ワイヤー矯正で深い噛み合わせ、すきっ歯の改善
治療概要
患者様
20代女性
治療期間
2年
矯正装置
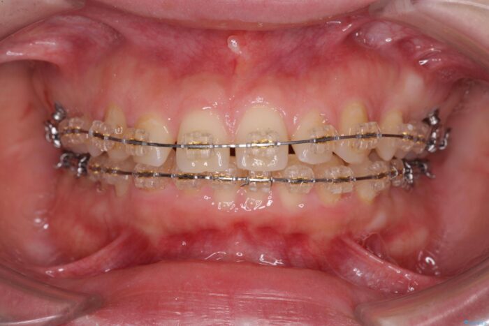
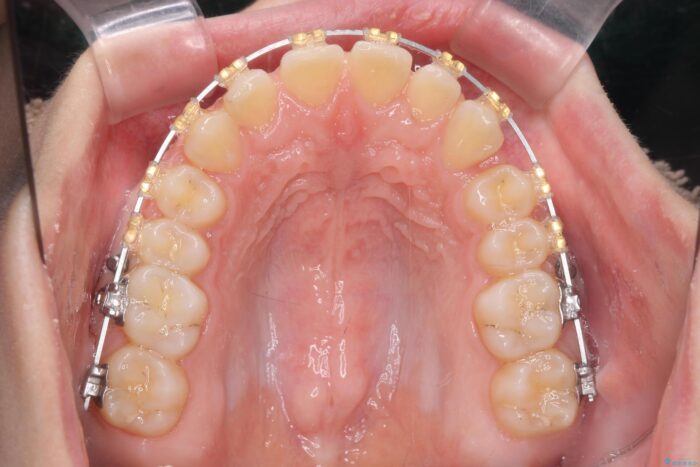
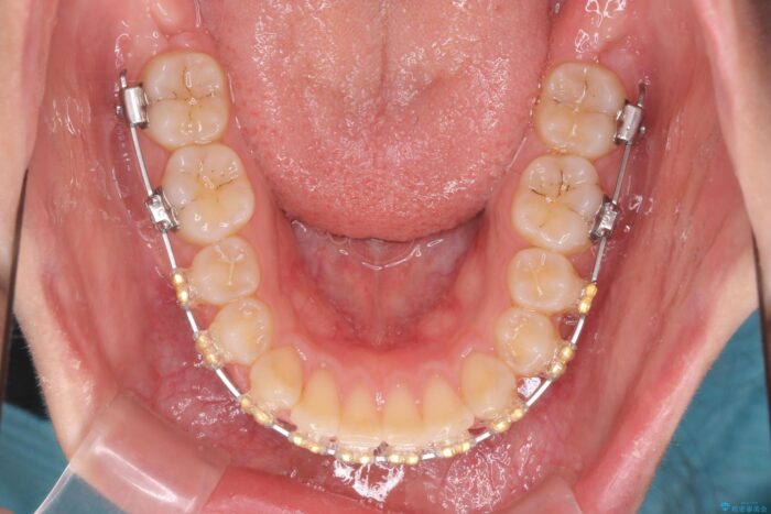
ワイヤー矯正
概算治療費
99万円
※費用は治療当時の料金となります担当医
大元
治療動機
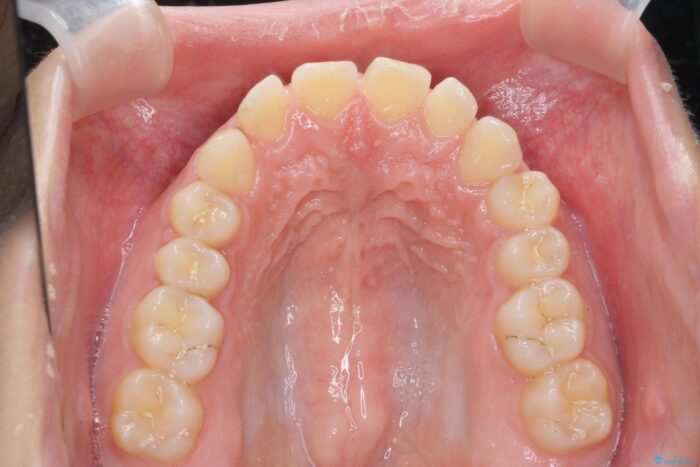
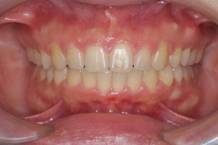
噛み合わせが深く、前歯が突き出て隙間が出てきたと矯正治療を希望されご来院されました。
治療計画
ワイヤー矯正にて深い噛み合わせを改善し、前歯の隙間もなくし審美的な歯列となるよう治療を行います。
治療後について
深い噛み合わせの改善は前歯の圧下が必要なため、治療期間が長期化することが多いです。
マウスピース矯正の注意事項(リスク・副作用など)
口腔内・歯並びの状態によっては対応できない場合があります
マウスピース型矯正装置の長時間装着(1日20時間以上)が必須です
治療計画通りに進めるためには、患者様の意志が重要になります
矯正治療後の保定が不十分だと後戻り(元の位置に戻ろうとする動き)をします
薬機法対象外の矯正歯科装置のため医薬品副作用被害救済制度の対象外となる場合があります
自費診療(保険適用外)となります








