抜歯を伴うセラミック治療で、磨きやすい美しい口元へ
治療概要
患者様
20代女性
治療期間
6ヶ月
概算治療費
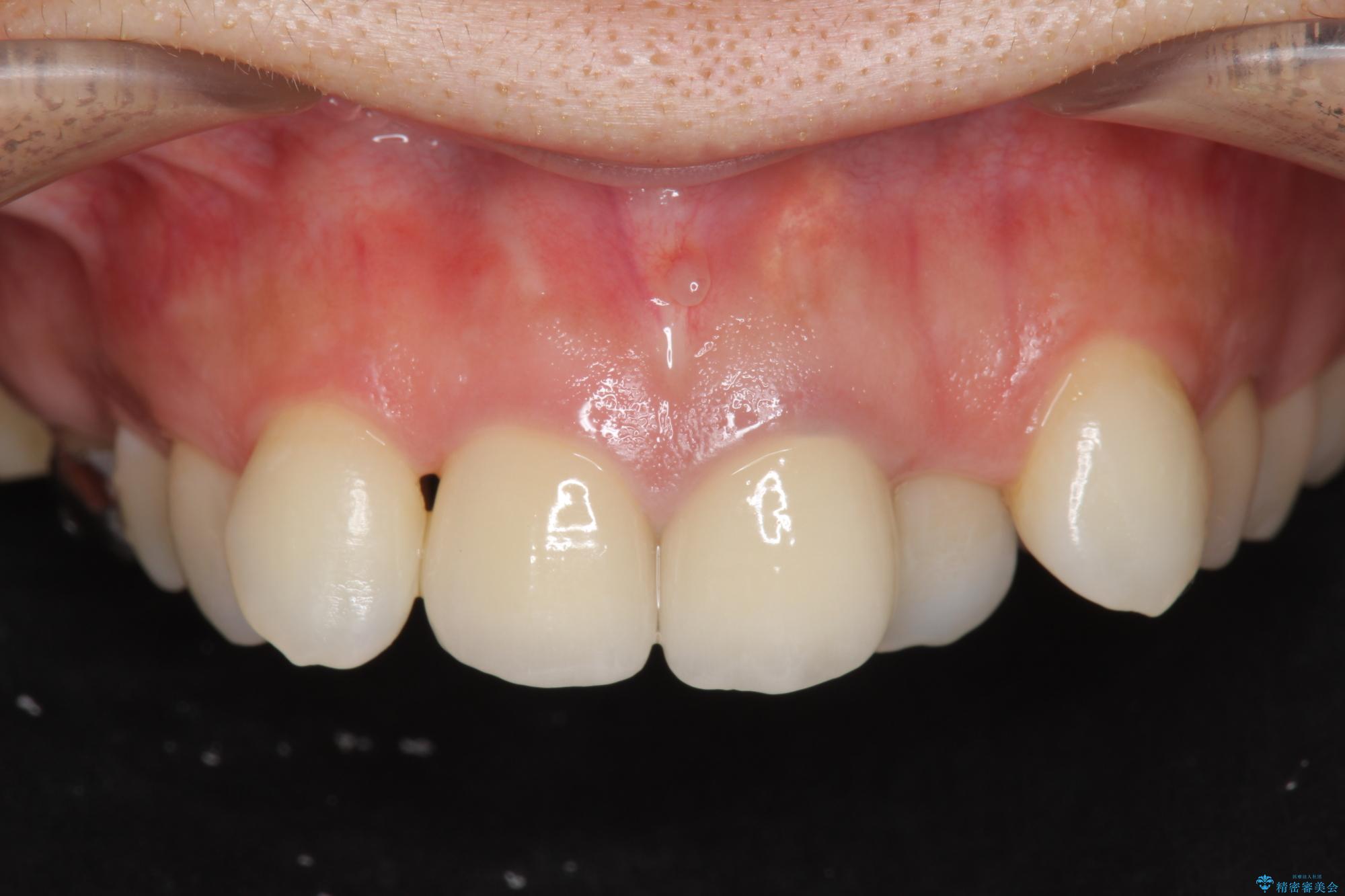
26.4万円(ジルコニアクラウン×2・仮歯×2)
※費用は治療当時の料金となります担当医
大元
治療動機
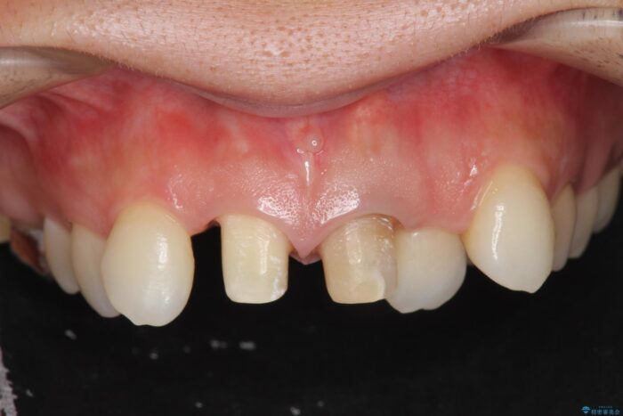
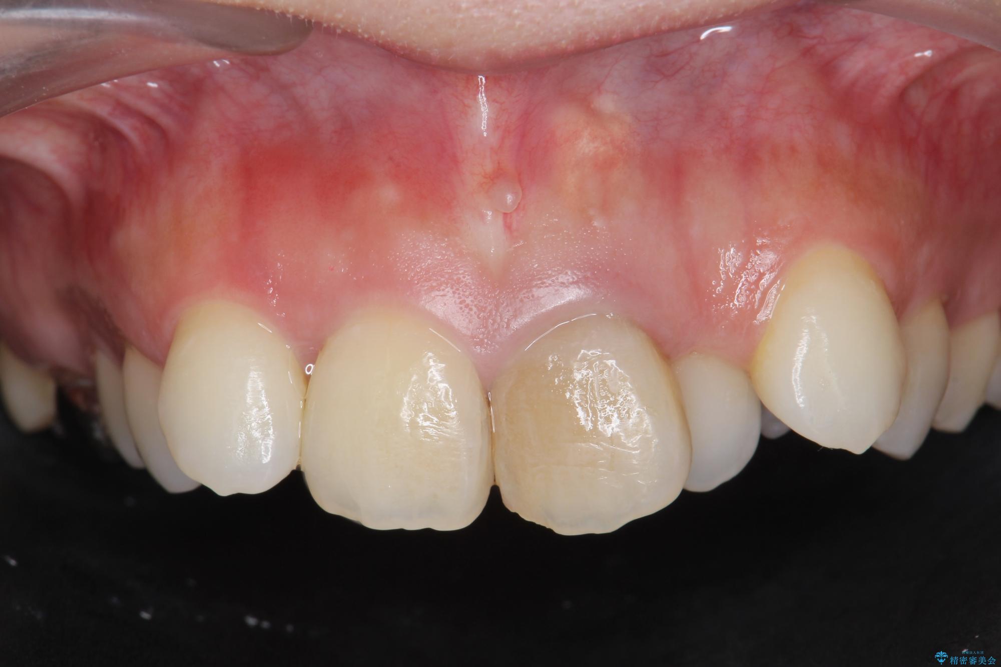
