前歯のセラミック治療
治療概要
患者様
20代男性
治療期間
1ヶ月
概算治療費
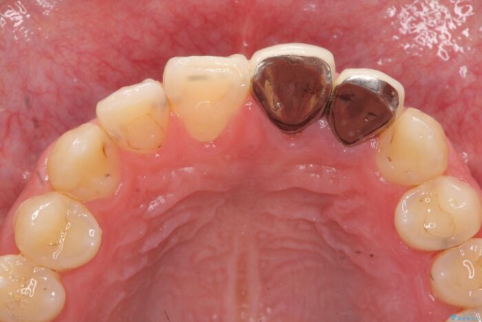
26.4万円(ジルコニアクラウン×2・仮歯×2)
※費用は治療当時の料金となります担当医
大元
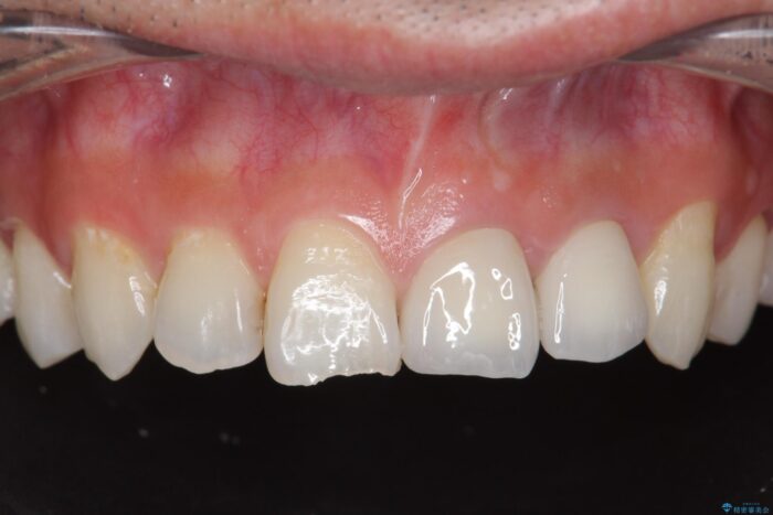
治療動機
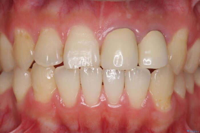
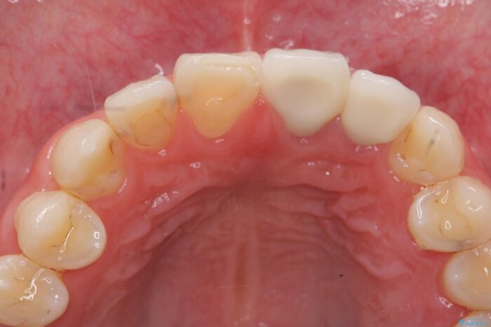
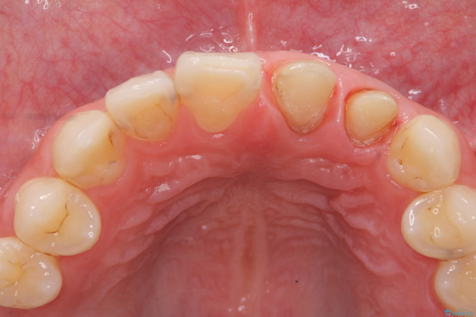
