Cases
インビザライン(マウスピース矯正)の症例紹介
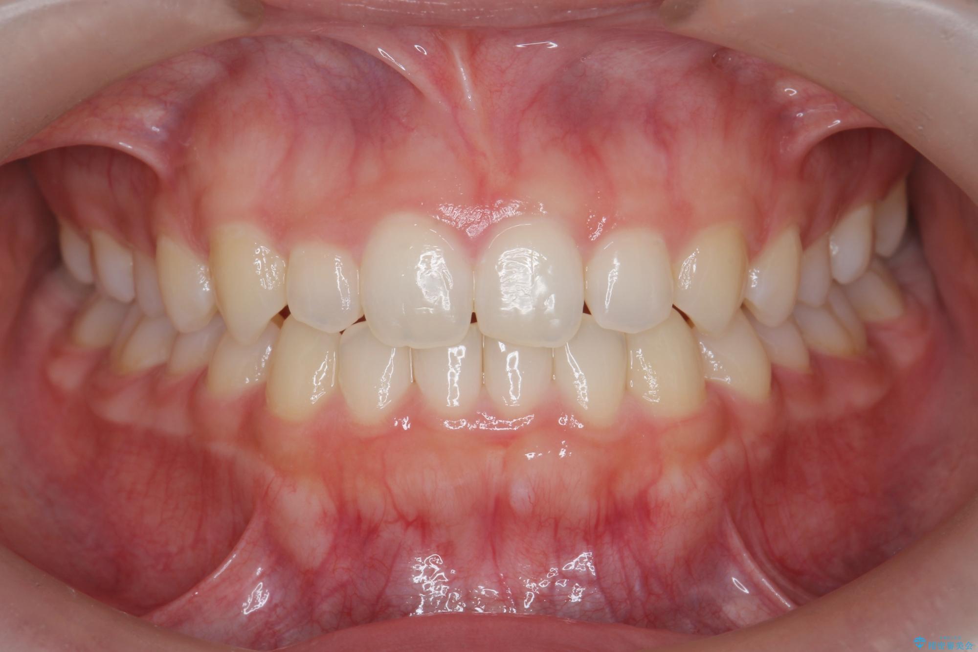
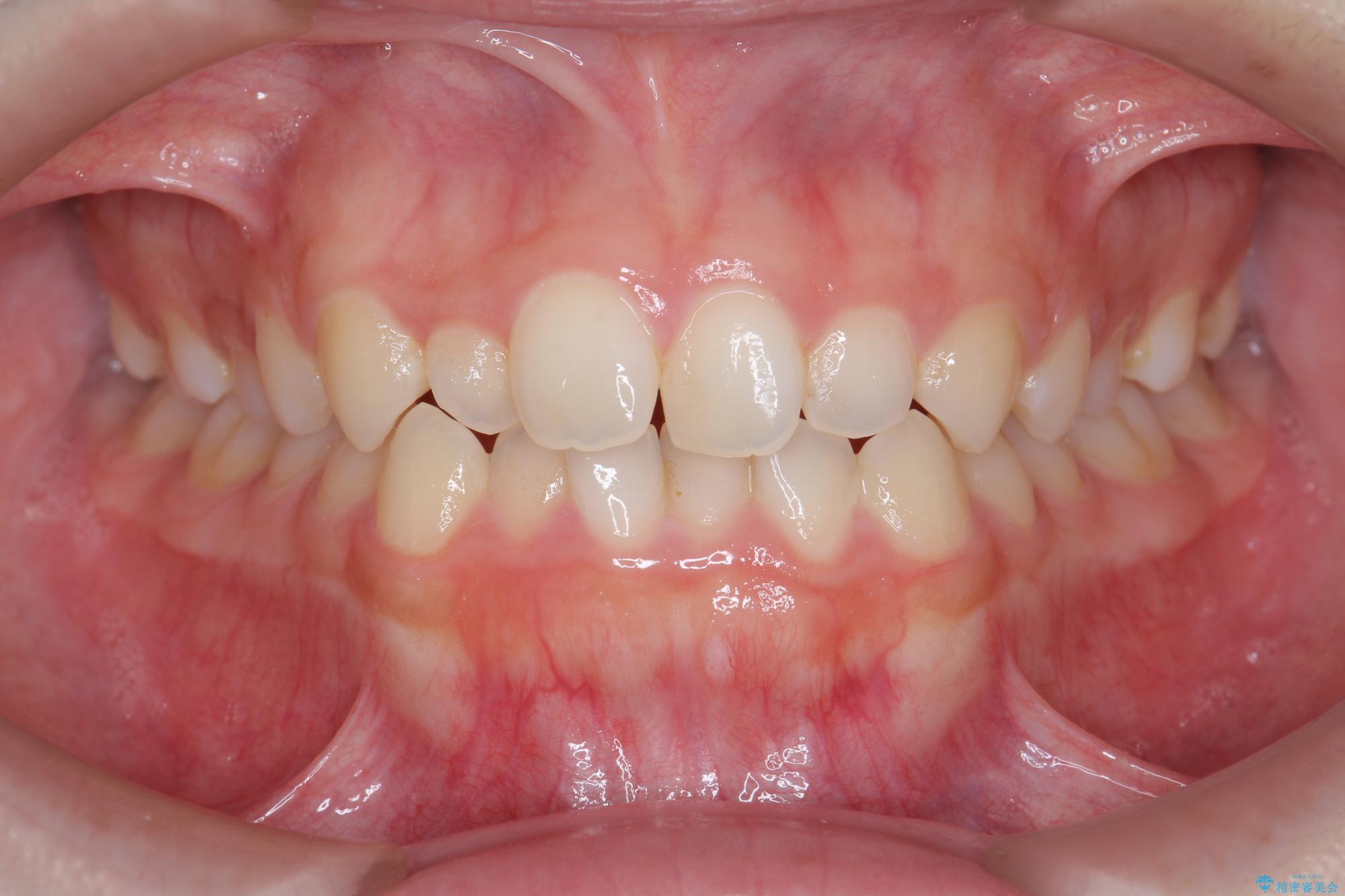
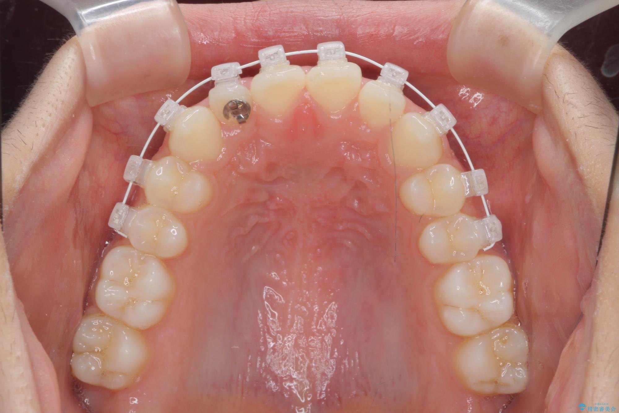
部分ワイヤーとマウスピース矯正で前歯のねじれ、がたつきをしっかり改善
治療概要
患者様
20代男性
治療期間
9ヶ月
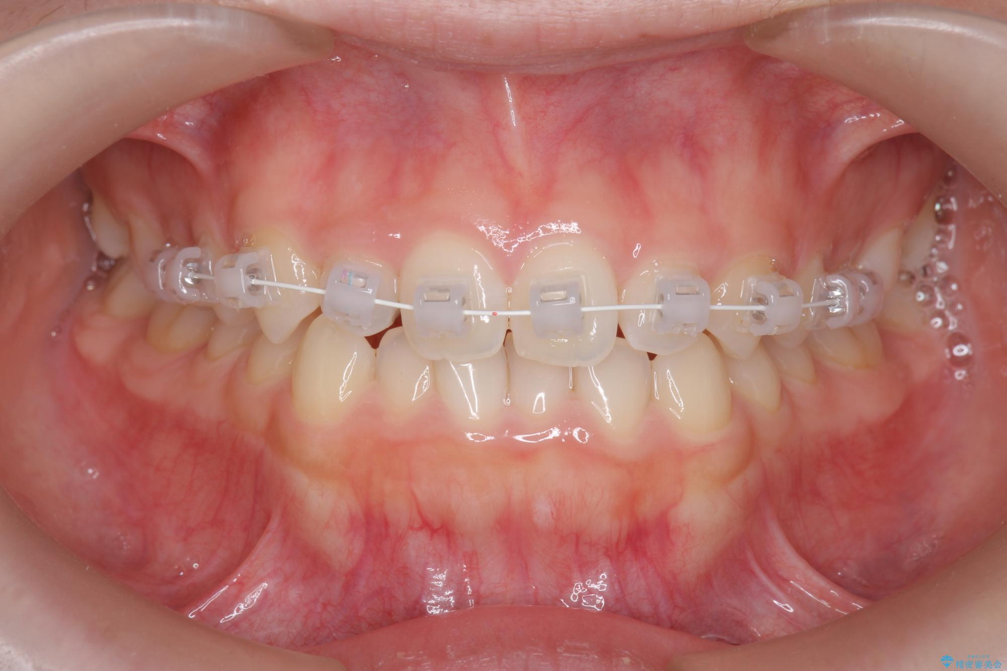
矯正装置
インビザライン +部分ワイヤー矯正
概算治療費
88万円
※費用は治療当時の料金となります担当医
大元
治療動機
前歯のねじれ、ガタつきを改善したいと矯正治療を希望された患者様です。
治療計画
