部分ワイヤーとマウスピース矯正の併用で前歯のねじれ、すれ違いを改善
治療概要
患者様
20代女性
治療期間
1年2ヶ月
矯正装置
インビザライン +部分ワイヤー矯正
概算治療費
99万円
※費用は治療当時の料金となります担当医
大元
治療動機
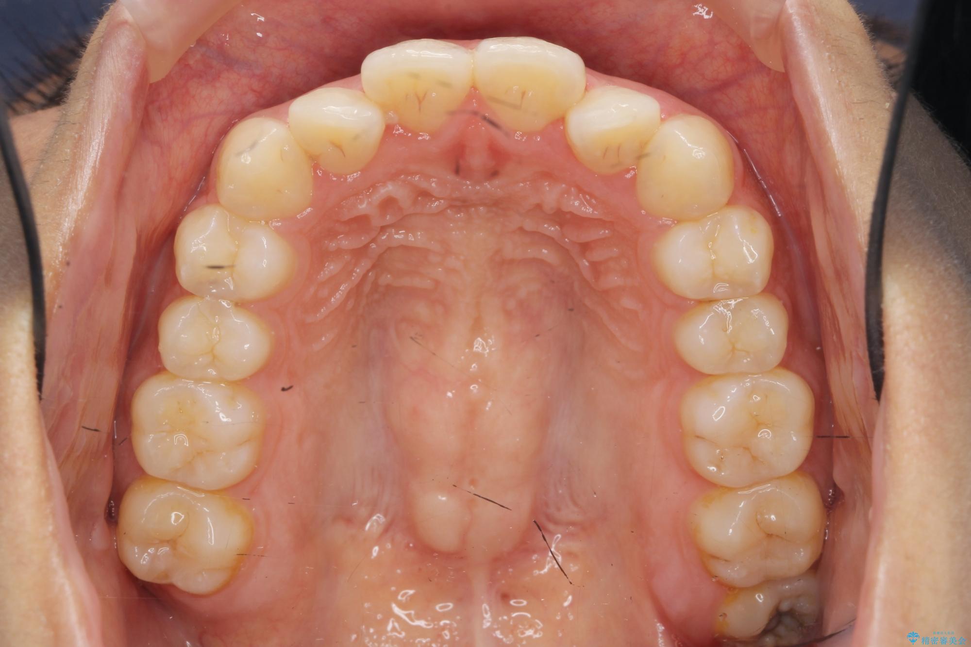
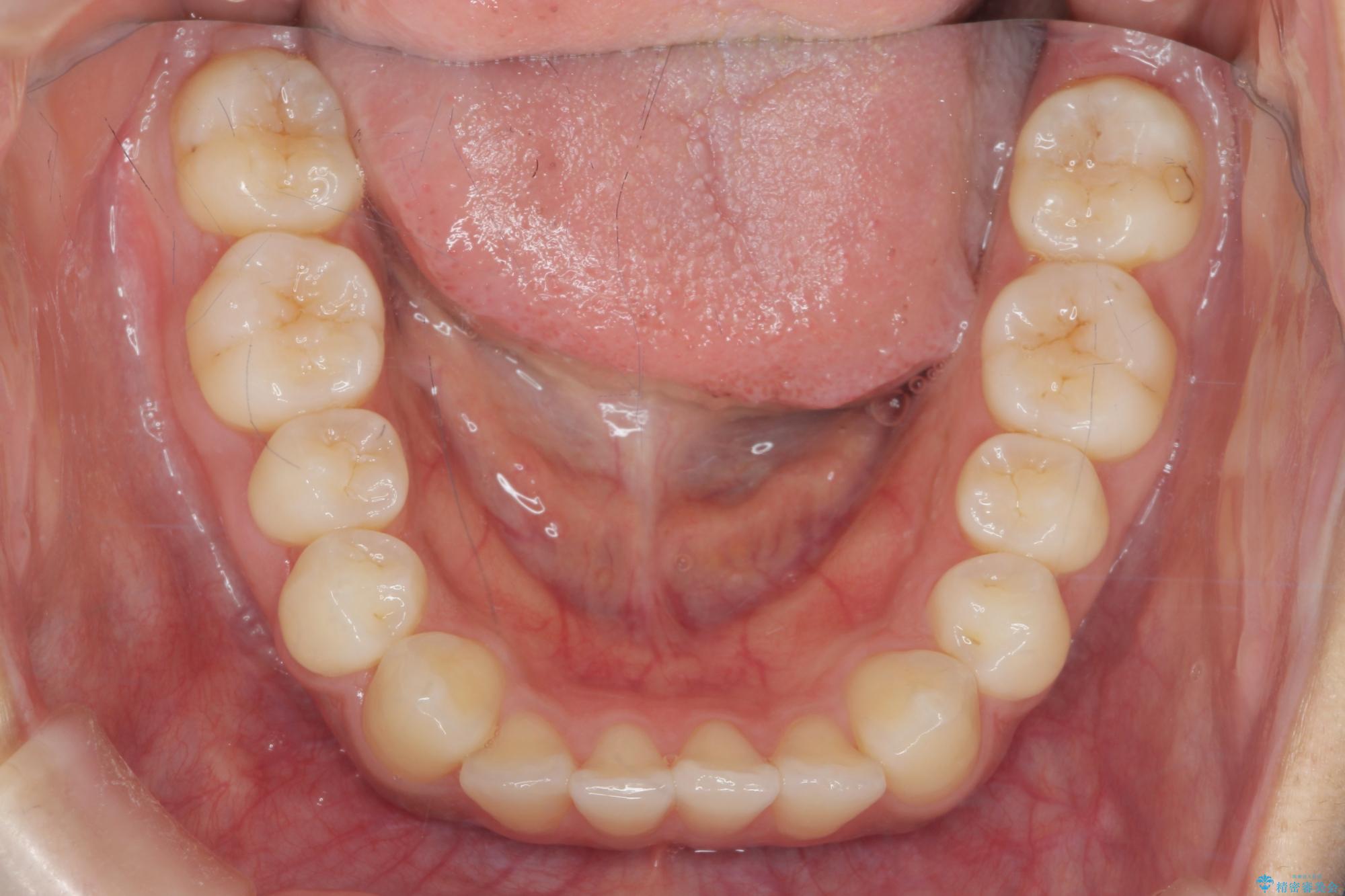
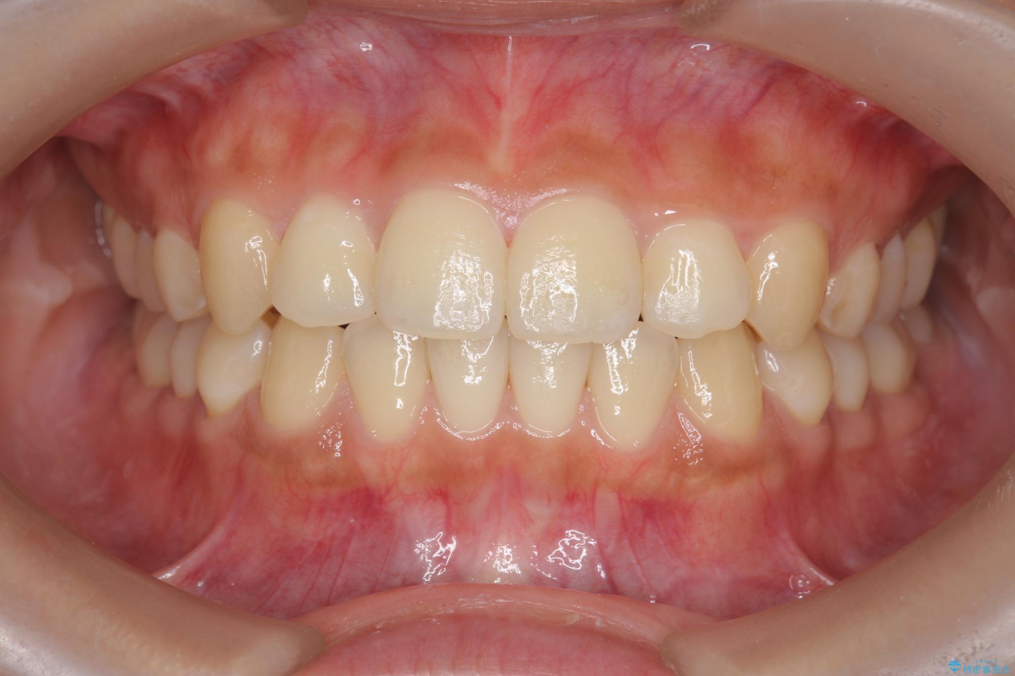
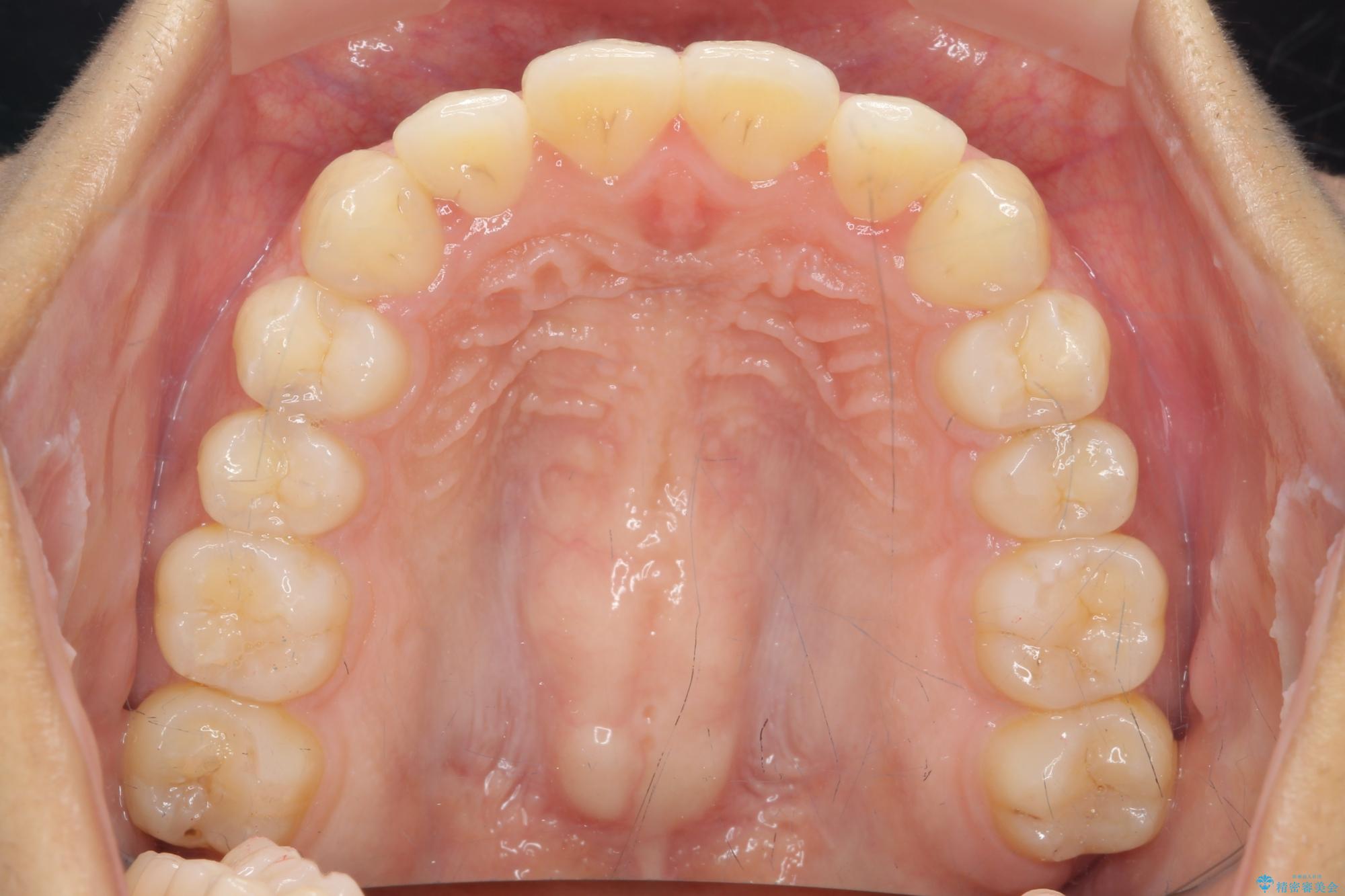
