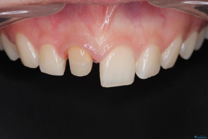
欠けた前歯、根管治療からやり直す
治療概要
患者様
20代女性
治療期間
1ヶ月
概算治療費
ジルコニアクラウンスタンダード・仮歯 13.2万円 精密根管治療(リトリート)・ファイバーコア 12.1万円
※費用は治療当時の料金となります担当医
青山
治療動機
前歯が欠けたため、ご来院された患者様です。
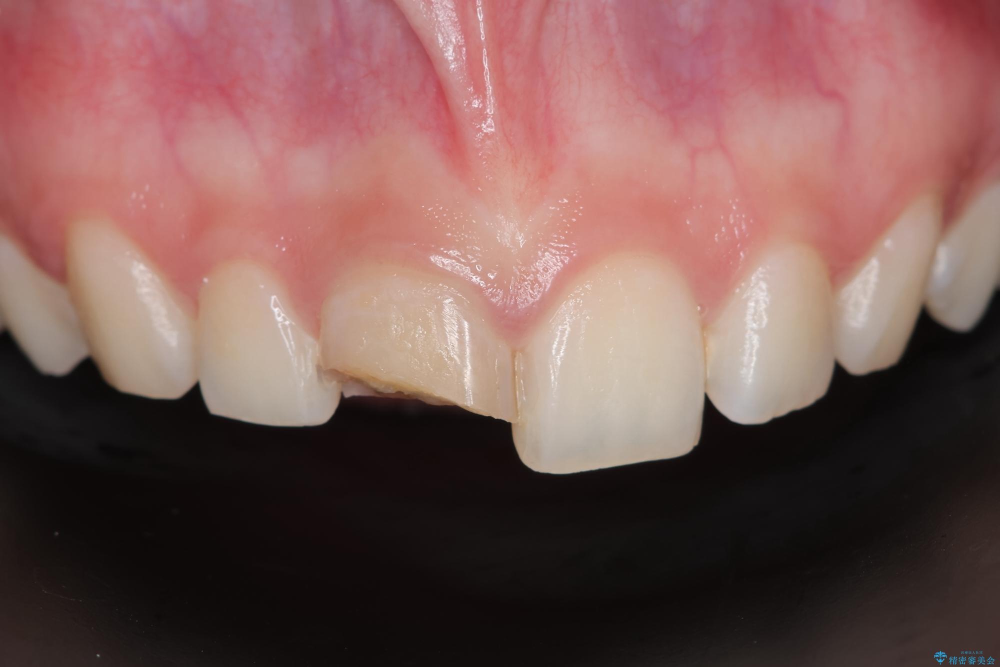
治療計画
セラミック治療を希望されたため、根管治療からやり直しました。
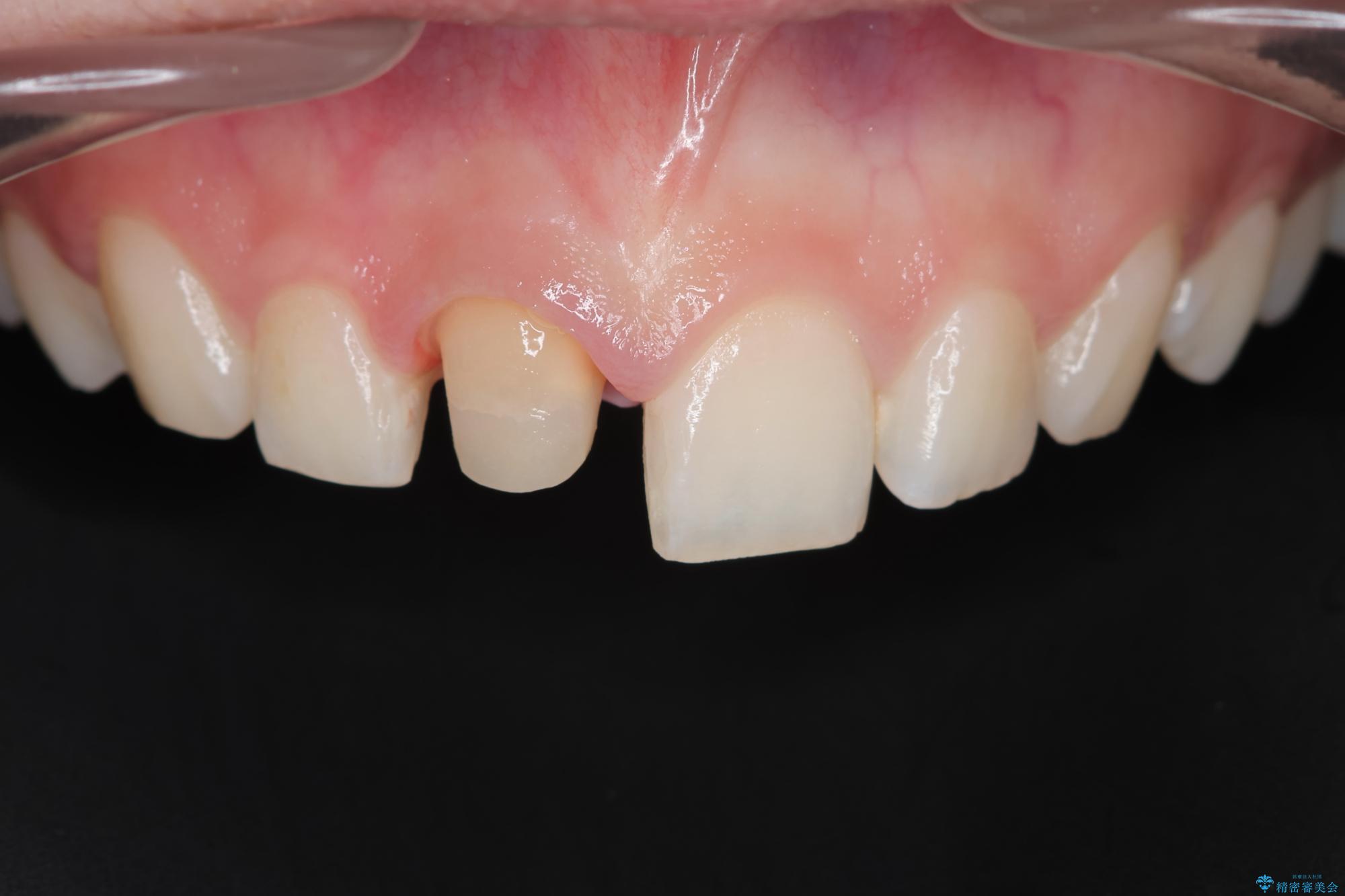
治療後について
適合の良い被せ物が入り、喜んでいただけました。
セラミック治療の注意事項(リスク・副作用など)
天然歯を削ります
硬い素材は天然歯を傷つけてしまう場合があります
かみ合わせや歯ぎしりが強すぎる方はセラミックが割れてしまう可能性があります
自費診療(保険適用外治療)となります
根管治療の注意事項(リスク・副作用など)
根管治療により類似の全ての症例の問題が解決するわけではなく、症例はあくまでも一例です
- 根管治療により痛みや腫れがひかない事や、術後に痛みや腫れが生じる事、治療によるファイル破折やパーフォレーションなどの偶発症、術後の歯根破折を生じる可能性もあります
自費診療(保険適用外)となります


