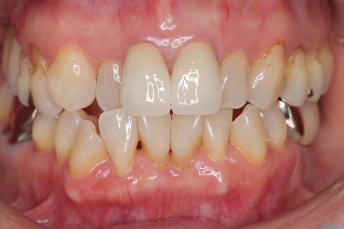
黒ずみのある前歯をセラミックで美しく
治療概要
患者様
40代女性
治療期間
1ヶ月
概算治療費
26.4万円(ジルコニアクラウン×2・仮歯×2)
※費用は治療当時の料金となります担当医
大元
治療動機
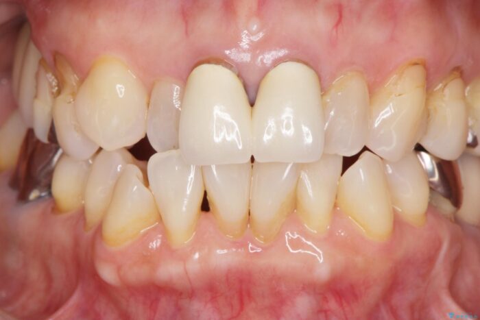
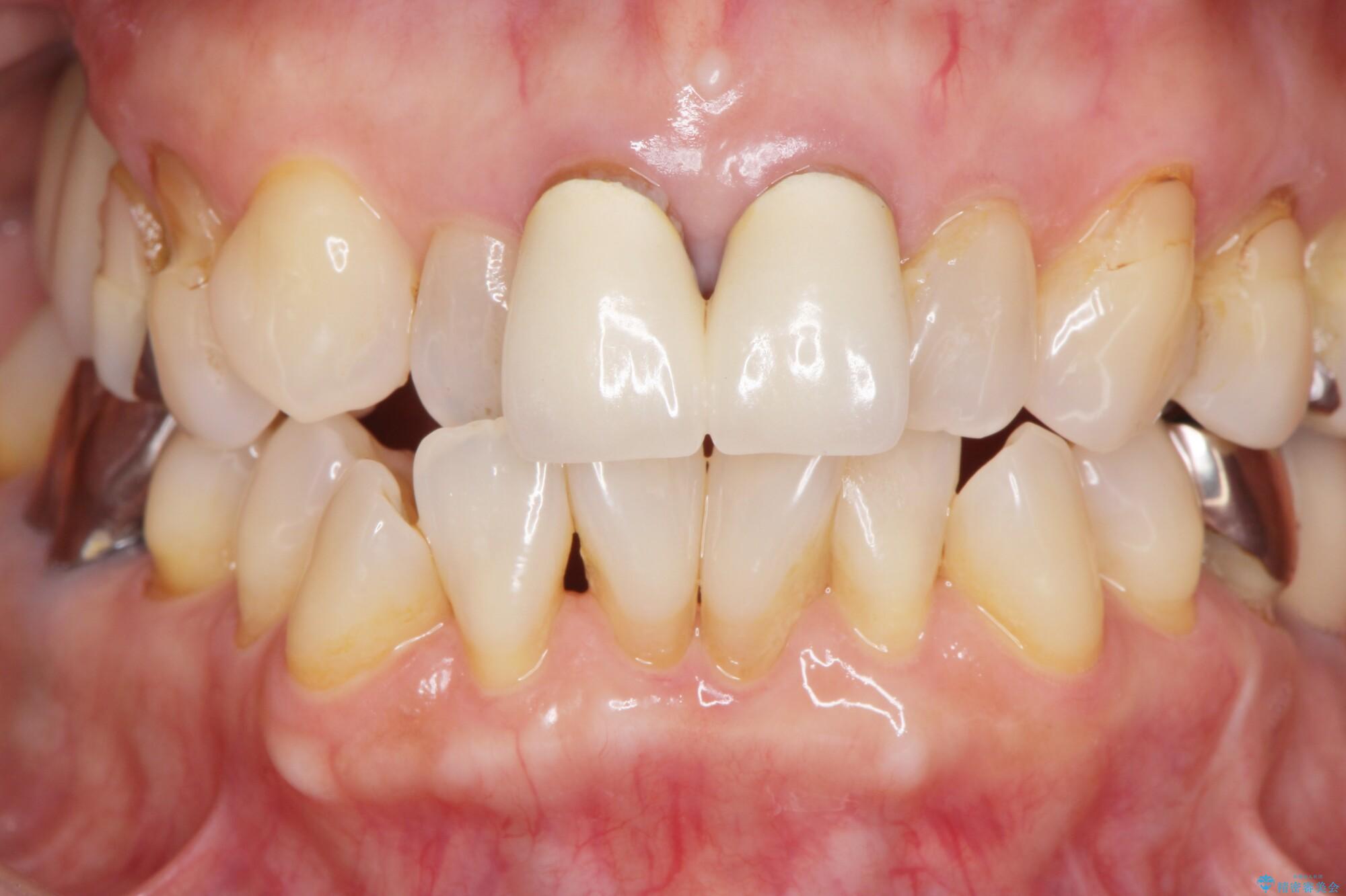
