すきっ歯をワイヤー矯正で改善
治療概要
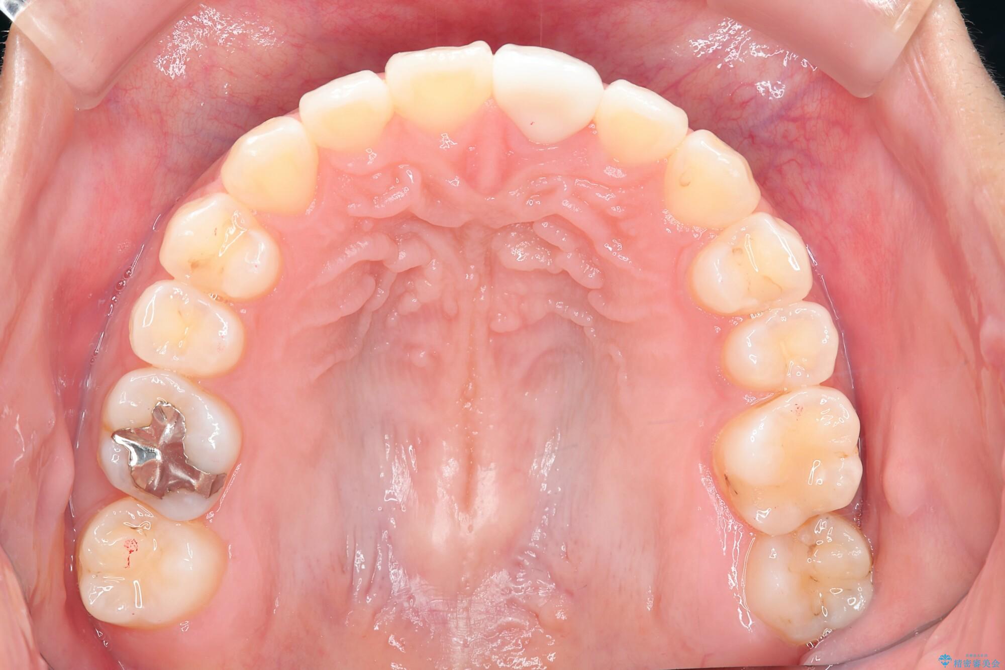
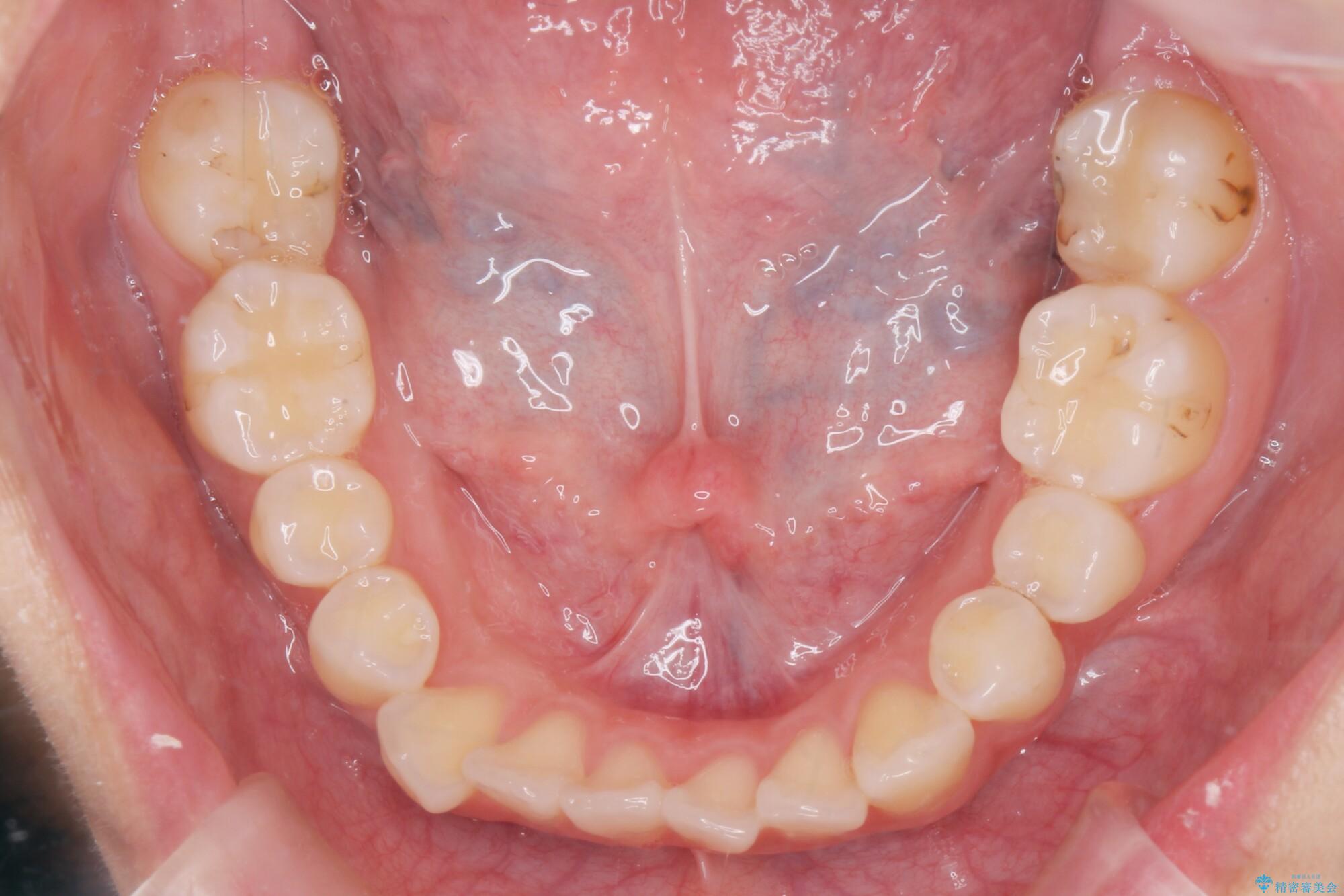
患者様
20代女性
治療期間
1年
矯正装置
ワイヤー矯正
概算治療費
88万円