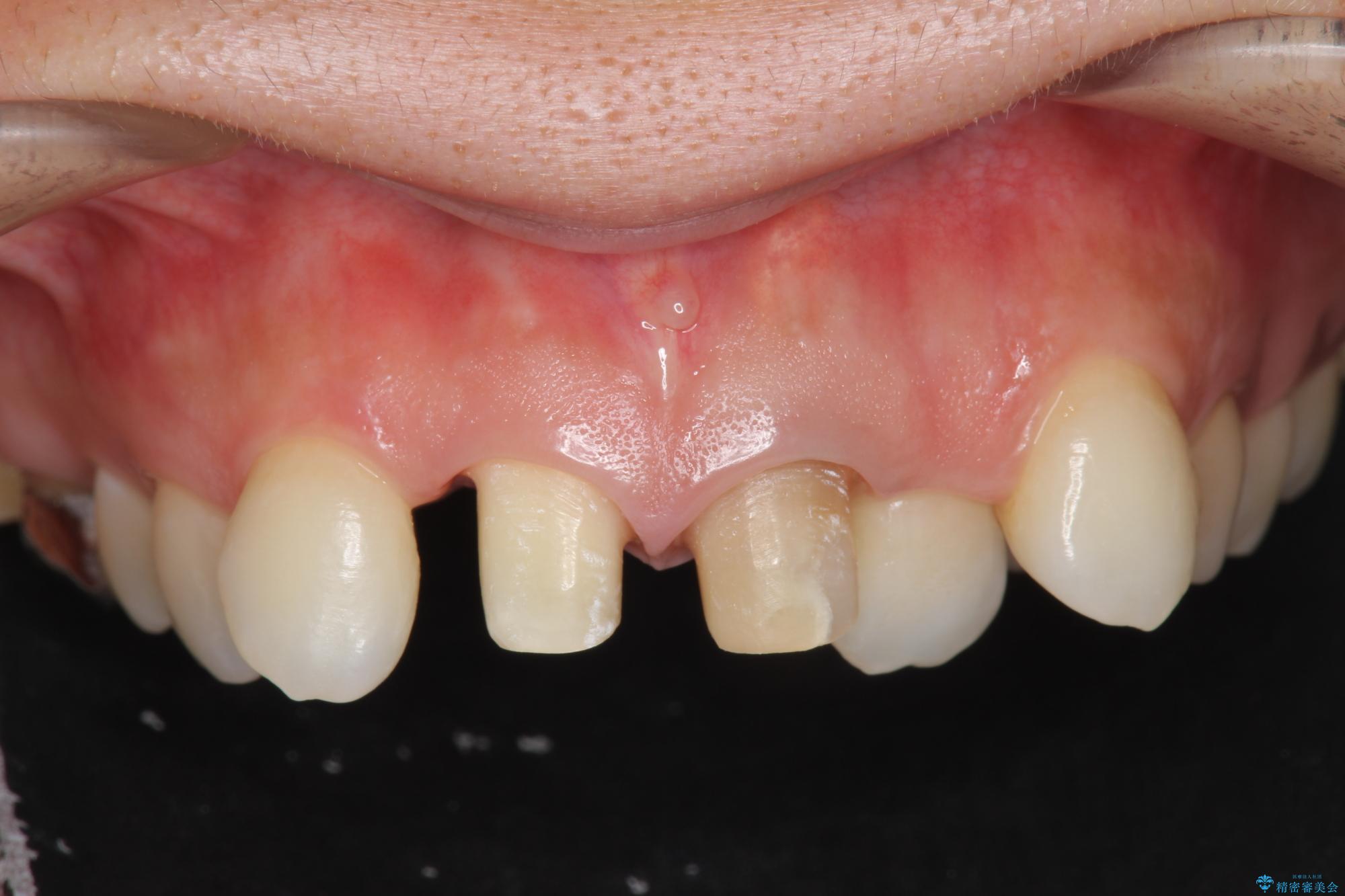
前歯の変色が気になるとご来院された患者様です。
治療計画
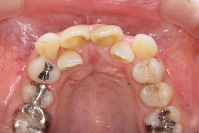
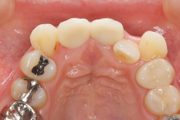
レントゲン検査の結果、以前の根管治療の詰め物が突き出た状態でしたので、まず精密な再治療を行います。同時に、歯磨きがしにくく虫歯の原因になっている右上側切歯を抜歯し、その後、セラミック治療で全体を美しく修復する計画です。
治療後について
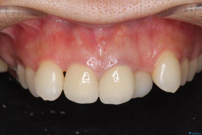
歯磨きがしにくい歯を抜歯することで、今後の虫歯の再発を防ぐ治療計画としました。
セラミック治療の注意事項(リスク・副作用など)
天然歯を削ります
硬い素材は天然歯を傷つけてしまう場合があります
かみ合わせや歯ぎしりが強すぎる方はセラミックが割れてしまう可能性があります
自費診療(保険適用外治療)となります





