前歯の歯間の虫歯、セラミックで美しく
治療概要
患者様
30代男性
治療期間
1ヶ月
概算治療費
52.8万円(ジルコニアクラウン×4・仮歯×4 )
※費用は治療当時の料金となります担当医
大元
治療動機
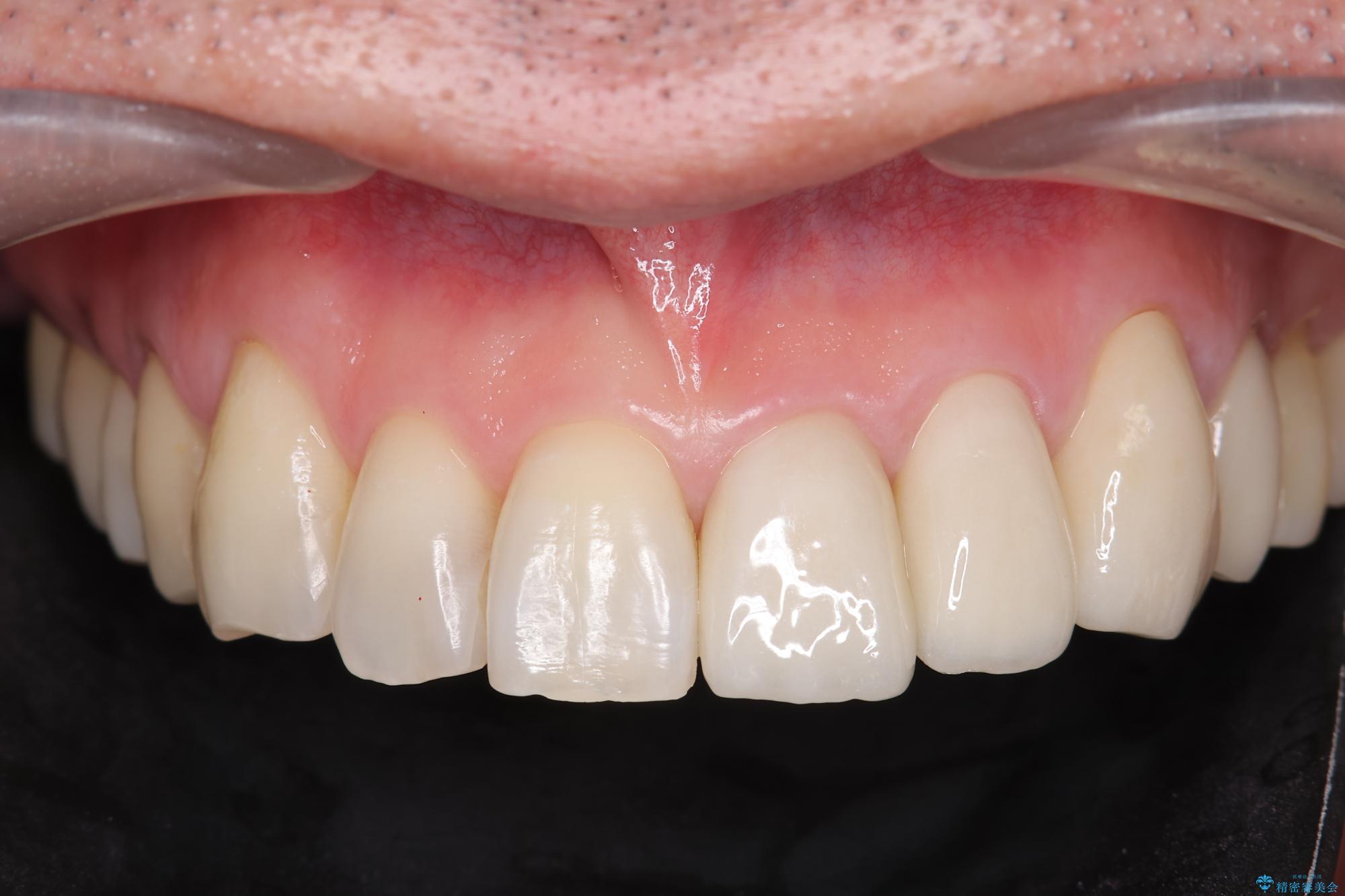
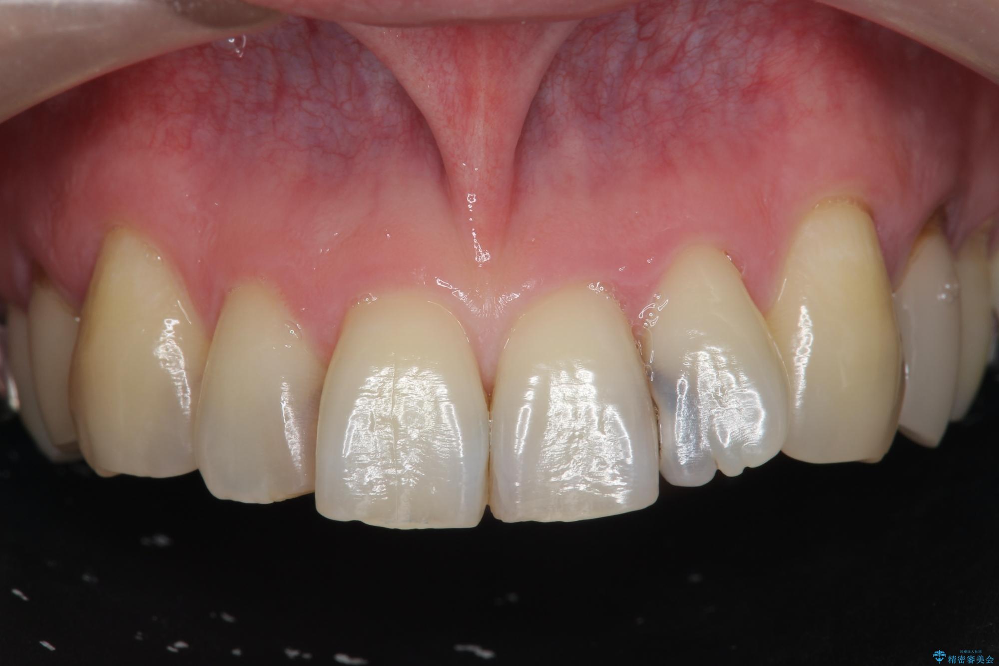