※費用は治療当時の料金となります担当医
大元
治療動機
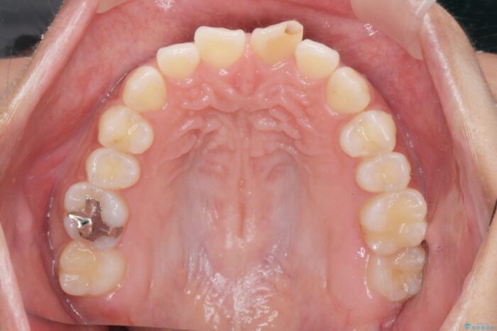
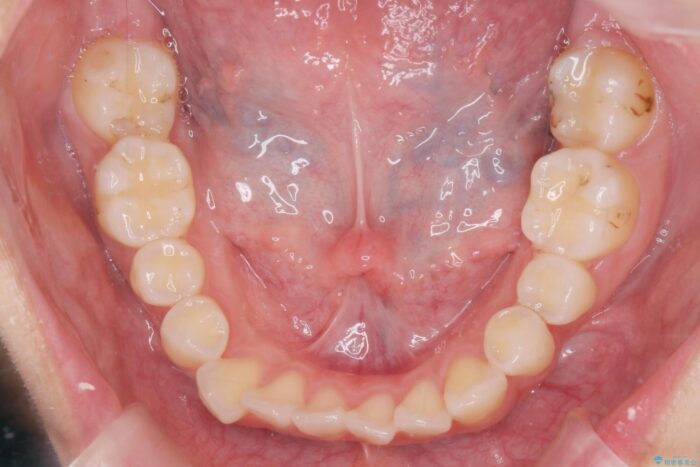
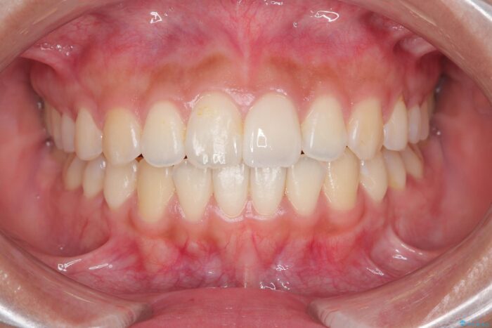
