虫歯だらけの前歯、セラミックで美しく
治療概要
患者様
20代女性
治療期間
2ヶ月
概算治療費
52.8万円(ジルコニアクラウン×4・仮歯×4)
※費用は治療当時の料金となります担当医
大元
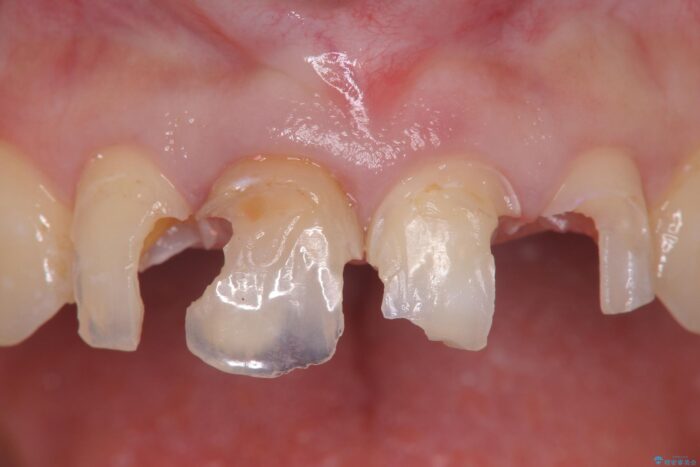
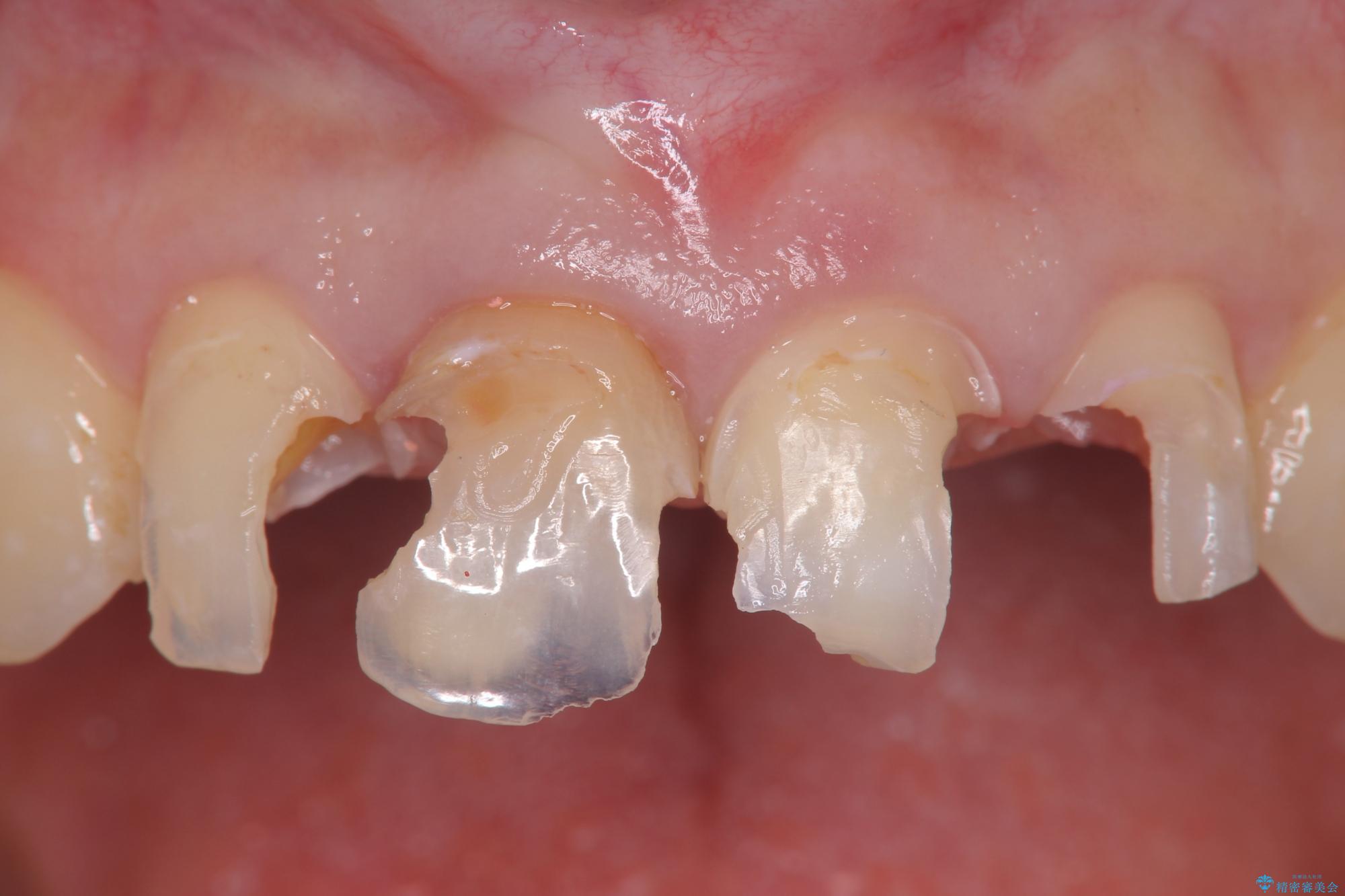
治療動機
幼少期のジュースが原因で多発した虫歯をレジンで治療されていましたが、前歯の見た目をきれいにしたいとご来院されか患者様です。
治療計画
