インプラント治療で咬合機能を回復
治療概要
患者様
50代女性
治療期間
6ヶ月
概算治療費
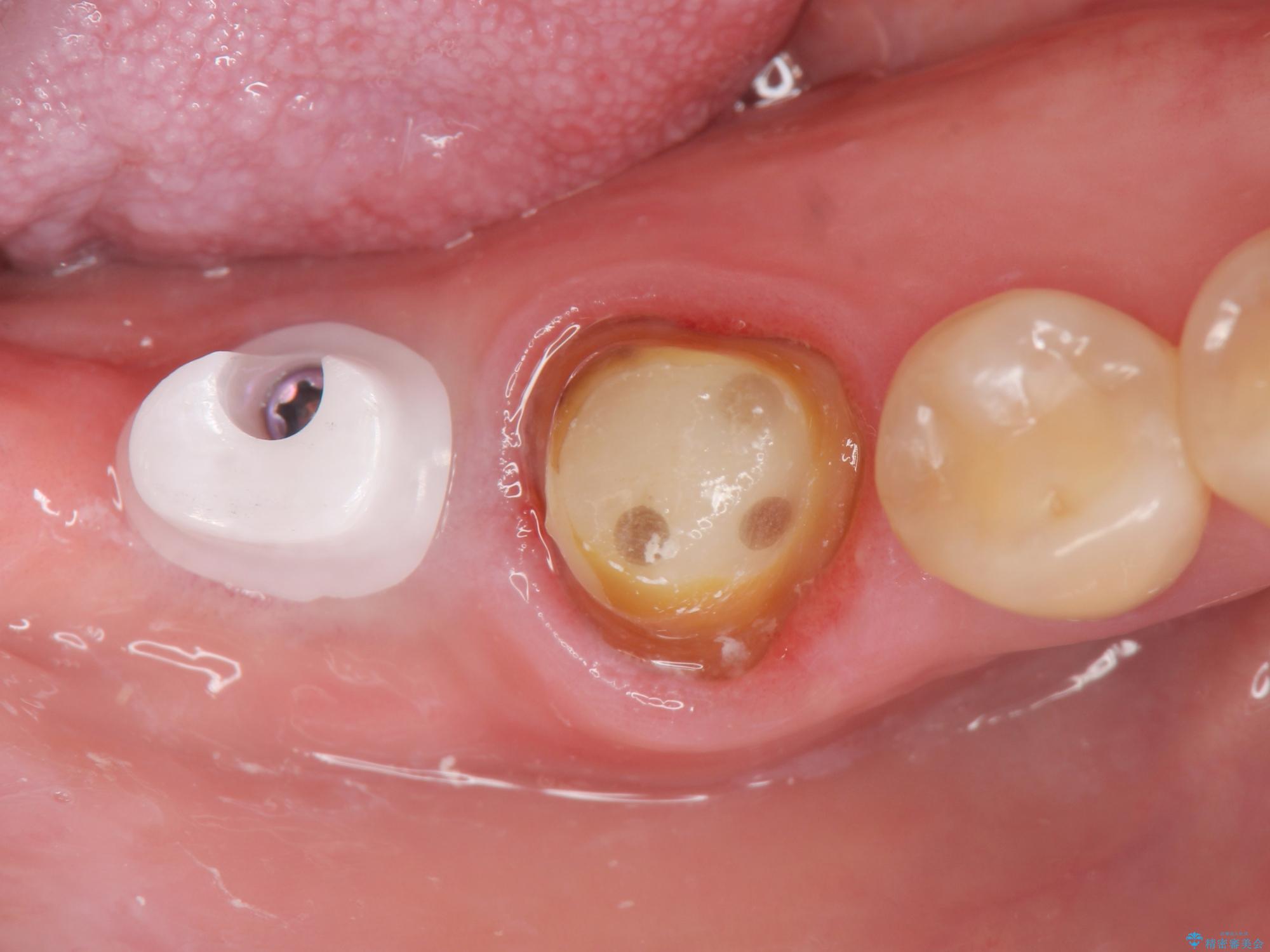
44万円(インプラント・ジルコニアカスタムアバットメント・ジルコニアクラウン・仮歯)
※費用は治療当時の料金となります担当医
大元
治療動機
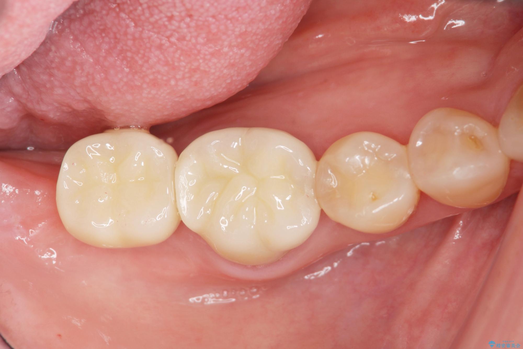
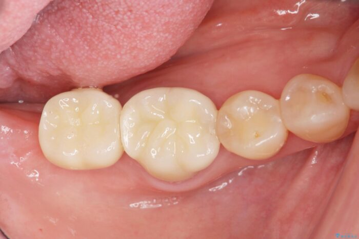
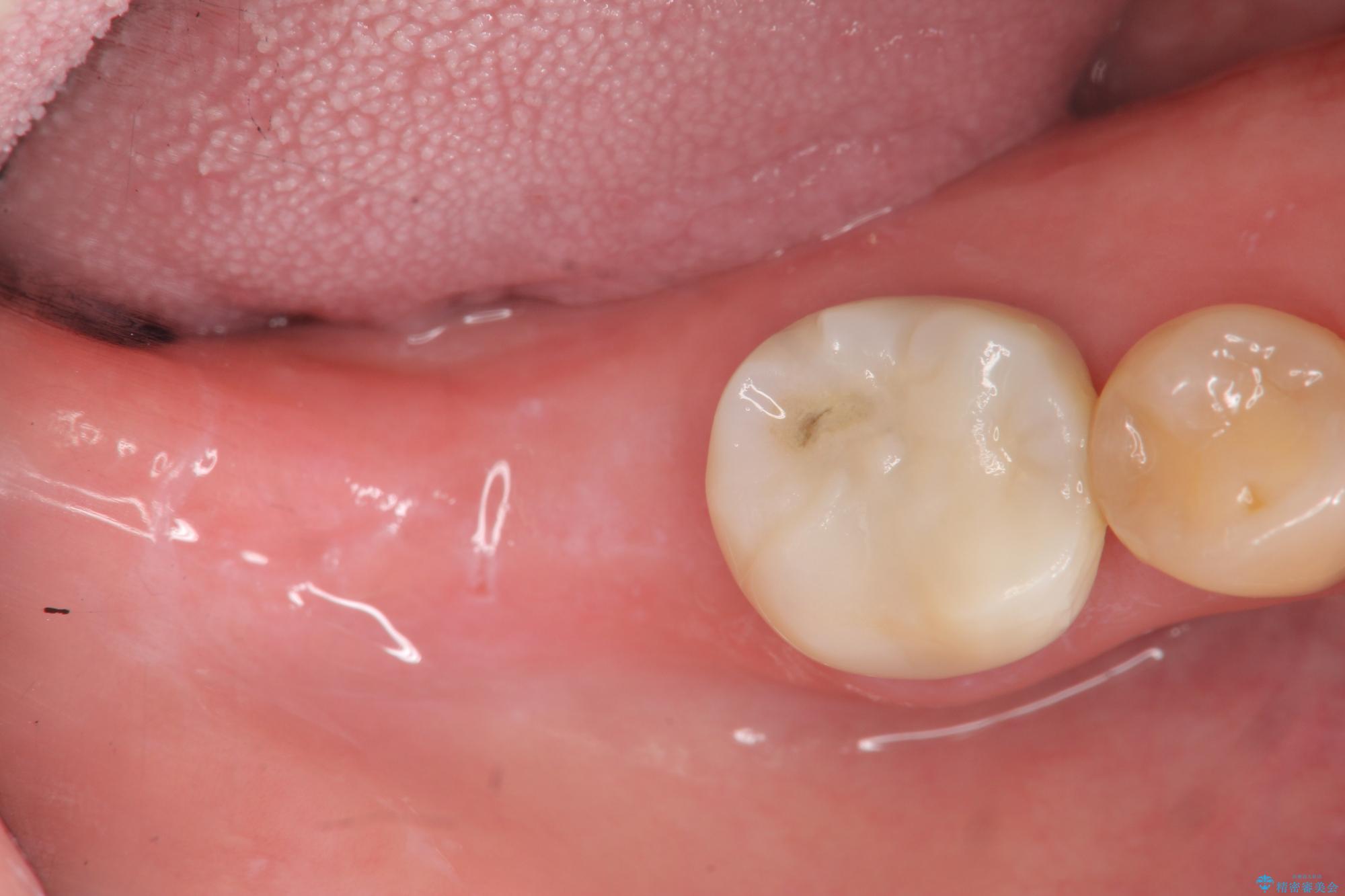
失った右下最後方臼歯の咬合機能の回復を求めてインプラント治療を希望されました。
治療計画
インプラントを埋入するのに十分な骨の量がCT検査により確認されたので、インプラントによる治療を計画しました。
治療後について
第二大臼歯は失ってしまうと咀嚼効率が10-30%程度低下してしまうと言われている、食事で物を噛み切るのに非常に重要な歯です。
失ってしまった奥歯をインプラントを用いて咬合機能回復することで、残っている他の歯を守ることにもなります。
インプラント治療の注意事項(リスク・副作用など)
外科手術のため、術後に痛みや腫れ、違和感を伴います
メンテナンスを怠ったり喫煙により、お口の中に大きな悪影響を及ぼすインプラント周囲炎等にかかる可能性があります
糖尿病、肝硬変、心臓病等の場合、インプラント治療ができない可能性があります
高血圧、貧血・不整脈等の場合、インプラント治療後に治癒不全を招く可能性があります
自費診療(保険適用外治療)となります
セラミック治療の注意事項(リスク・副作用など)
天然歯を削ります
硬い素材は天然歯を傷つけてしまう場合があります
かみ合わせや歯ぎしりが強すぎる方はセラミックが割れてしまう可能性があります
自費診療(保険適用外治療)となります