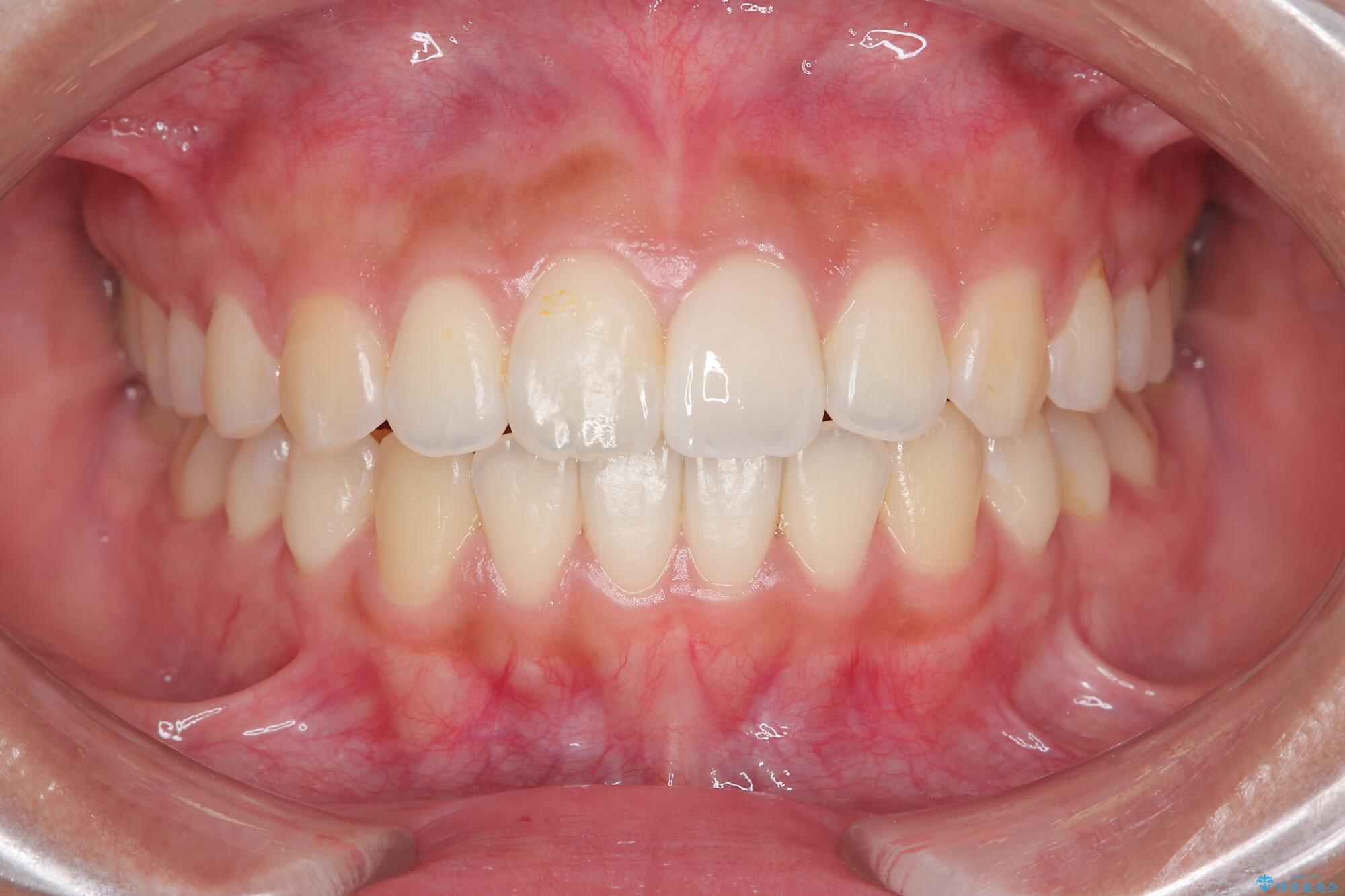
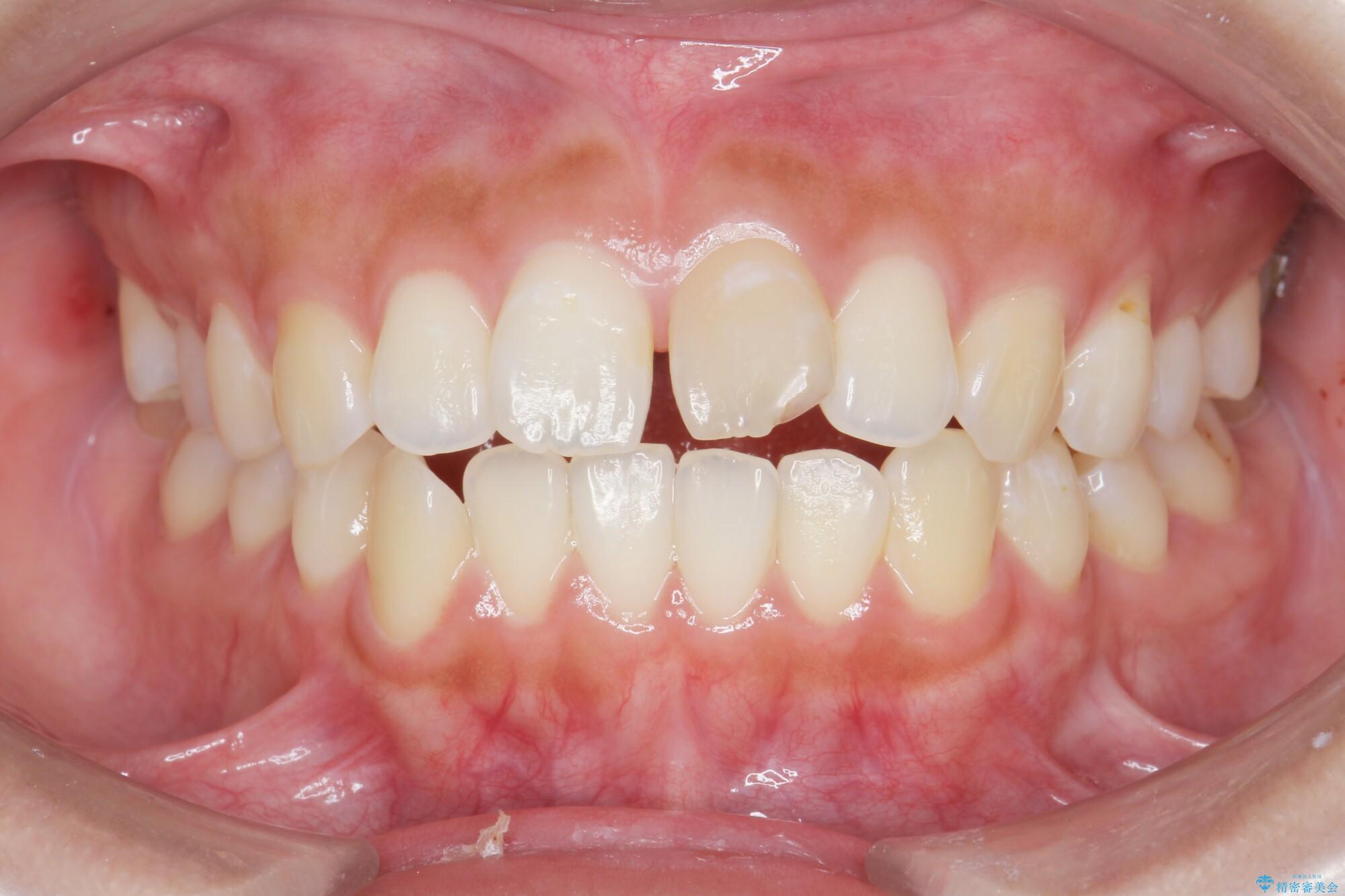
噛まない前歯と捻じれてしまった歯を改善したいと、矯正治療を希望された患者様です。
治療計画