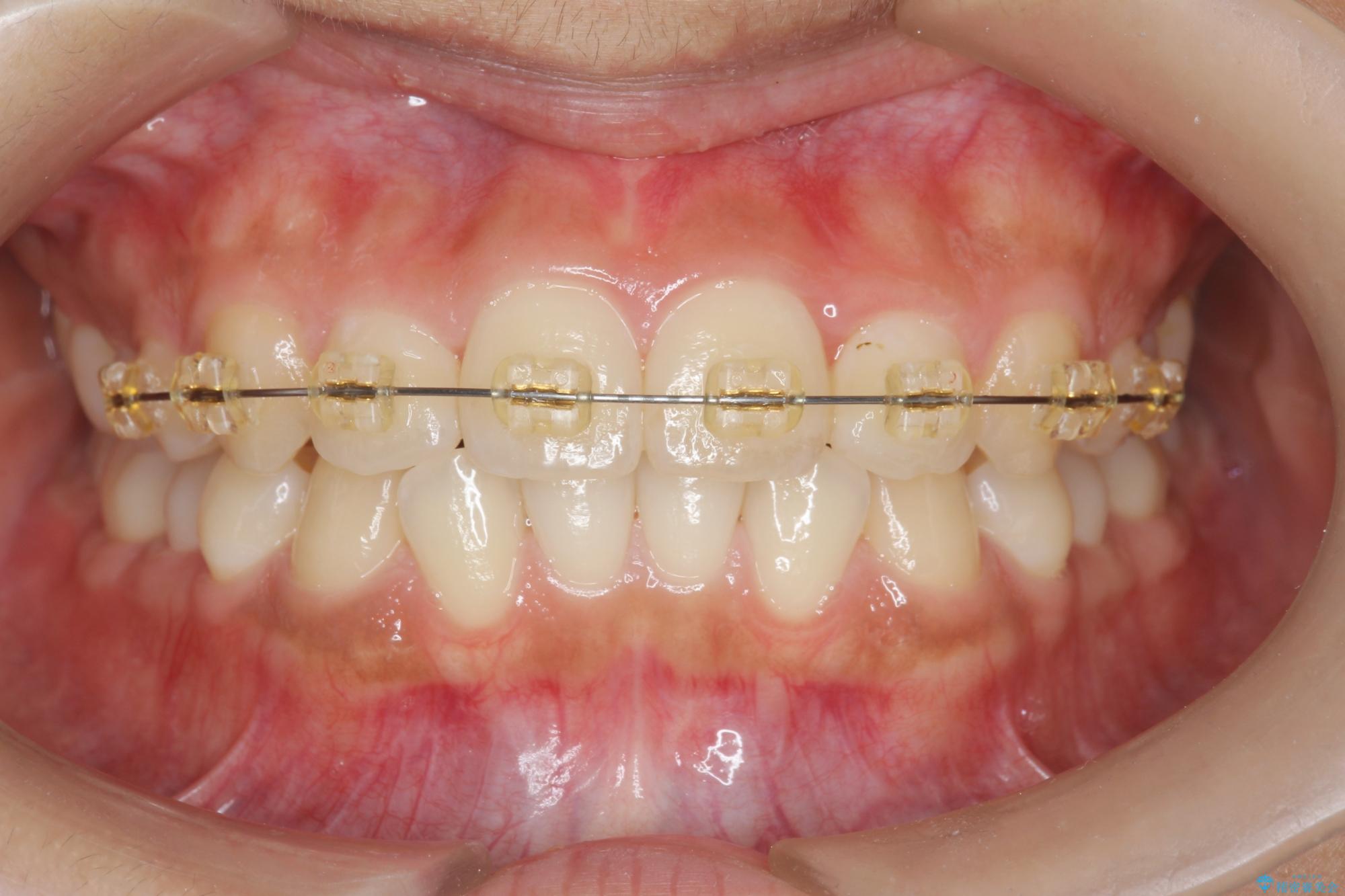
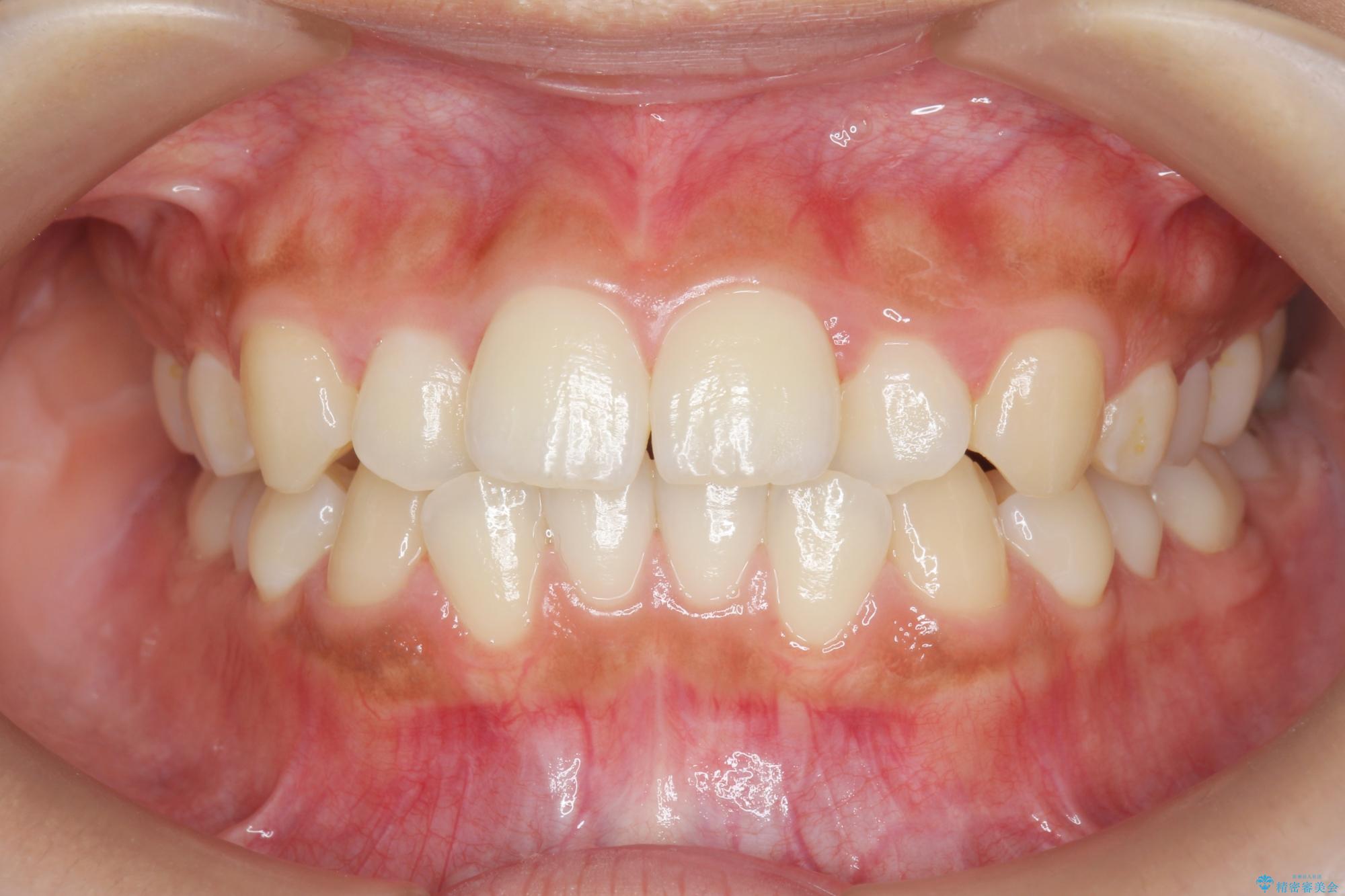
上下前歯のすれ違いとねじれのある歯並びを改善したいとご来院された患者様です。
