部分ワイヤーとマウスピースで前歯のねじれを改善
治療概要
患者様
20代女性
治療期間
1年
矯正装置
インビザライン +部分ワイヤー矯正
概算治療費
88万円
※費用は治療当時の料金となります担当医
大元
治療動機
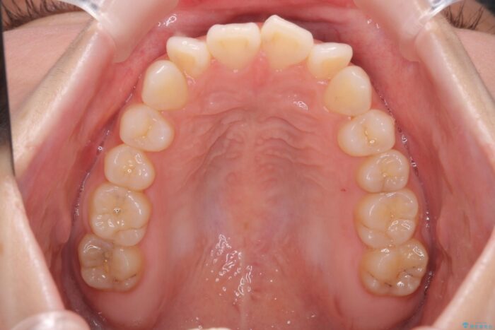
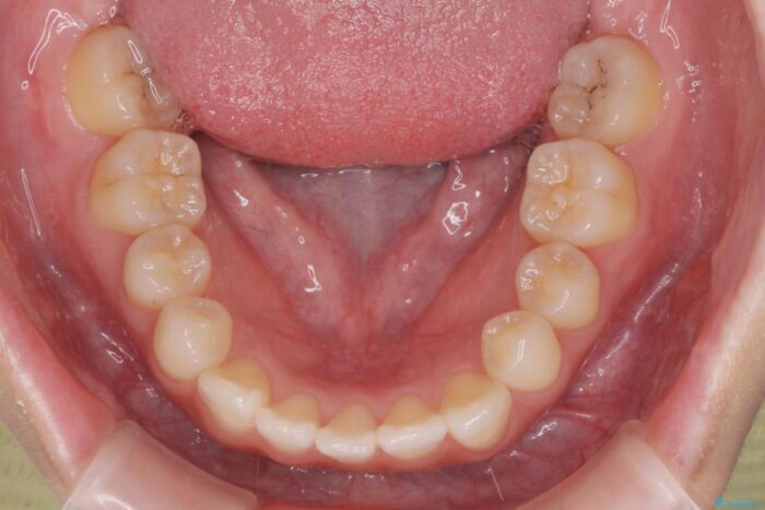
