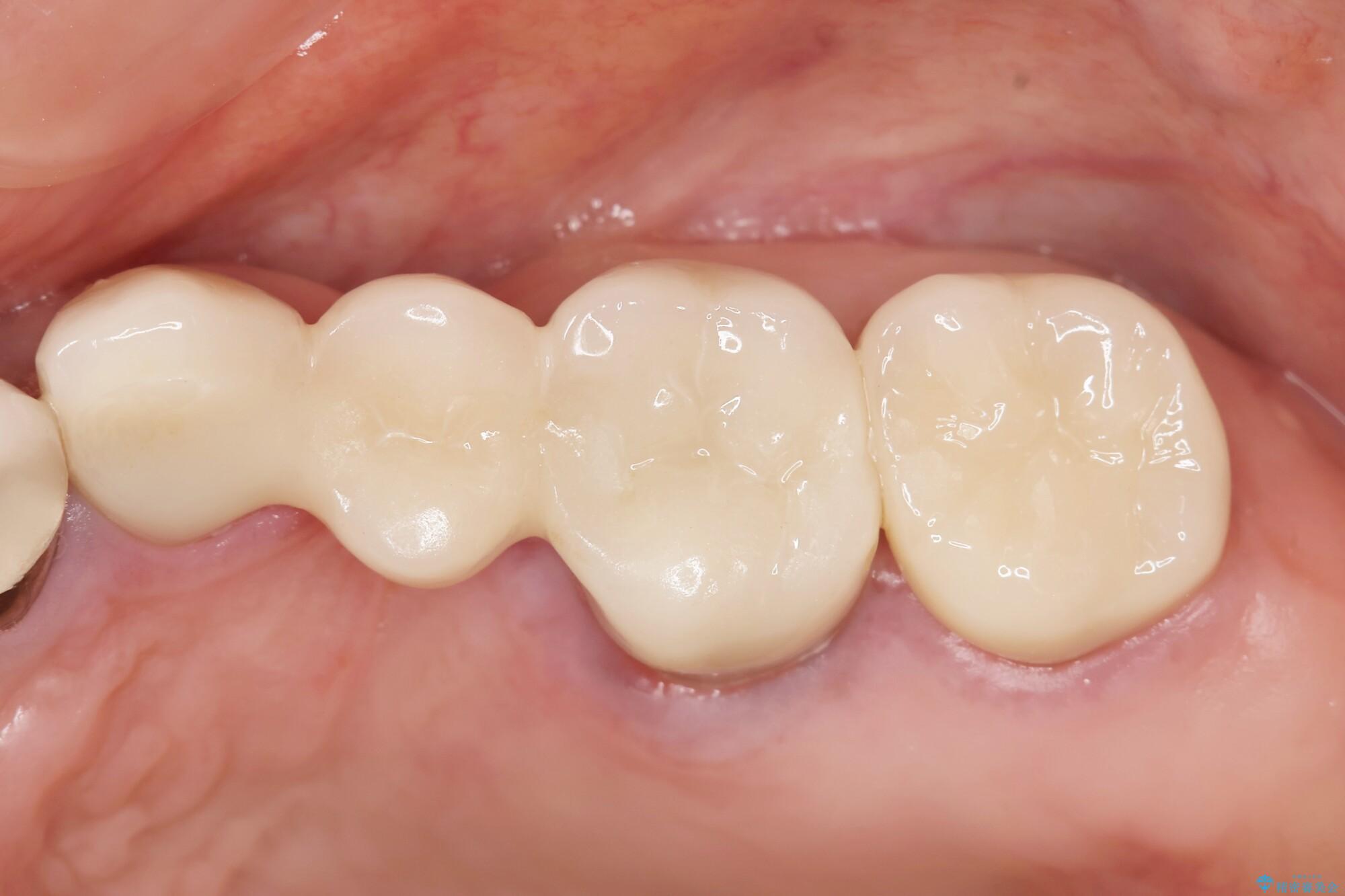
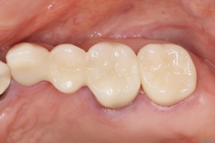
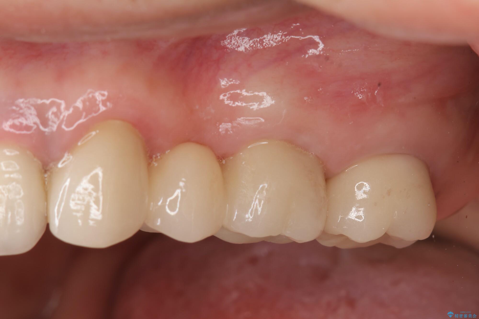
銀歯をジルコニアセラミックへと換えることで、審美性・清掃性の高い仕上がりを目指します。
治療後について
ブリッジに審美的でないイメージやあまり良くないイメージをお持ちの方を多々お見受けしますが、適切な設計とすることで、見た目に自然で審美的なブリッジ治療を行うことができます。
セラミック治療の注意事項(リスク・副作用など)
天然歯を削ります
硬い素材は天然歯を傷つけてしまう場合があります
かみ合わせや歯ぎしりが強すぎる方はセラミックが割れてしまう可能性があります
自費診療(保険適用外治療)となります