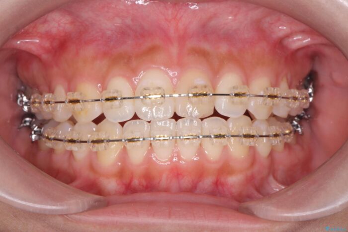
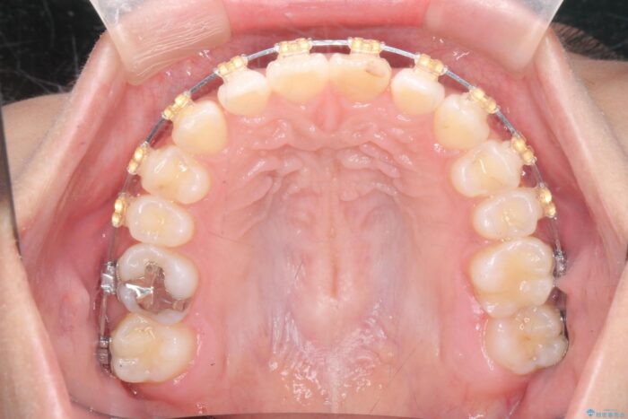
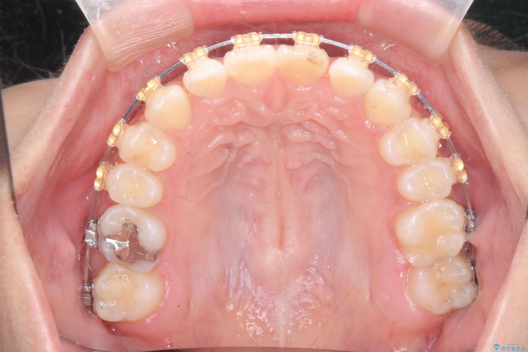
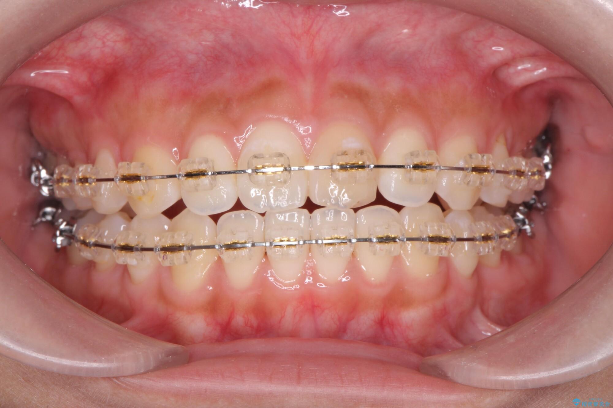