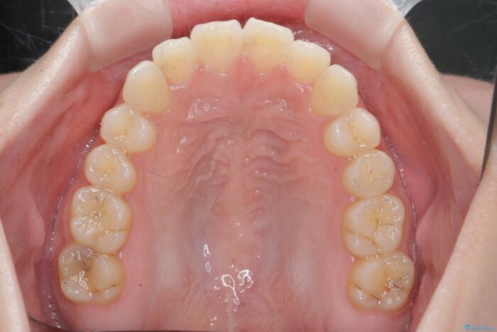
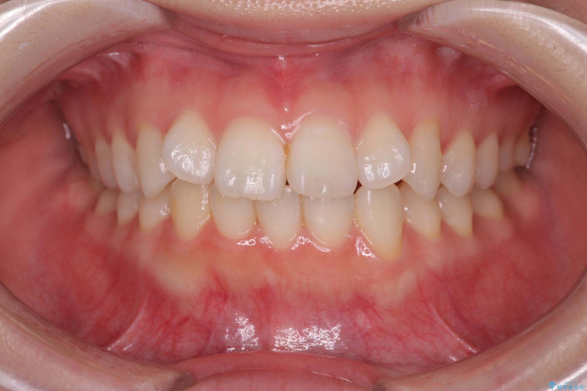
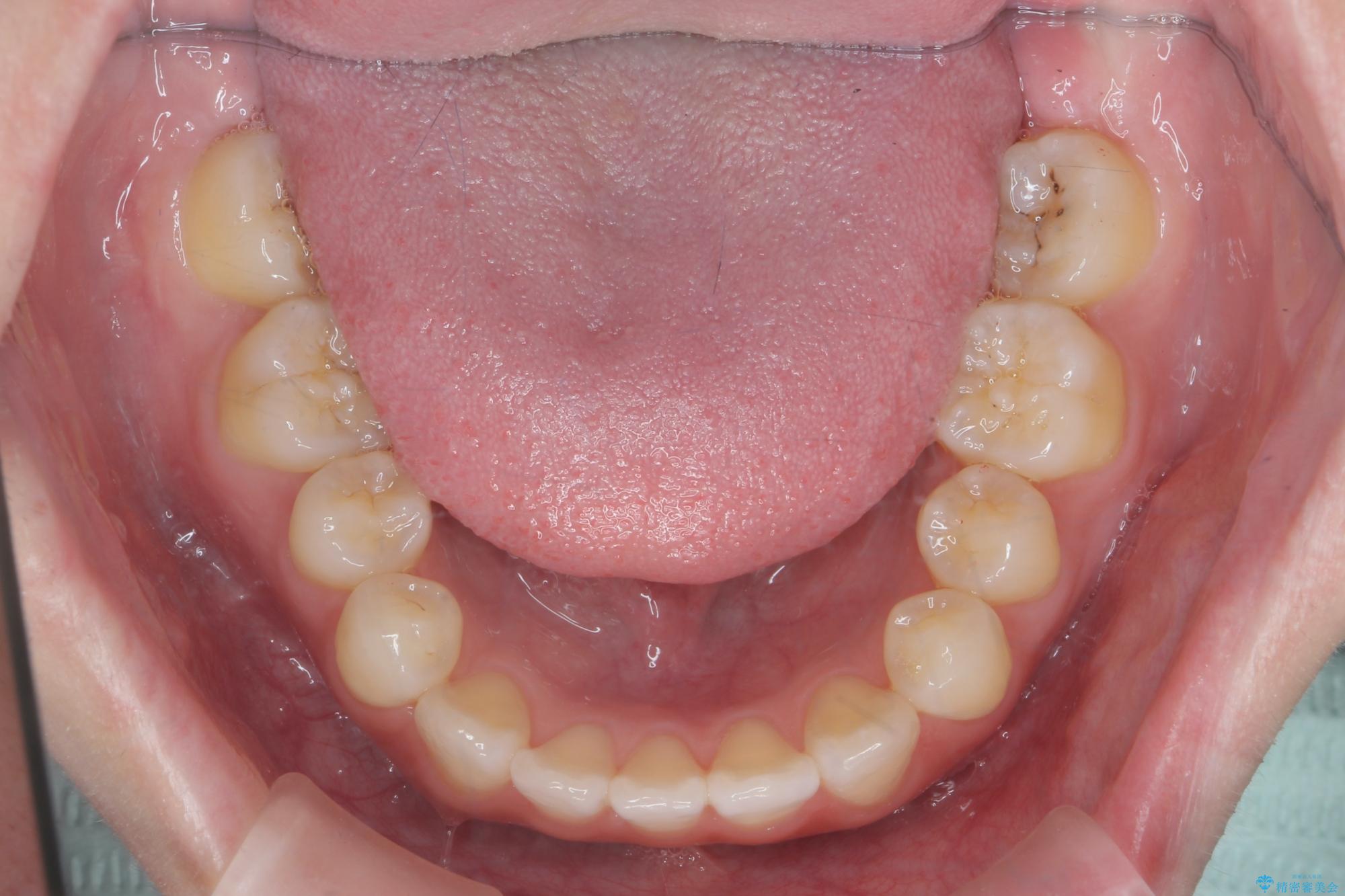
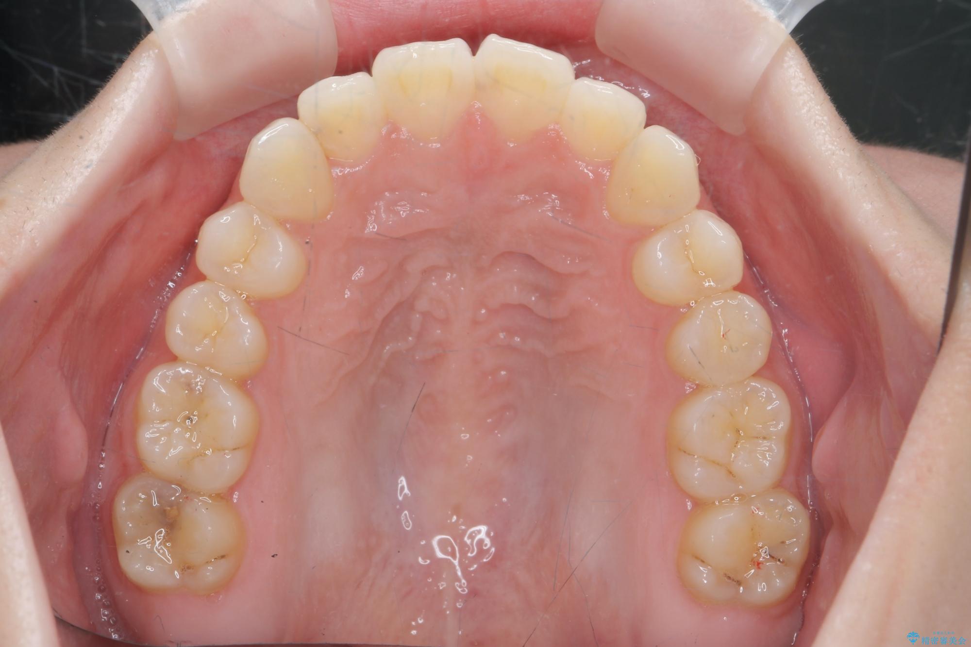
前歯のねじれが気になるとご相談にいらした患者様です。
治療計画