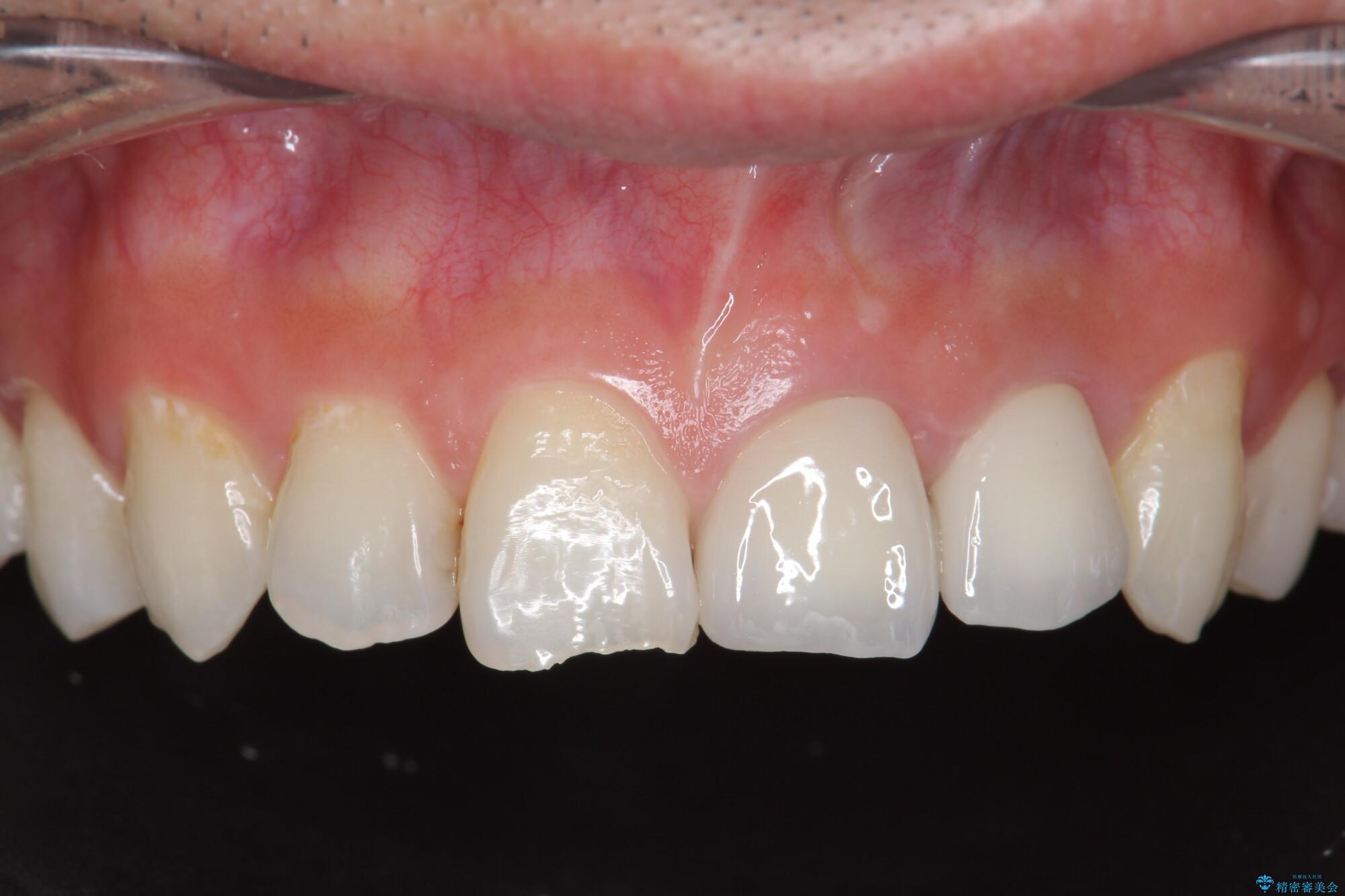
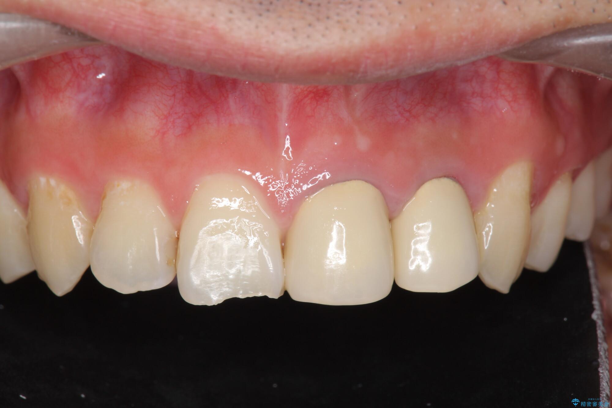
前歯を保険適用のクラウンで治療したが、色味や歯ぐきの黒ずみが気になるとご来院されました。
治療計画
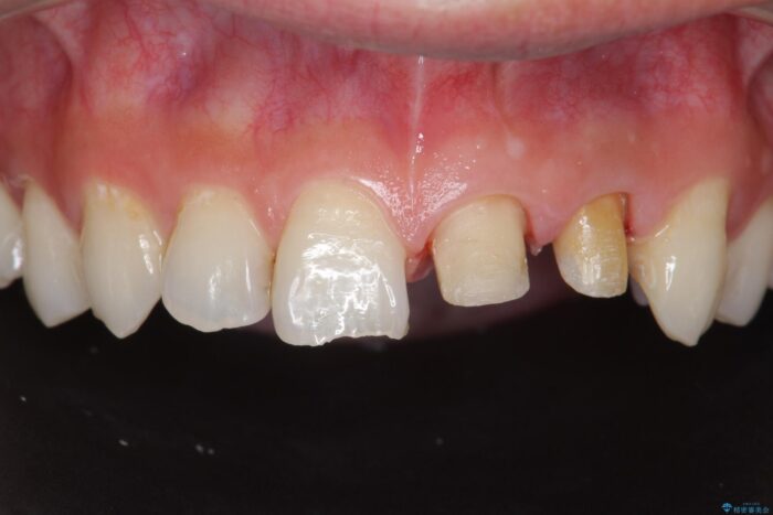
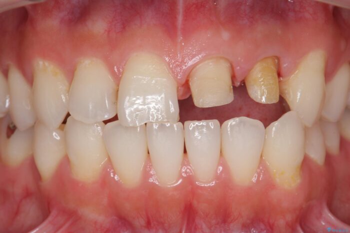
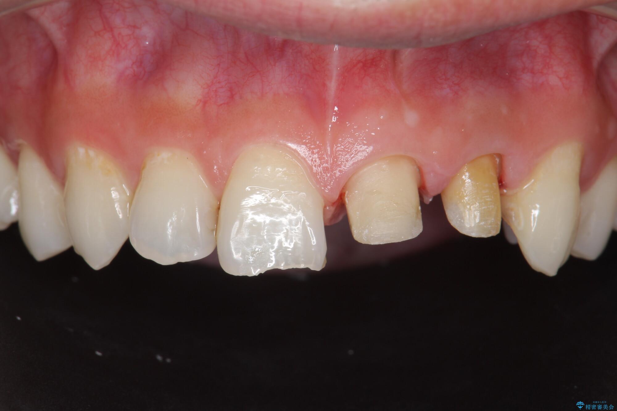
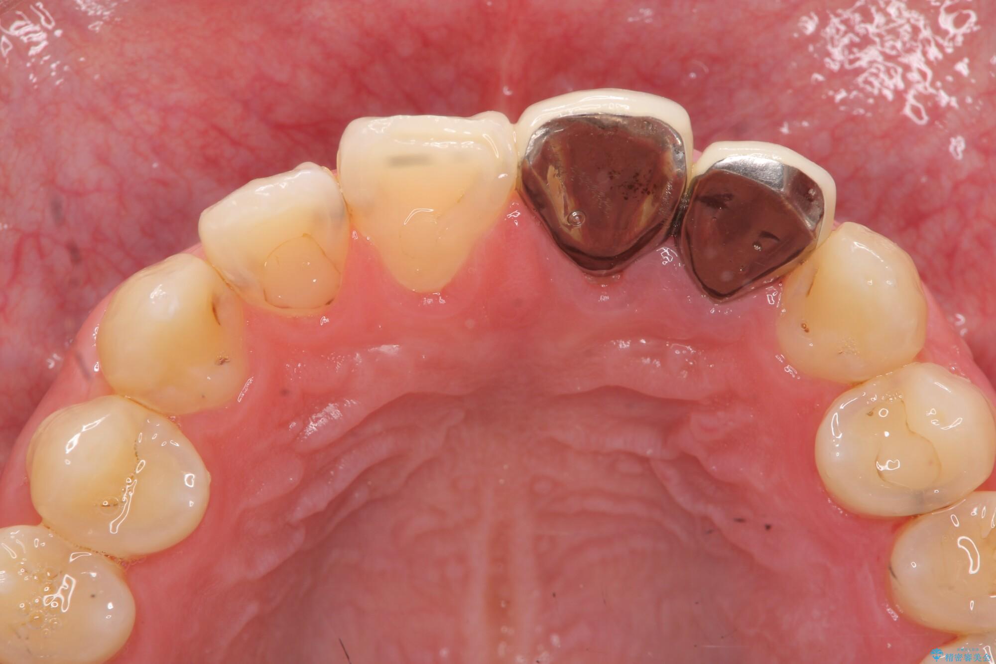
