ジルコニアクラウンで前歯の変色を自然な白さに改善
治療概要
患者様
40代女性
治療期間
1ヶ月
概算治療費
52.8万円(ジルコニアクラウン×4・仮歯×4)
※費用は治療当時の料金となります担当医
大元
治療動機
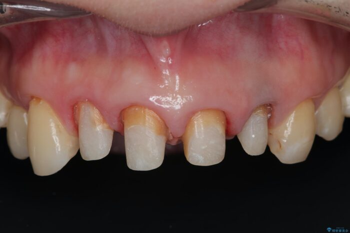
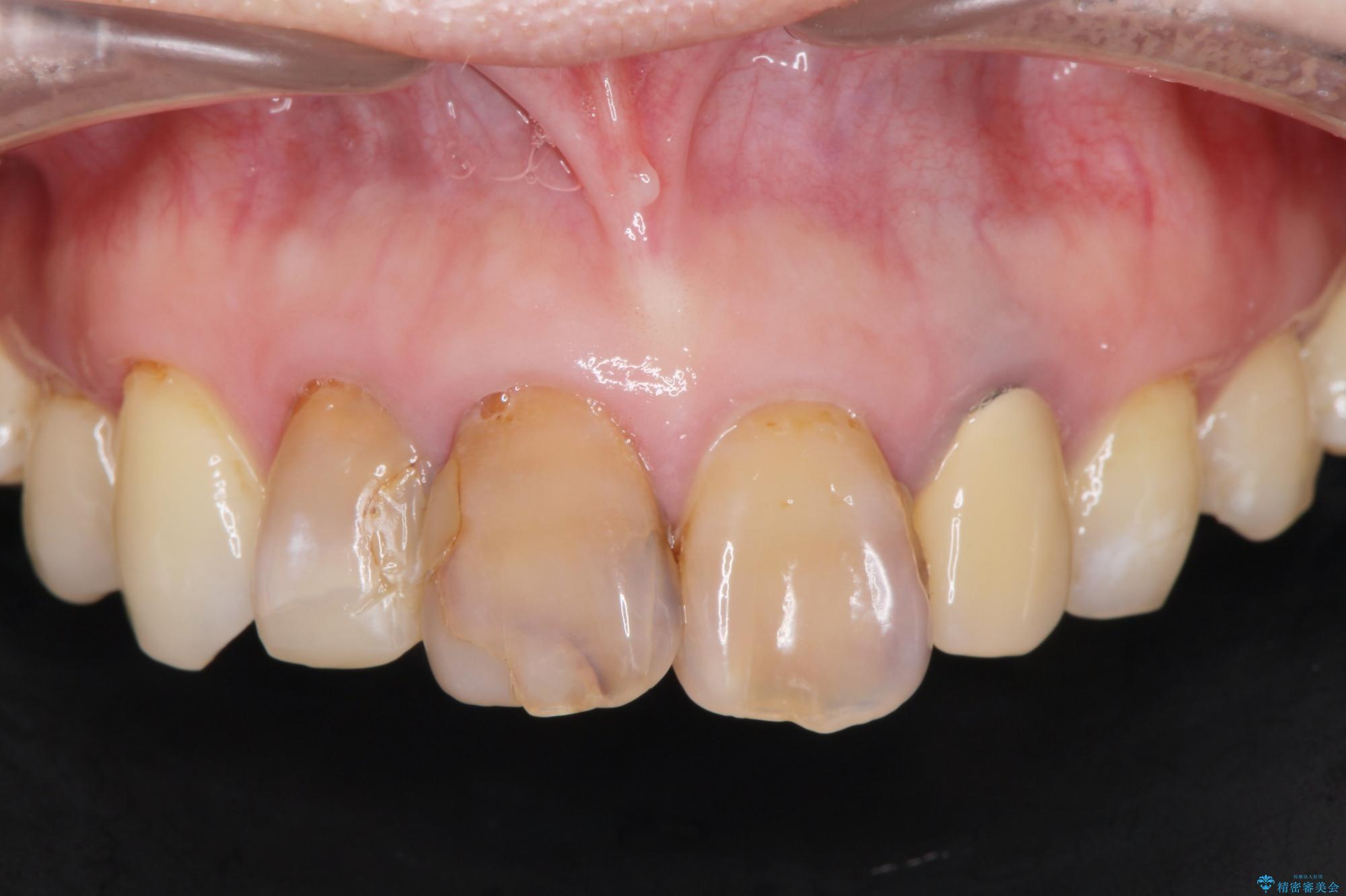
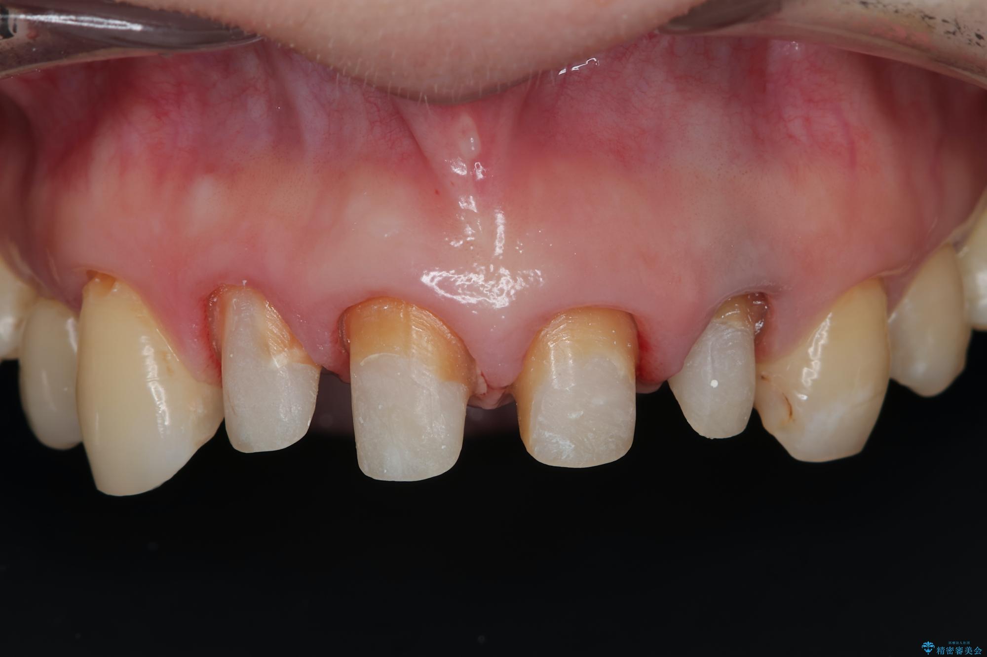
前歯の変色、審美障害の改善を主訴にご来院されました。
治療計画