仕上がりにこだわりたいと、装置はマウスピースではなくワイヤーを希望されました。
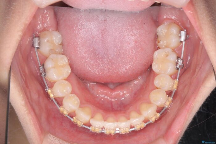
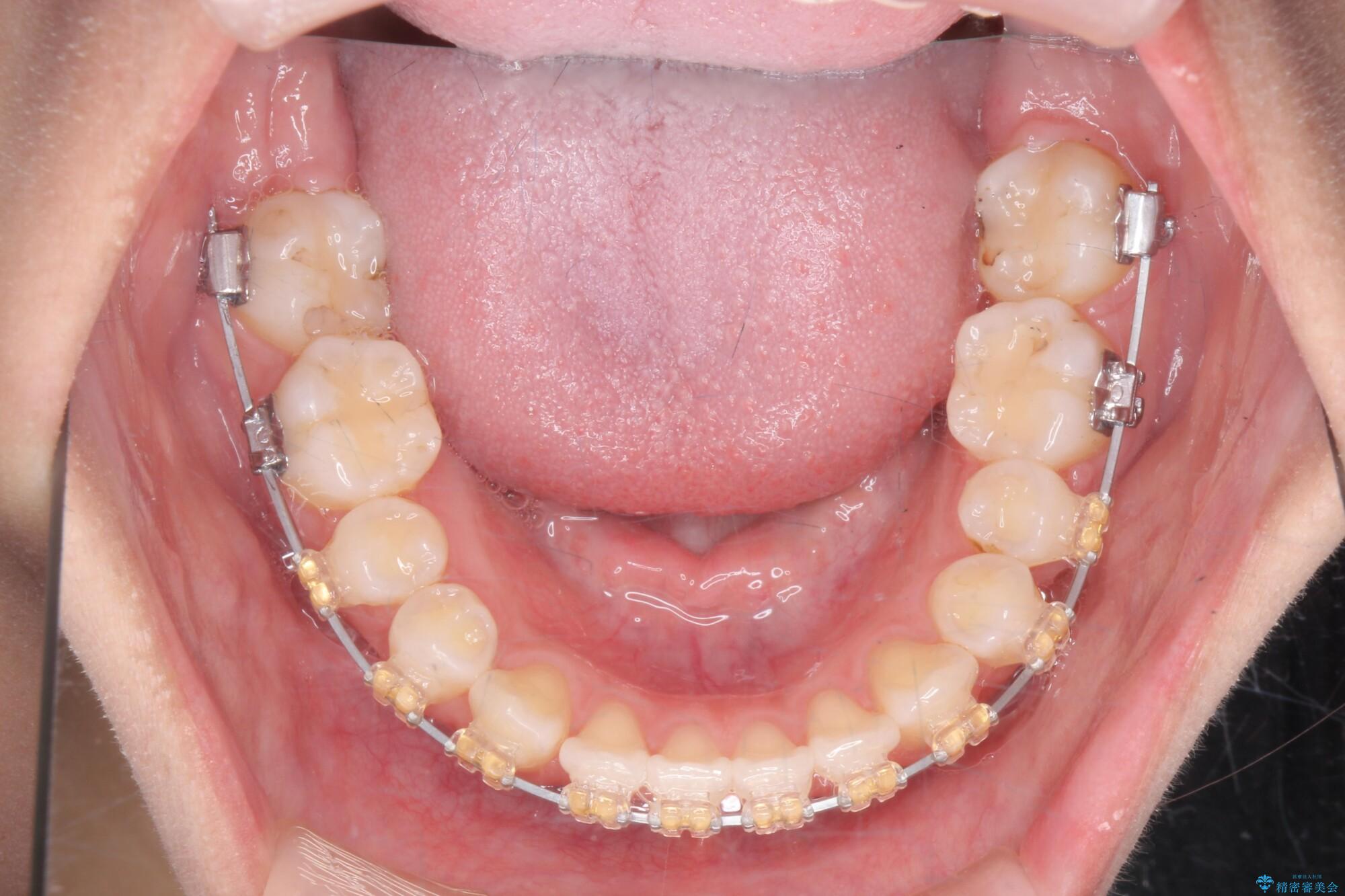