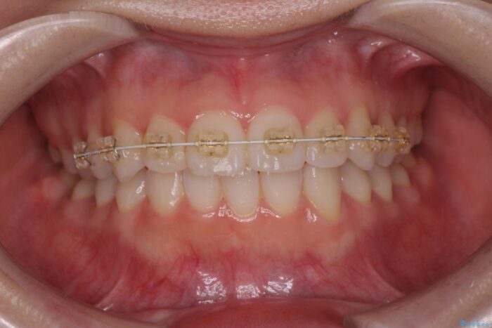
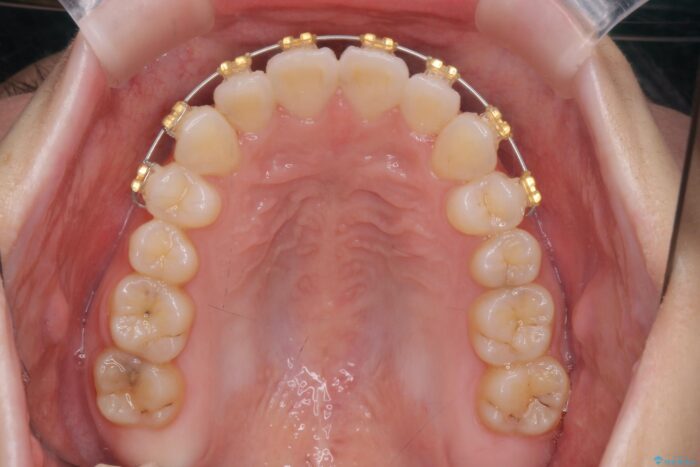
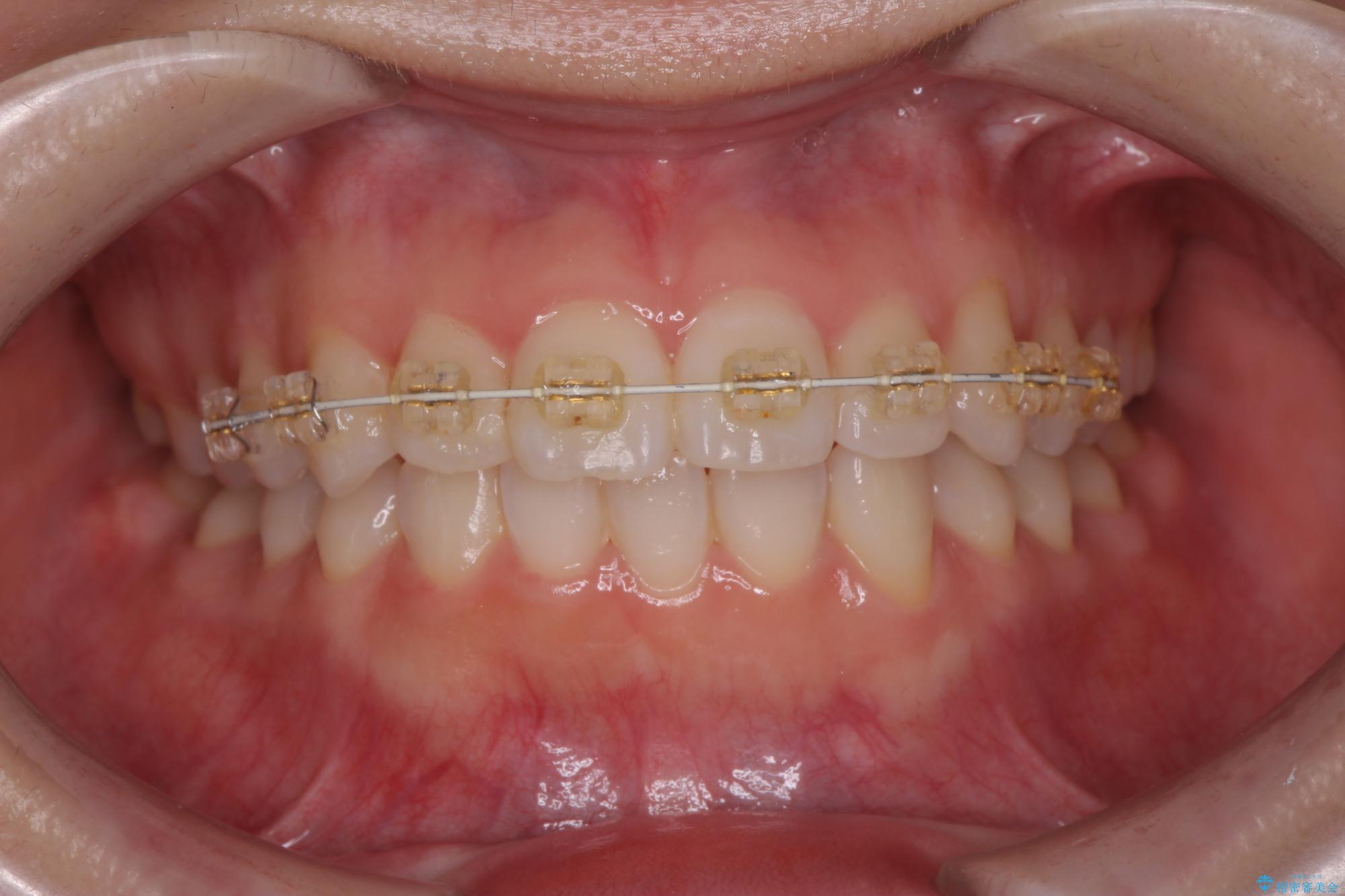
歯のねじれはワイヤー矯正の方が得意なので、最初に上の前歯をワイヤー矯正で整えます。
その後、マウスピース矯正に切り替え、治療を仕上げていきます。
治療後について