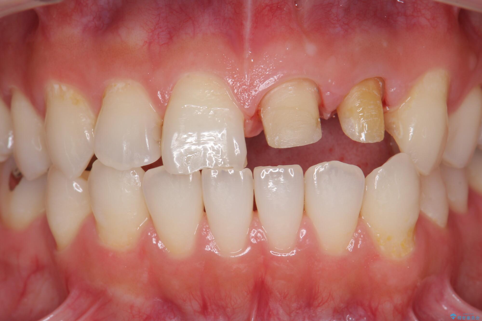
まず、クラウンを除去し仮歯で周囲の歯ぐきの状態を整えます。
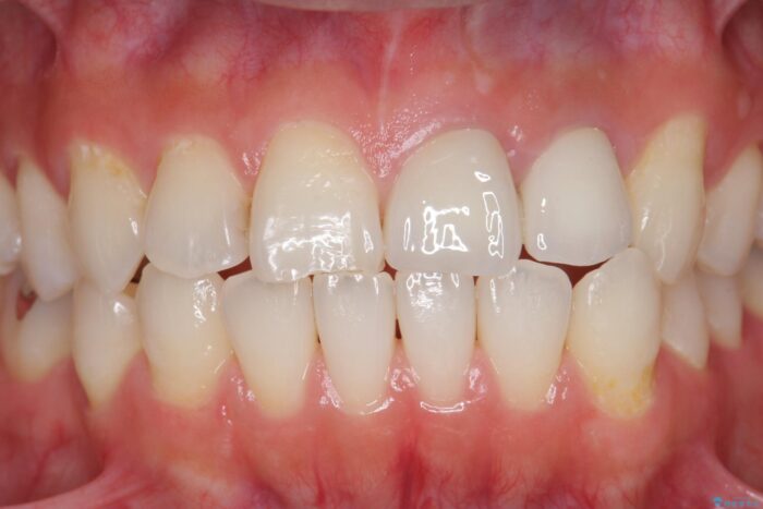
周囲の歯の色調や歯ぐきの健康を害さない審美的で精密なセラミック治療を計画します。
治療後について
金属を使わないジルコニアセラミックの自然な仕上がりに大変喜んでいただけました。
セラミック治療の注意事項(リスク・副作用など)
天然歯を削ります
硬い素材は天然歯を傷つけてしまう場合があります
かみ合わせや歯ぎしりが強すぎる方はセラミックが割れてしまう可能性があります
自費診療(保険適用外治療)となります