以前の治療跡(レジン)と虫歯を徹底的に取り除いた後、耐久性と審美性に優れたジルコニアセラミックで前歯を修復し、理想の口元を目指します。
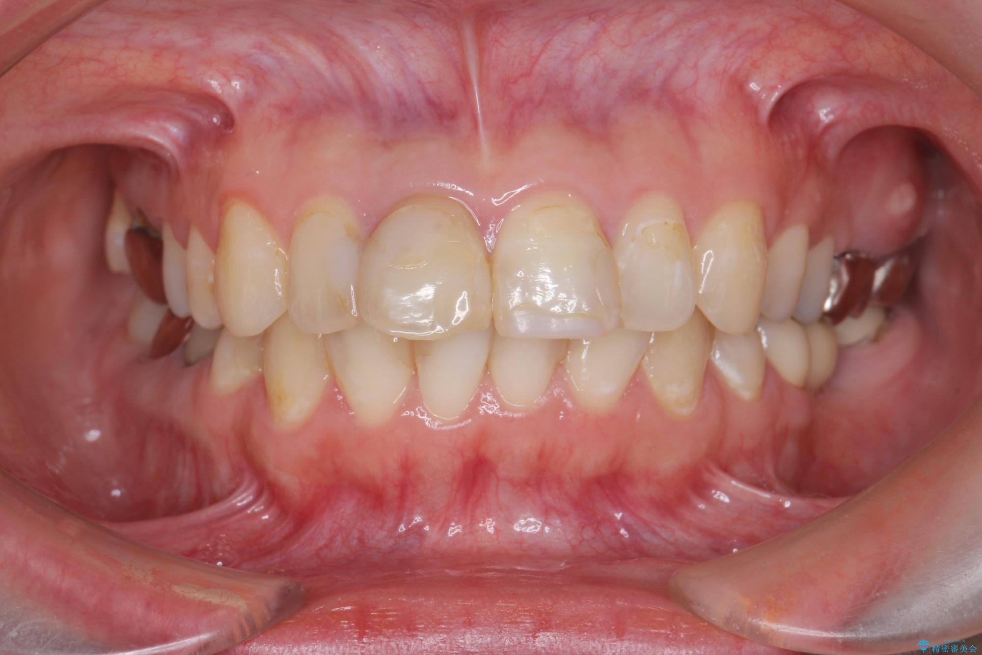
治療後について
とても自然な見た目になり、大変ご満足いただけました。
セラミック治療の注意事項(リスク・副作用など)
天然歯を削ります
硬い素材は天然歯を傷つけてしまう場合があります
かみ合わせや歯ぎしりが強すぎる方はセラミックが割れてしまう可能性があります
自費診療(保険適用外治療)となります