マルチブラケットを用いた非抜歯のワイヤー矯正で噛み合わせと歯並びを改善していきます。
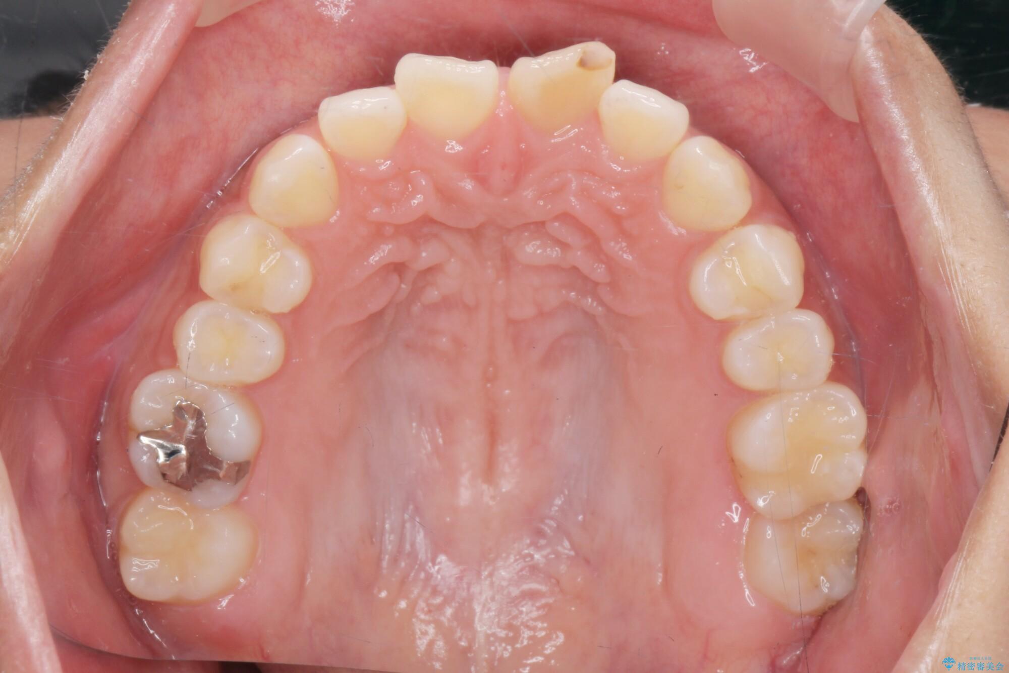
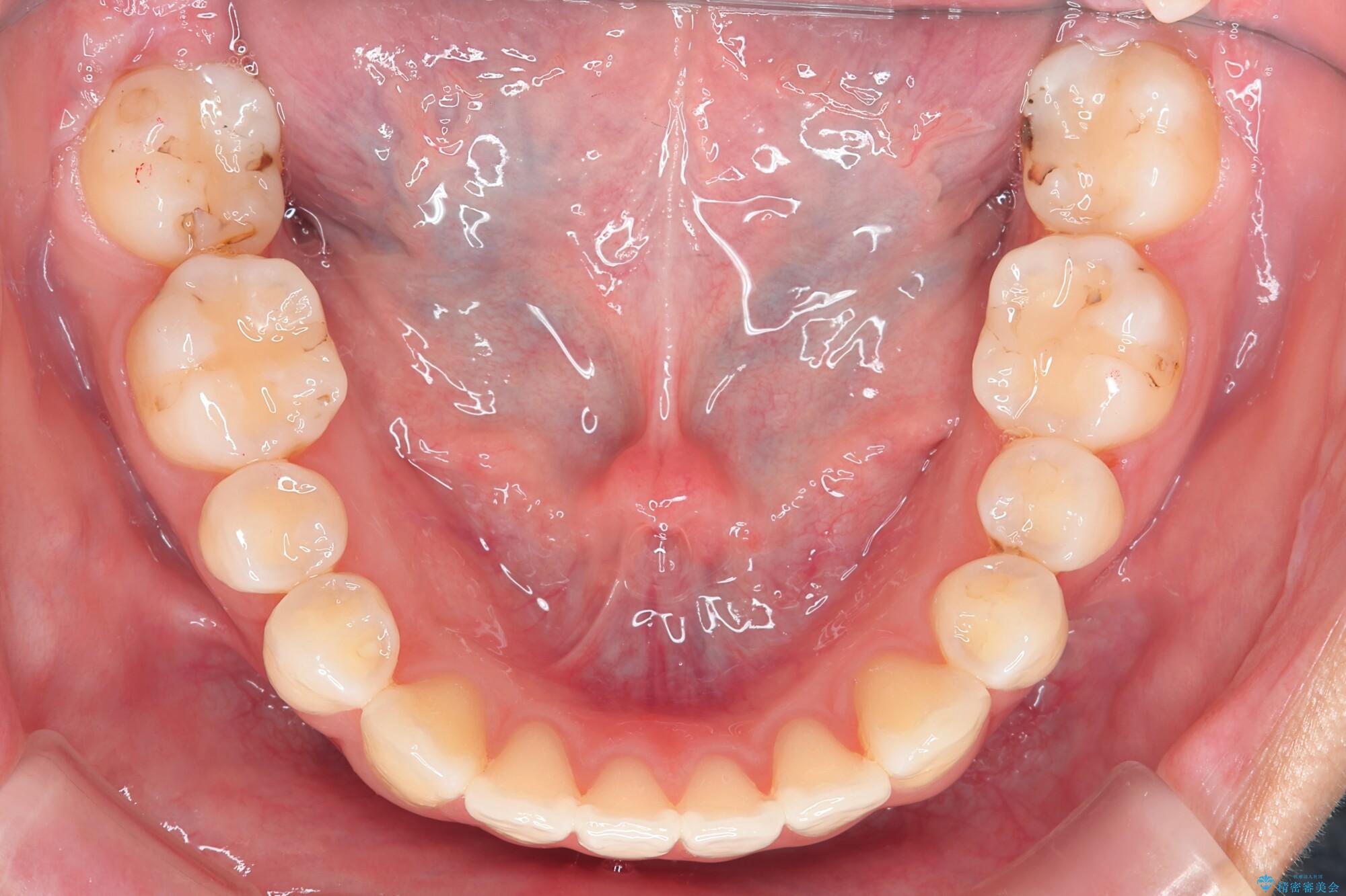
治療後について
