噛むたび痛む歯をインプラントで解決【歯牙破折】
治療概要
患者様
40代女性
治療期間
6ヶ月
概算治療費
50.4万円(インプラント・チタンカスタムアバットメント・ジルコニアクラウン・仮歯)
※費用は治療当時の料金となります担当医
大元
治療動機
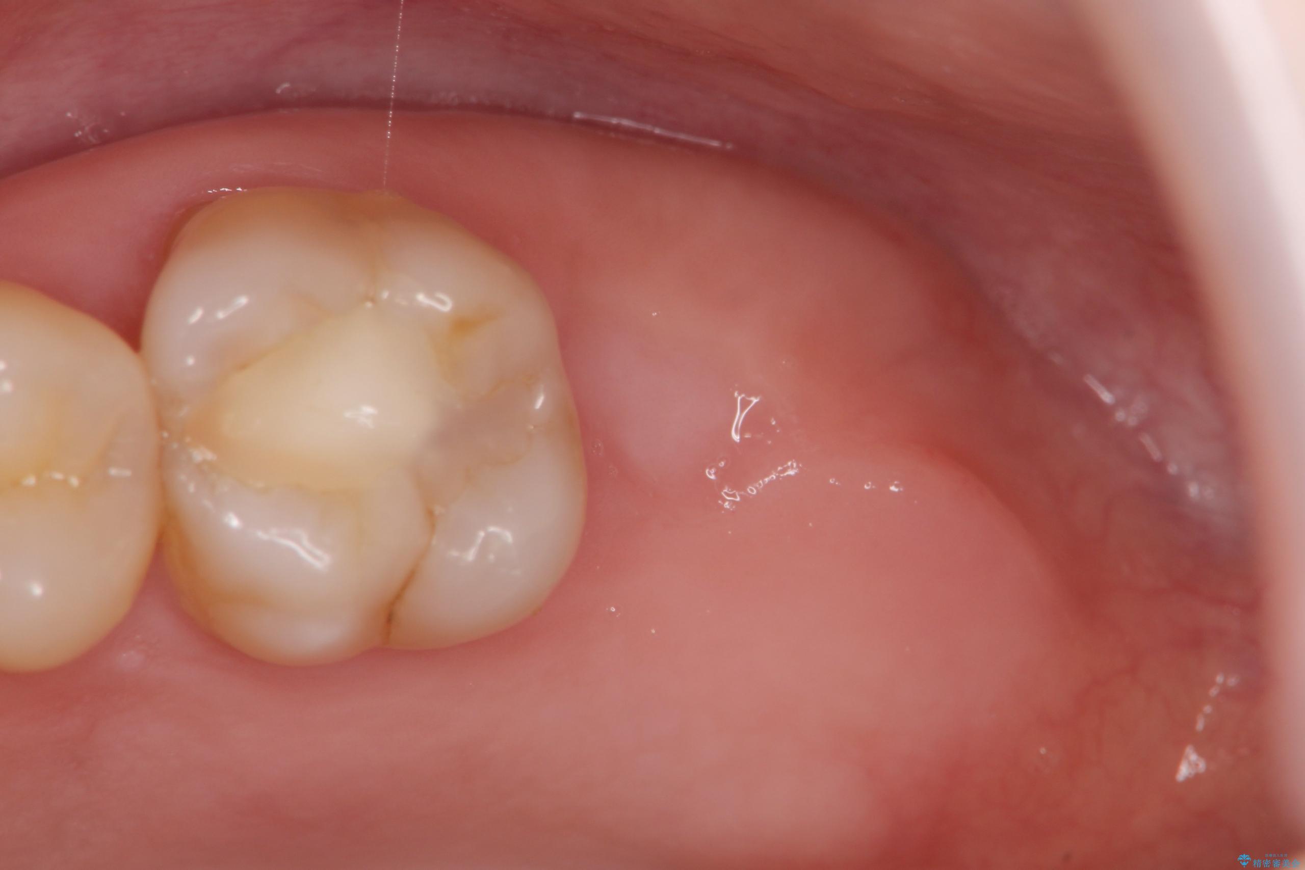
噛むと奥歯が痛いとご来院されました。根管治療を希望されていました。
治療計画
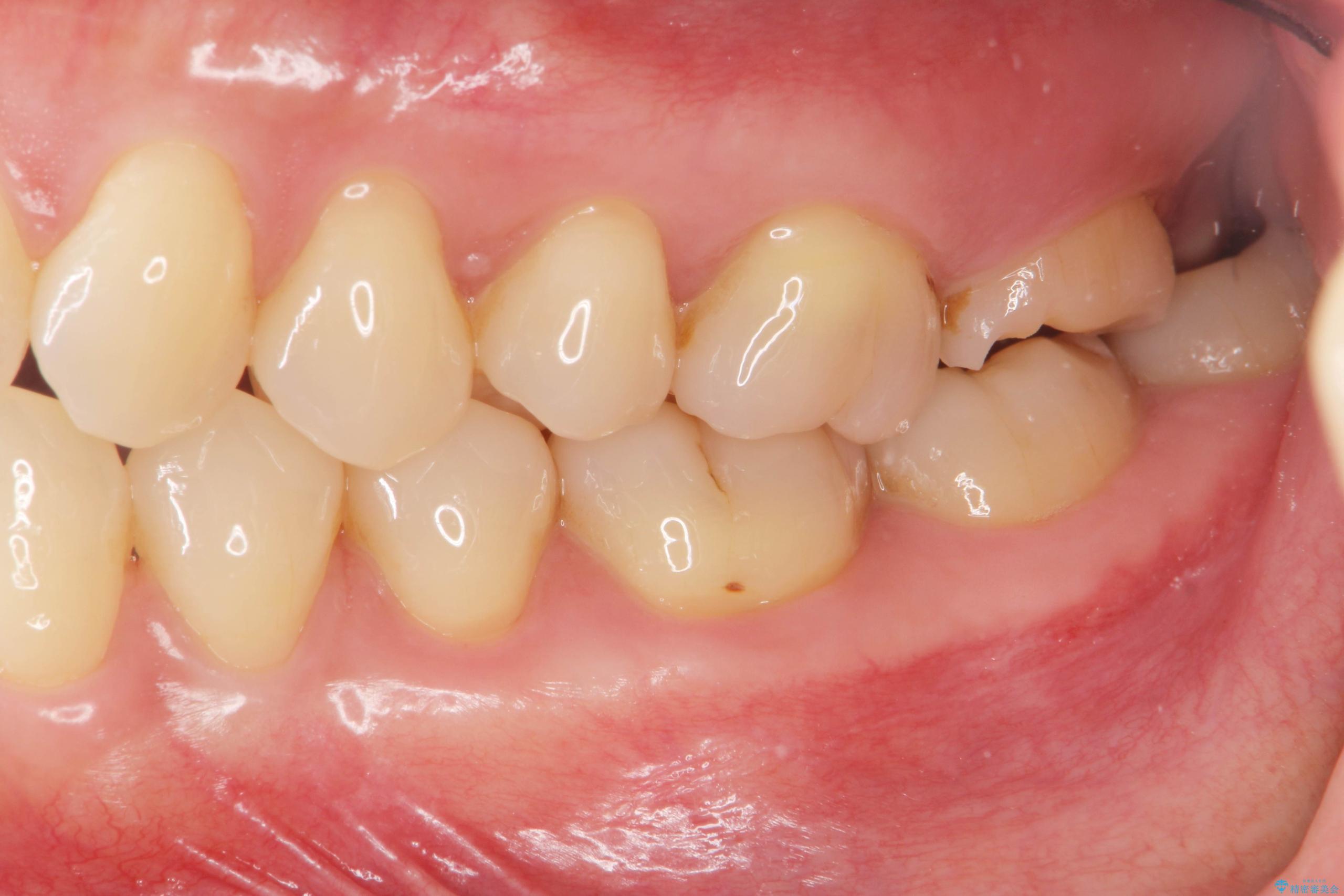
検査の結果、上顎奥歯が割れており、ご希望の根管治療ができない抜歯の対象でした。
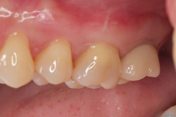
