骨が足りない上あごへの骨造成を伴うインプラント治療
治療概要
患者様
20代男性
治療期間
10ヶ月
概算治療費
63.8万円(インプラント・ジルコニアアバットメント・ジルコニアクラウン・骨造成)
※費用は治療当時の料金となります担当医
大元
治療動機
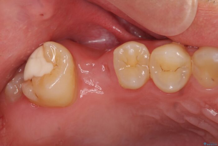
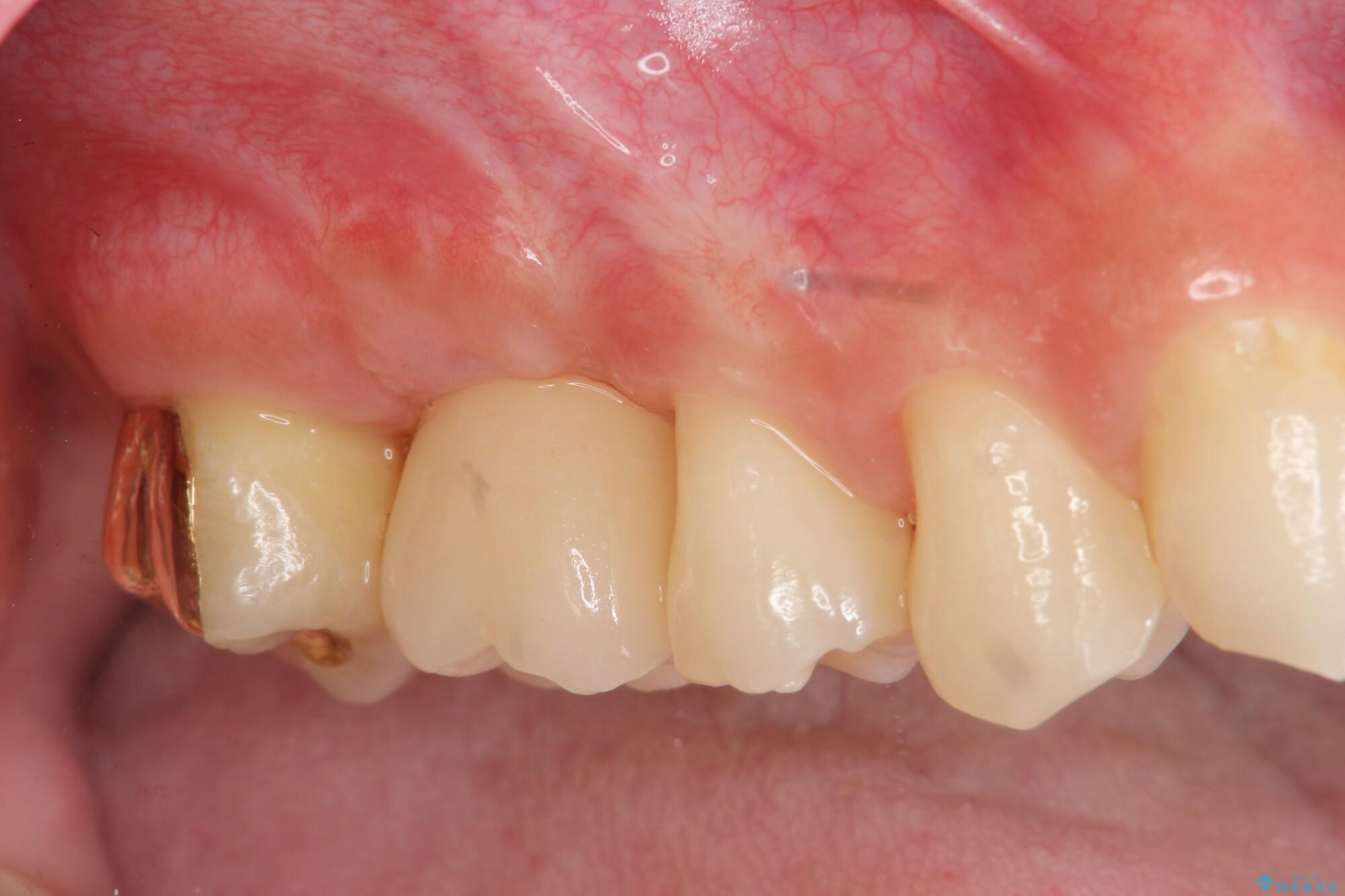