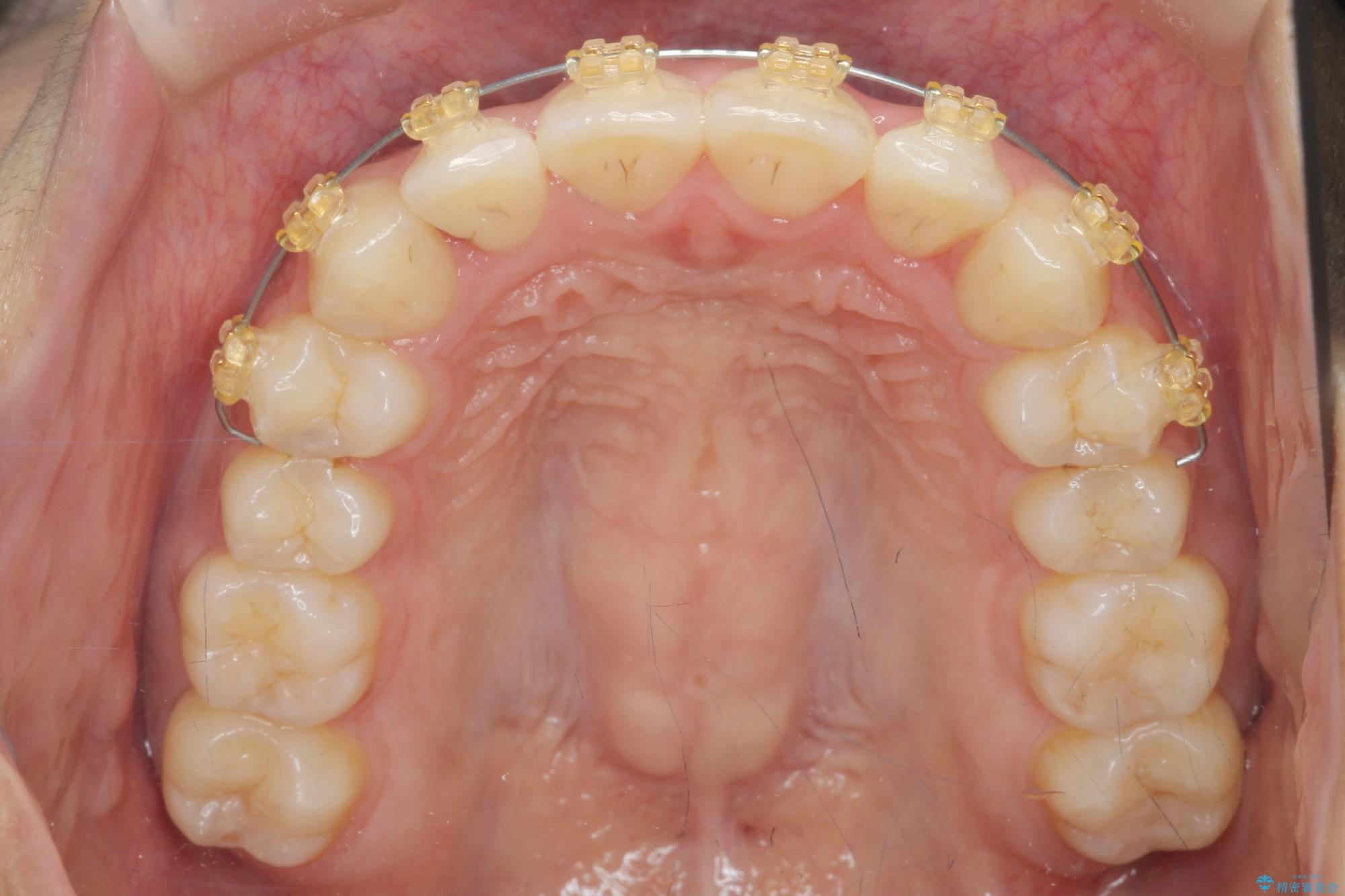
治療計画
上顎前歯のみの部分ワイヤー治療を約6ヶ月行い、ねじれの問題を解決したのち、マウスピース矯正で細かな歯列を整えていきます。
治療後について
ずっと気になっていた前歯の噛み合わせが改善し『食べ物が噛みやすくなり、食事がしやすくなった』と嬉しいお言葉をいただきました。
マウスピース矯正の注意事項(リスク・副作用など)
口腔内・歯並びの状態によっては対応できない場合があります
マウスピース型矯正装置の長時間装着(1日20時間以上)が必須です
治療計画通りに進めるためには、患者様の意志が重要になります
矯正治療後の保定が不十分だと後戻り(元の位置に戻ろうとする動き)をします
薬機法対象外の矯正歯科装置のため医薬品副作用被害救済制度の対象外となる場合があります
自費診療(保険適用外)となります