前歯の影が大きくなってきているとご相談にいらっしゃった患者様です。
治療計画
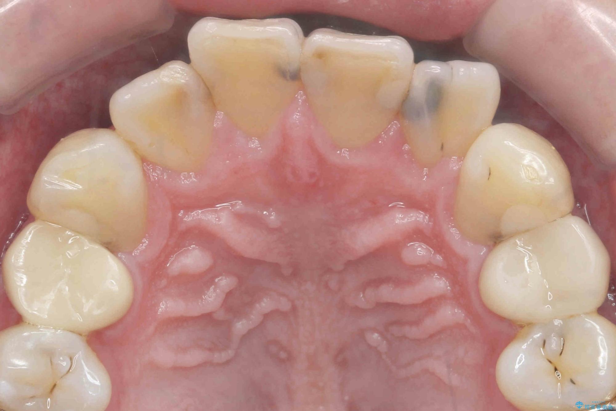
視診、X線写真より前歯に発生した大きな虫歯が認められました。
虫歯を丁寧に除去し、虫歯の再発を防ぐために、患者様と相談の上コンポジットレジン修復ではなくジルコニアクラウンによる治療を行っていくこととしました。
治療後について
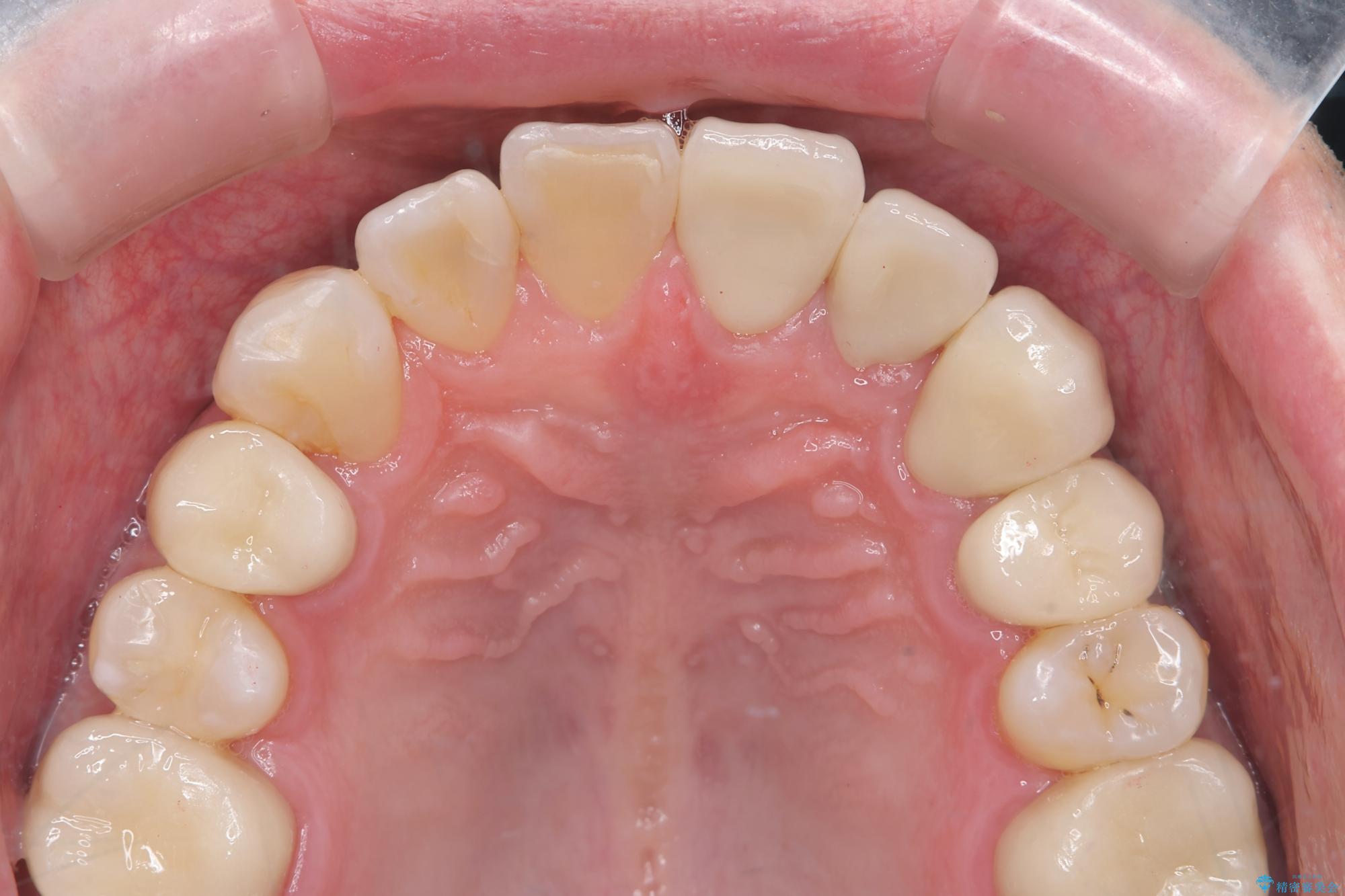
セラミック治療を行うことで、虫歯の再発リスクをおさえただけでなく、審美的な前歯の見た目を回復することができました。
セラミック治療の注意事項(リスク・副作用など)
天然歯を削ります
硬い素材は天然歯を傷つけてしまう場合があります
かみ合わせや歯ぎしりが強すぎる方はセラミックが割れてしまう可能性があります
自費診療(保険適用外治療)となります