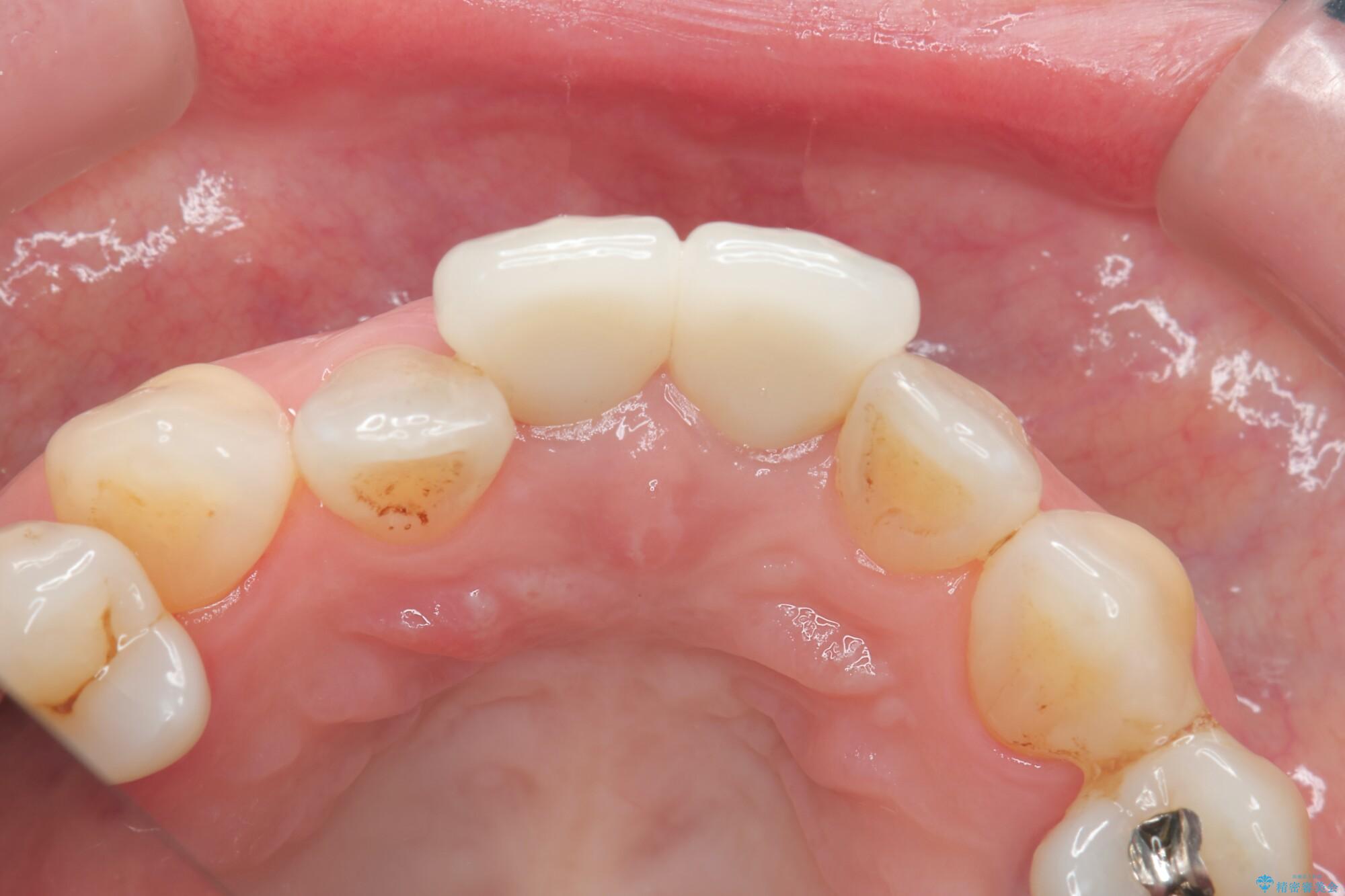
前歯の差し歯(クラウン)が黒ずんでいるとご相談にいらっしゃった患者様です。
治療計画
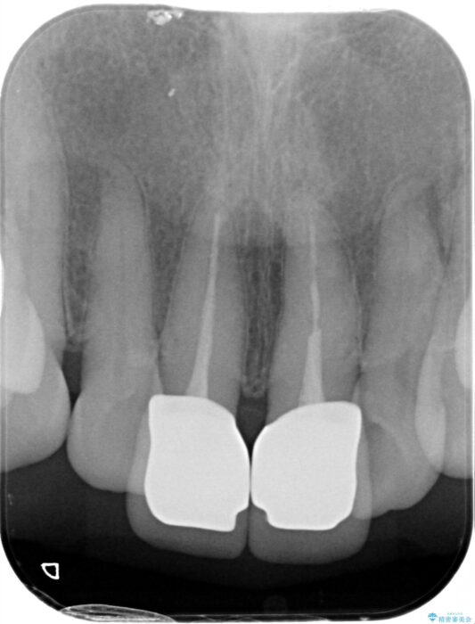