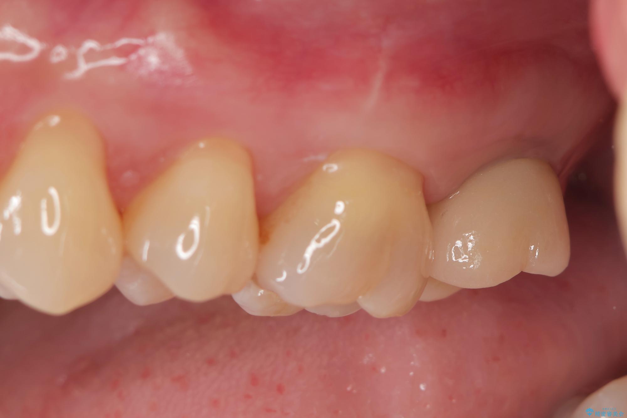
抜歯し、嚙み合わせの回復のためインプラント治療を行いました。
治療後について
歯が割れていて抜歯をしなくてはならないことに大変ショックを受けておられましたが、インプラント治療を行いしっかりと機能が回復し、大変喜んでいただけました。
インプラント治療の注意事項(リスク・副作用など)
外科手術のため、術後に痛みや腫れ、違和感を伴います
メンテナンスを怠ったり喫煙により、お口の中に大きな悪影響を及ぼすインプラント周囲炎等にかかる可能性があります
糖尿病、肝硬変、心臓病等の場合、インプラント治療ができない可能性があります
高血圧、貧血・不整脈等の場合、インプラント治療後に治癒不全を招く可能性があります
自費診療(保険適用外治療)となります