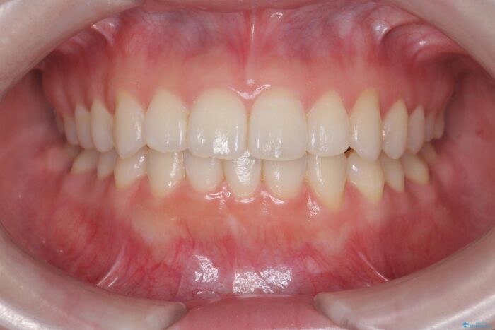
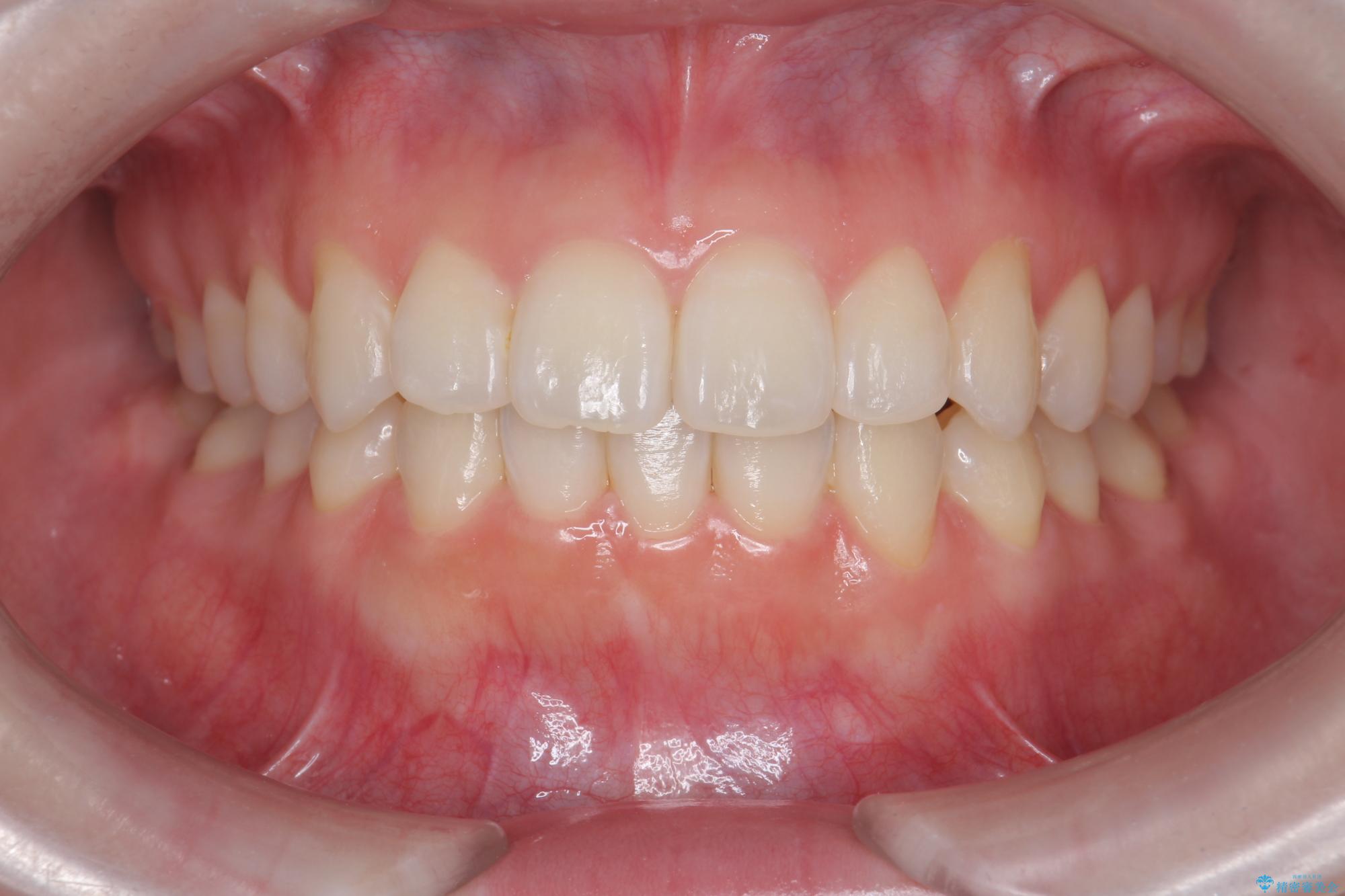
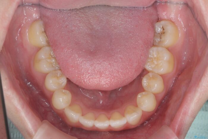
マウスピースだけでは難しかった歯のねじれを、約半年間のワイヤー矯正で解消。その後のマウスピース矯正へとスムーズに移行できました。
マウスピース矯正の注意事項(リスク・副作用など)
口腔内・歯並びの状態によっては対応できない場合があります
マウスピース型矯正装置の長時間装着(1日20時間以上)が必須です
治療計画通りに進めるためには、患者様の意志が重要になります
矯正治療後の保定が不十分だと後戻り(元の位置に戻ろうとする動き)をします
薬機法対象外の矯正歯科装置のため医薬品副作用被害救済制度の対象外となる場合があります
自費診療(保険適用外)となります