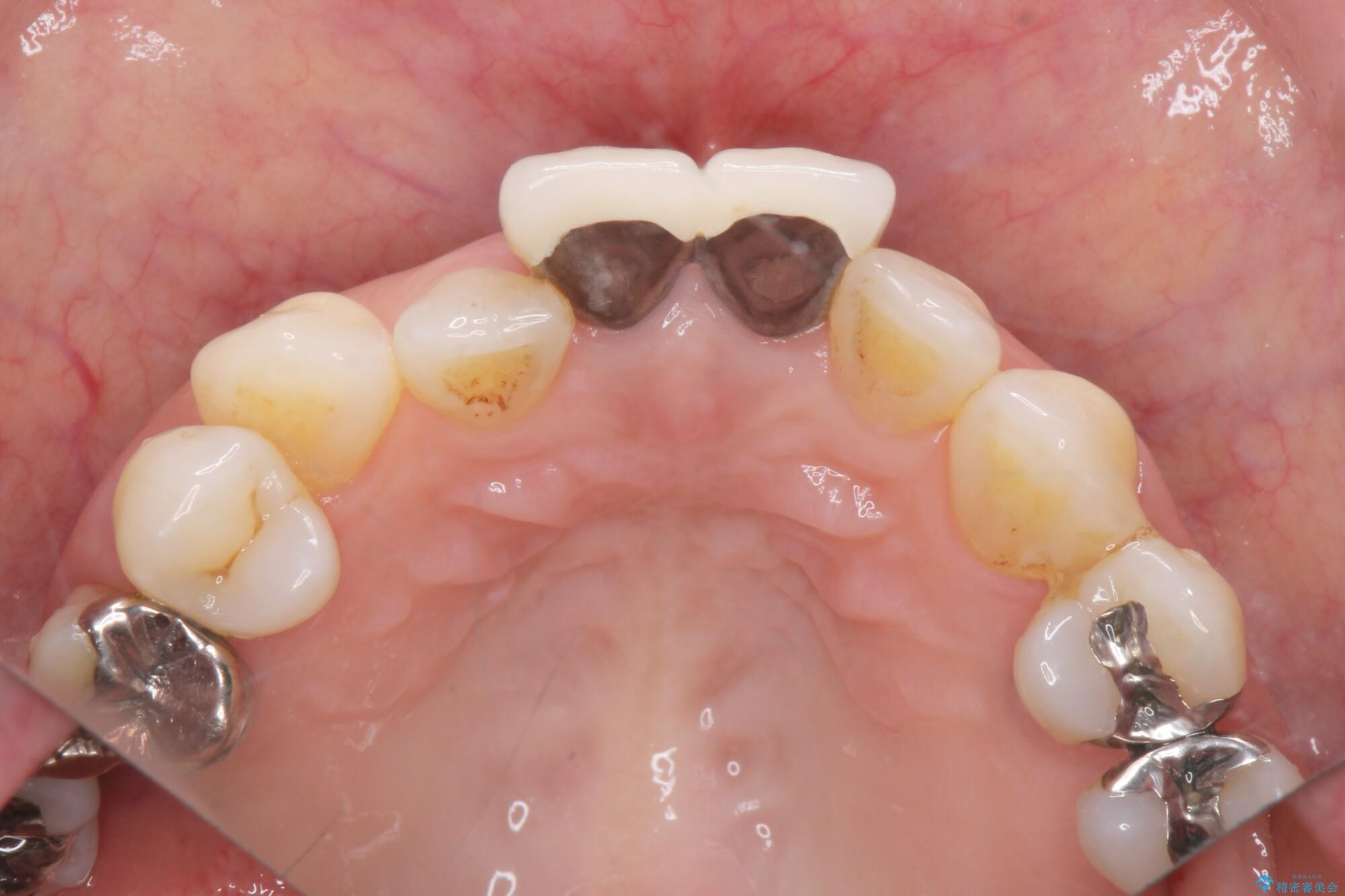
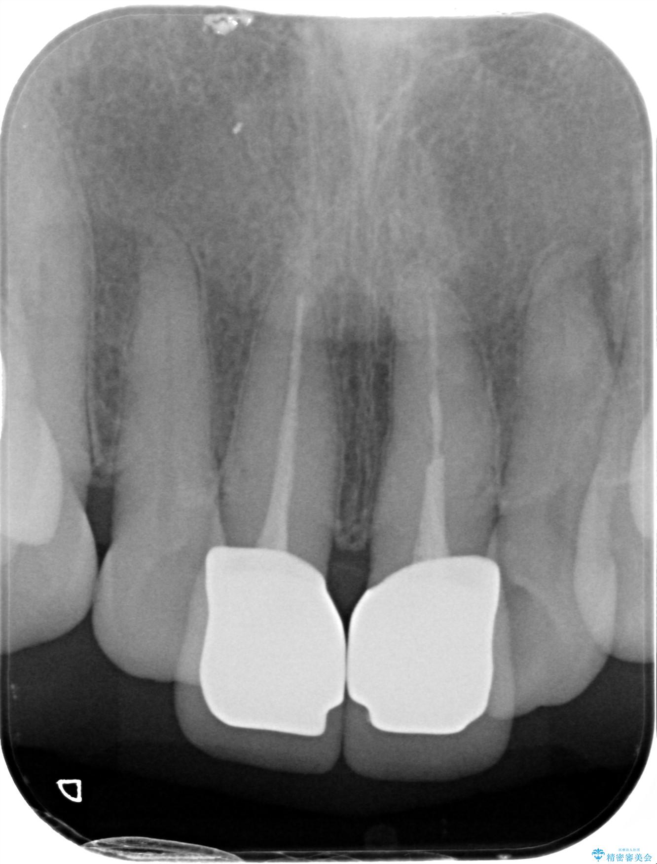
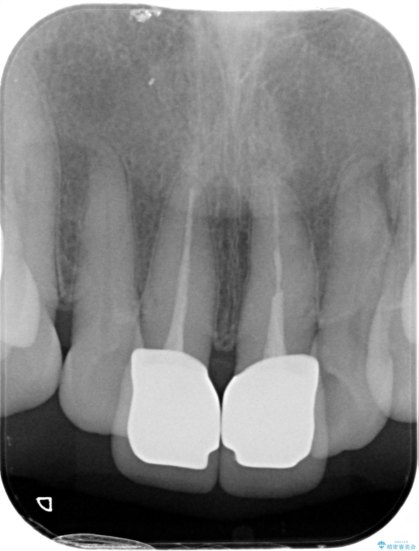