マウスピースでは改善の難しい上顎側切歯のねじれをしっかり部分ワイヤー矯正で改善し、マウスピース矯正インビザラインで歯列を整えていきます。
治療後について
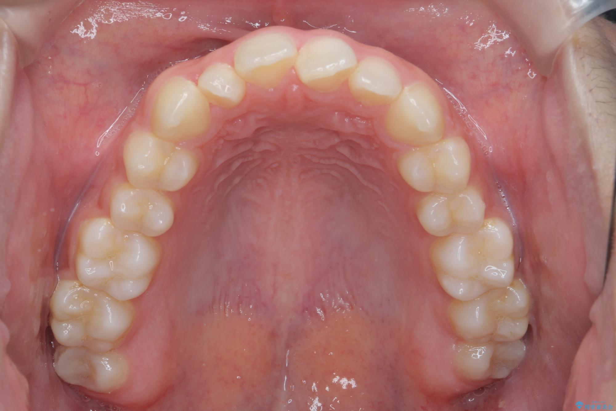
ワイヤーは約4ヶ月の使用で終了し、その後上下のマウスピース矯正へと移行しました。
マウスピース矯正の注意事項(リスク・副作用など)
口腔内・歯並びの状態によっては対応できない場合があります
マウスピース型矯正装置の長時間装着(1日20時間以上)が必須です
治療計画通りに進めるためには、患者様の意志が重要になります
矯正治療後の保定が不十分だと後戻り(元の位置に戻ろうとする動き)をします
薬機法対象外の矯正歯科装置のため医薬品副作用被害救済制度の対象外となる場合があります
自費診療(保険適用外)となります