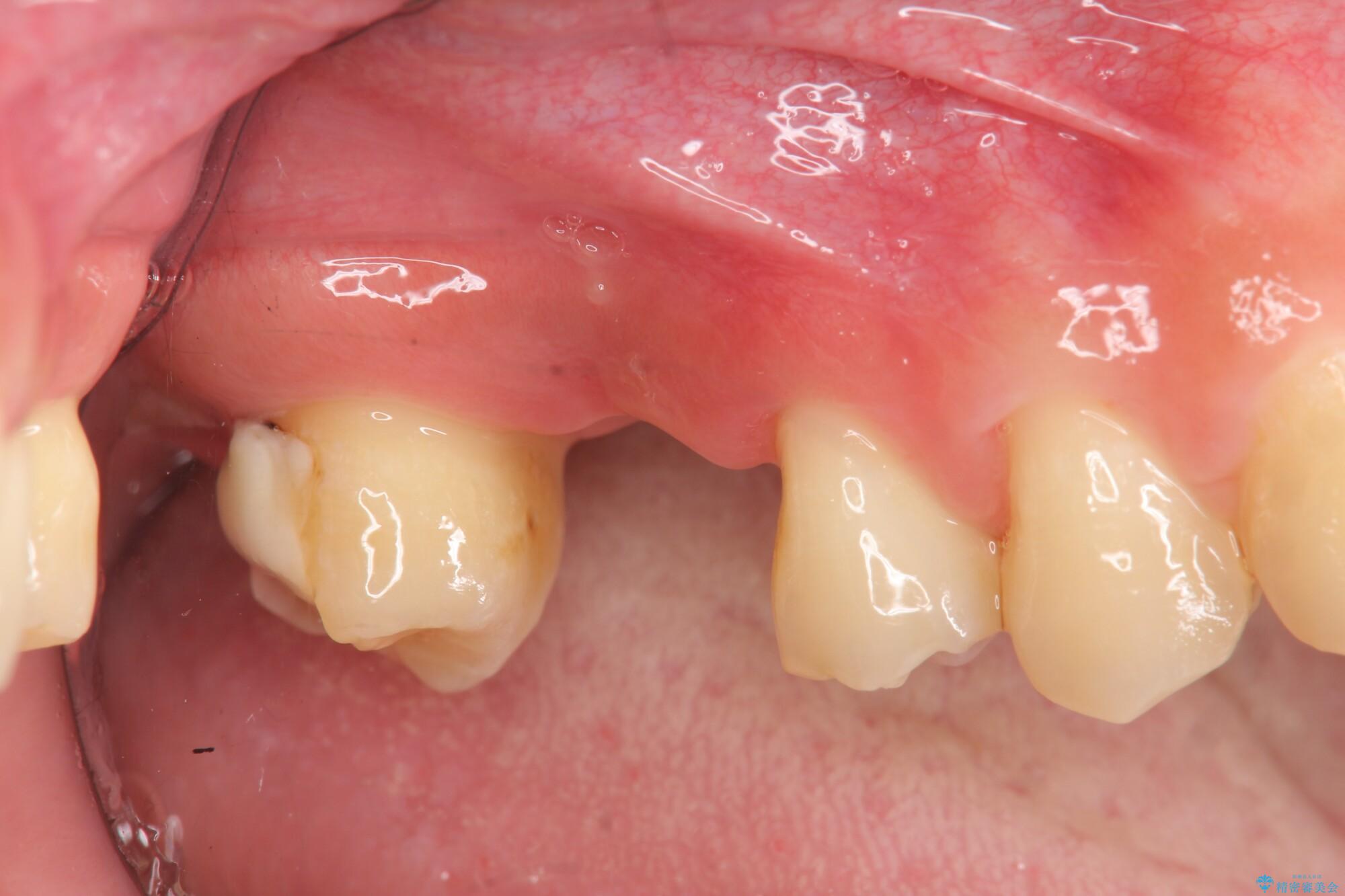
上顎奥歯の破折により他院で抜歯された後、当院での治療を希望された症例です。
治療計画
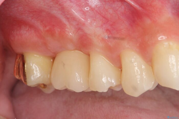
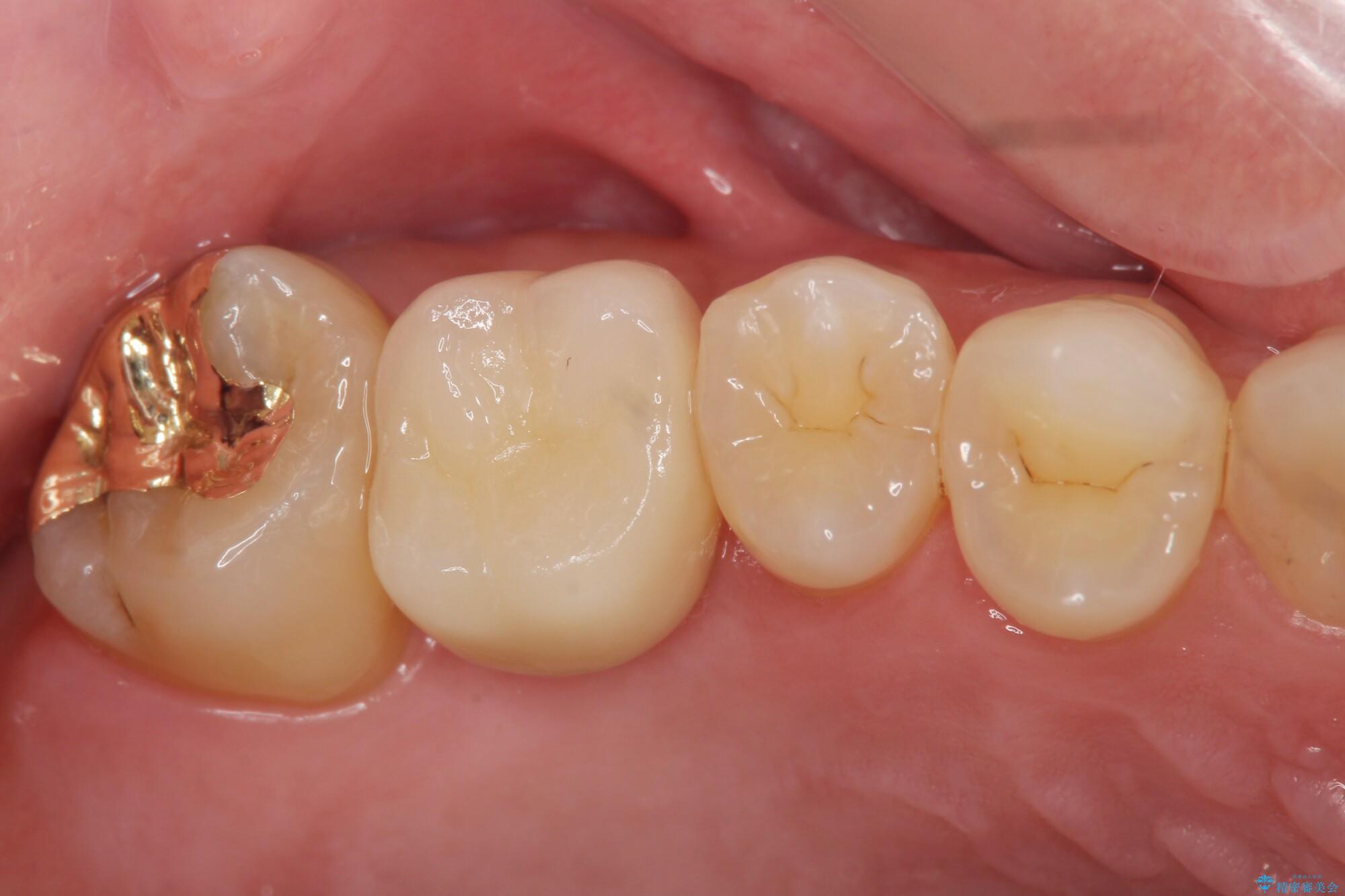
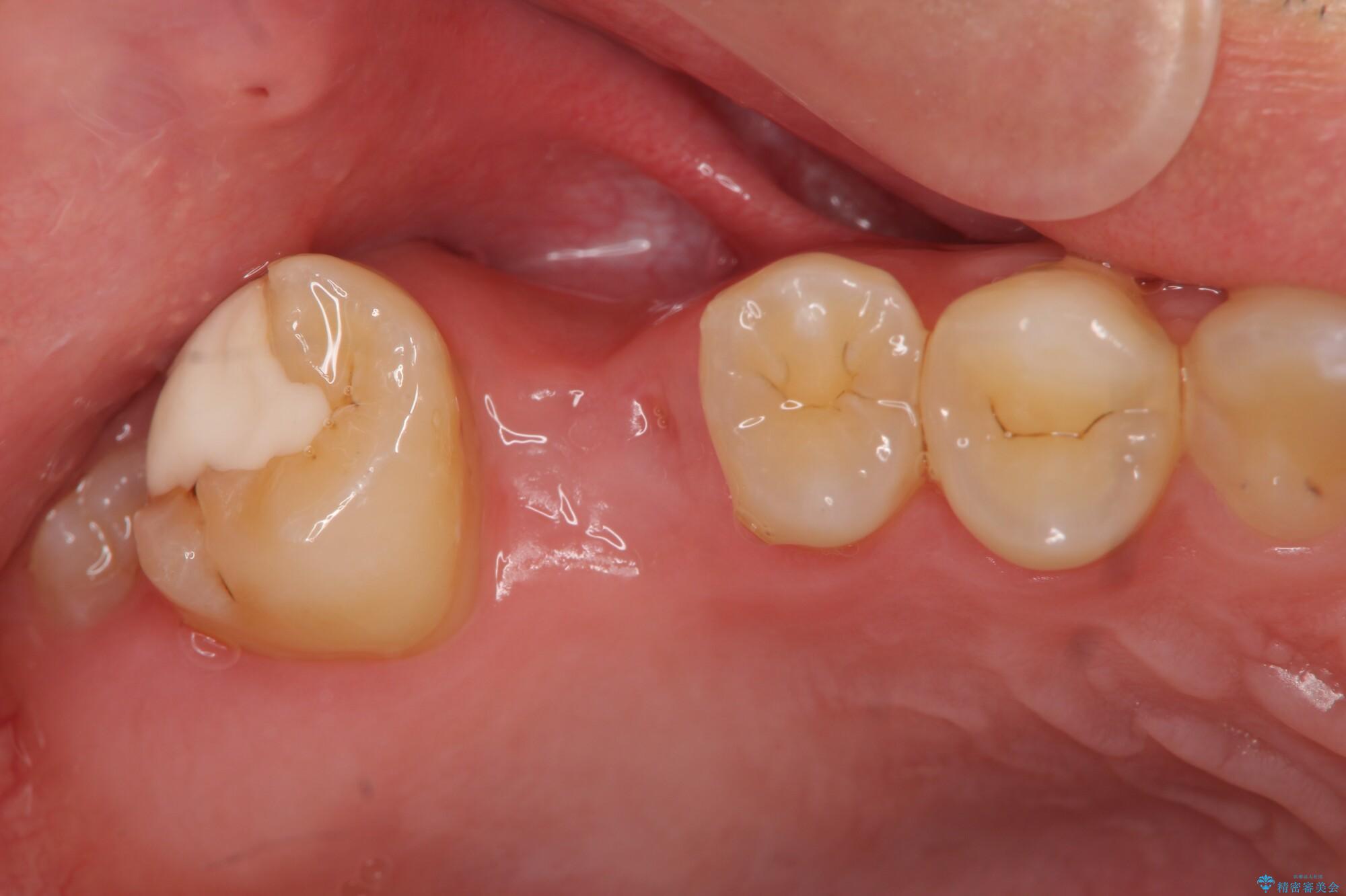
精密なCT検査の結果、インプラントを支えるための土台となる骨が大きく不足していることが判明しました。無理に治療を進めるのではなく、まずは骨を再生させる『骨造成』を行い、インプラントを安全に植立できる環境を整えてから、確実な治療を進めていく計画を立てました。
治療後について
インプラントを長く使い続けるためのカギは『骨の厚み』です。骨が足りない場合は、まず骨を作る治療からスタート。しっかりとした土台を再建してからインプラントを植えることで、自分の歯のように噛める安定した環境を作り上げます。
インプラント治療の注意事項(リスク・副作用など)
外科手術のため、術後に痛みや腫れ、違和感を伴います
メンテナンスを怠ったり喫煙により、お口の中に大きな悪影響を及ぼすインプラント周囲炎等にかかる可能性があります
糖尿病、肝硬変、心臓病等の場合、インプラント治療ができない可能性があります
高血圧、貧血・不整脈等の場合、インプラント治療後に治癒不全を招く可能性があります
自費診療(保険適用外治療)となります