根管治療は行わず、クラウンのやり替えのみ行います。
審美性に優れるジルコニアクラウンによる治療を計画します。
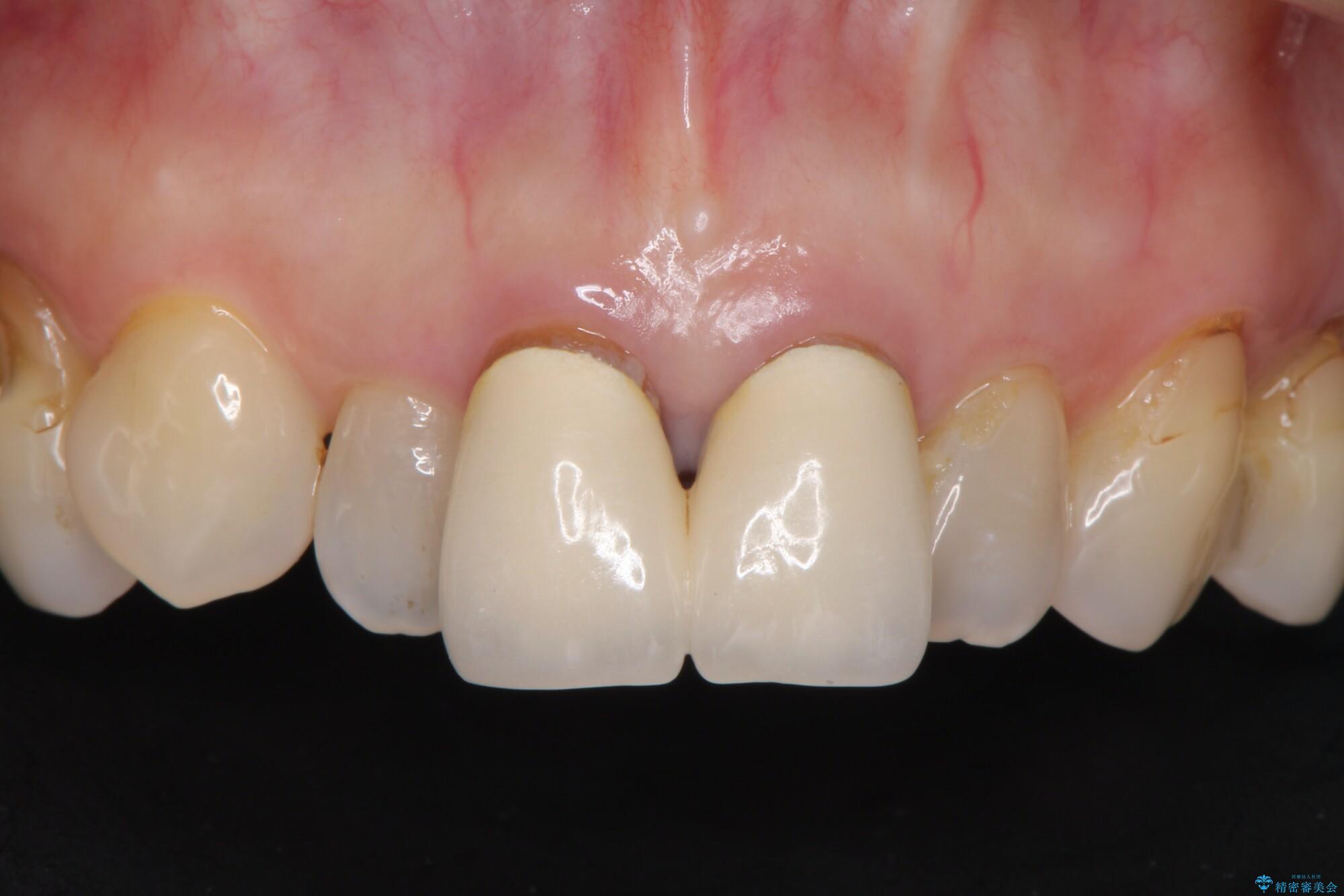
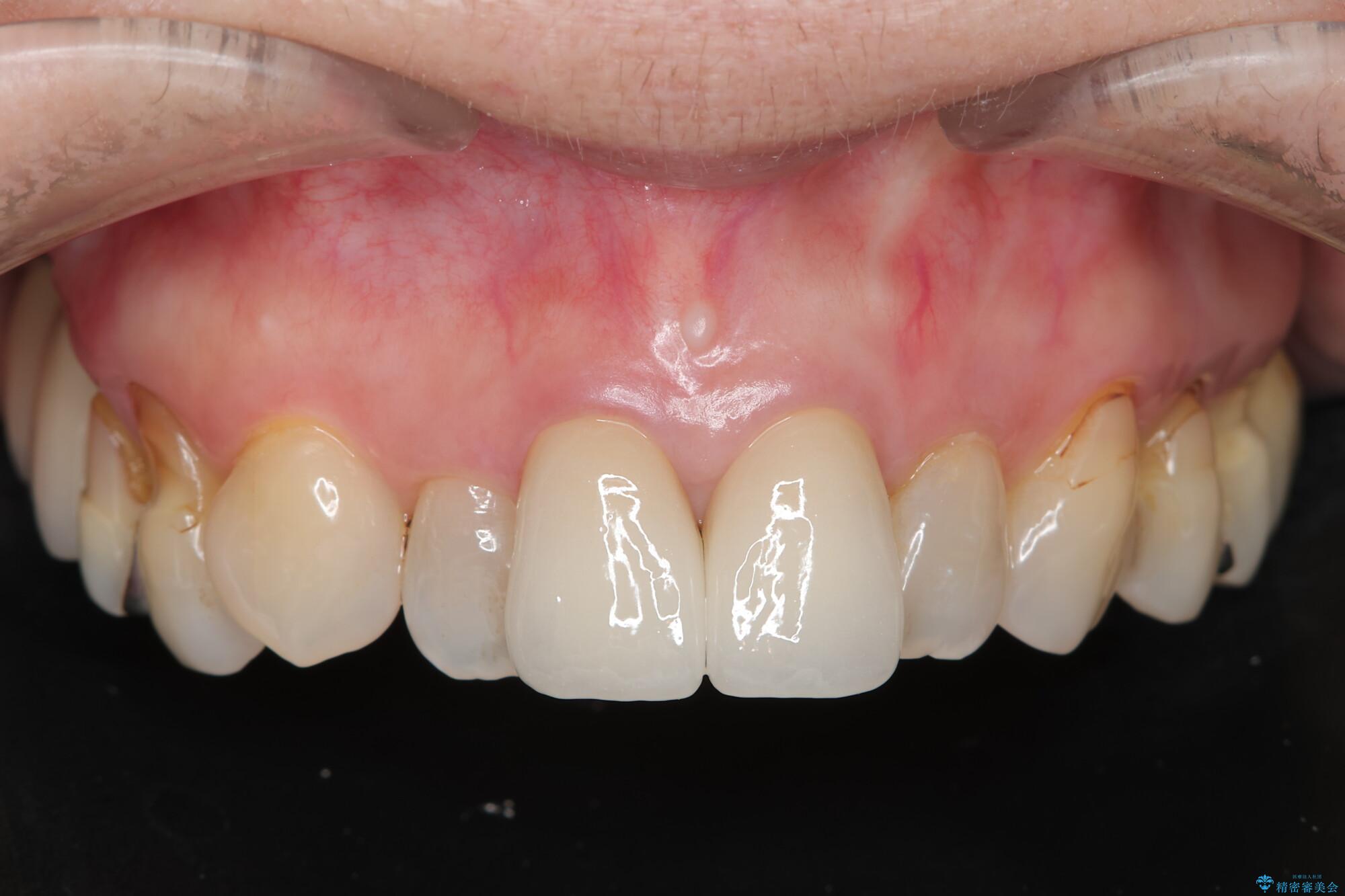