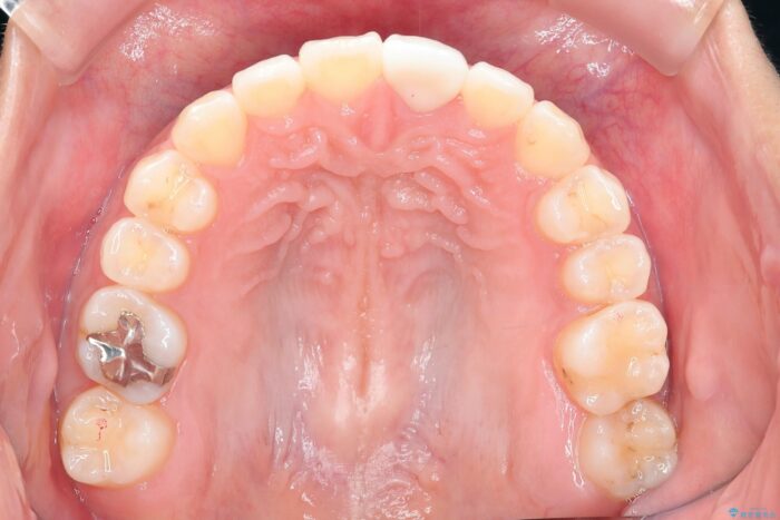
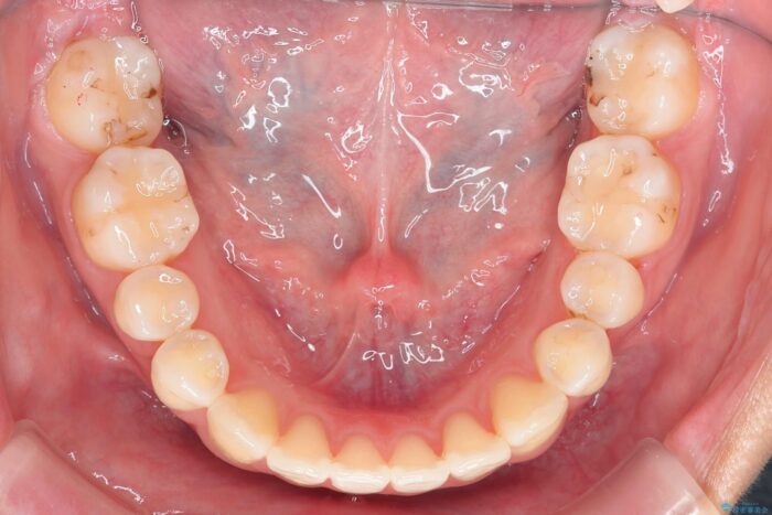
1年で歯並び、嚙み合わせともにしっかりと改善されました。
患者様にも、非常に噛みやすくなったと喜んでいただくことができました。
ワイヤー矯正の注意事項(リスク・副作用など)
治療中は違和感や痛みが起こることがあります
症状により、抜歯が必要な場合があります
治療中は歯磨きがしにくくなるため、虫歯や歯周病になりやすくなります
矯正治療後の保定が不十分だと後戻り(元の位置に戻ろうとする動き)をします
自費診療(保険適用外)となります