治療後について
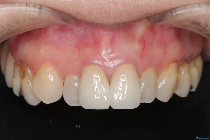
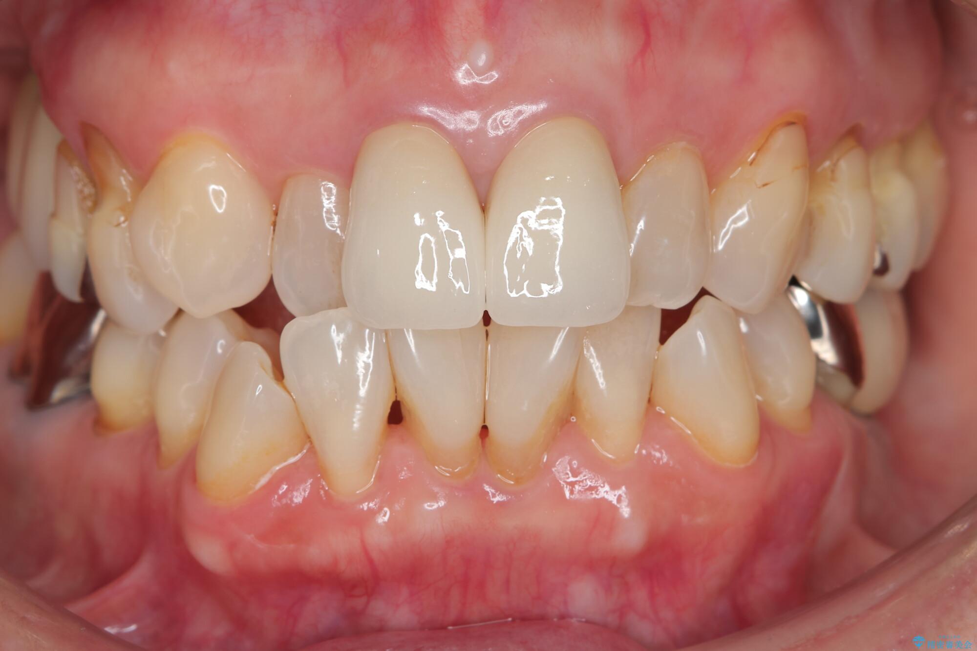
黒ずみもなくなり、自然な色味で大変ご満足いただけました。
セラミック治療の注意事項(リスク・副作用など)
天然歯を削ります
硬い素材は天然歯を傷つけてしまう場合があります
かみ合わせや歯ぎしりが強すぎる方はセラミックが割れてしまう可能性があります
自費診療(保険適用外治療)となります