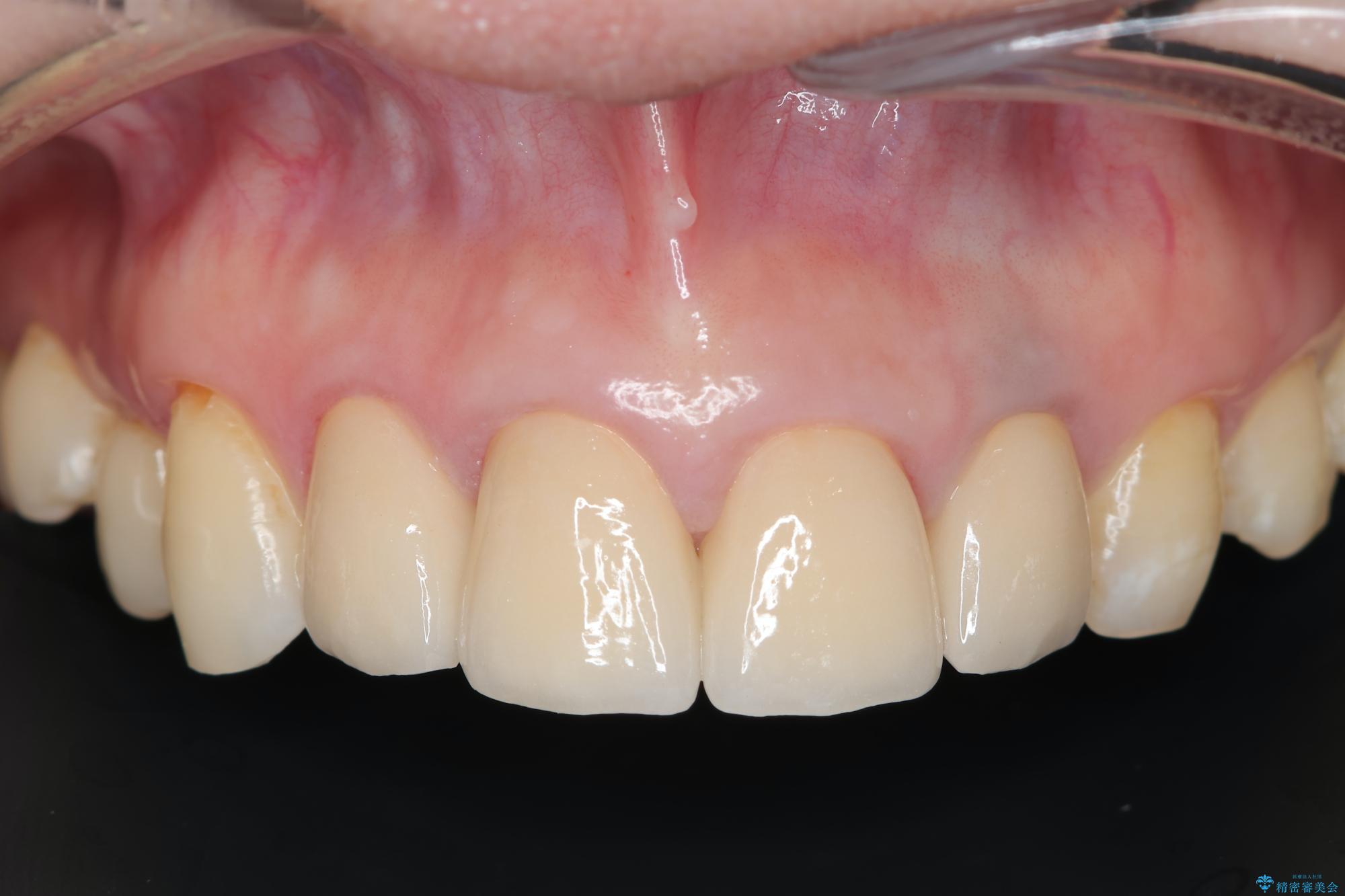
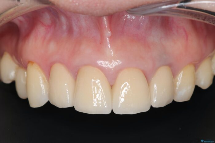
レントゲン検査の結果、前歯4本は以前の根管治療が原因で変色し、根の先にも炎症が見られました。そこで、根管治療をやり直して根の病気を治し、ジルコニアクラウンで美しく修復する計画です。
治療後について
根管治療後にクラウンを被せないと、時間が経つにつれて前歯が変色し、見た目が悪くなってしまうことがほとんどです。
セラミック治療の注意事項(リスク・副作用など)
天然歯を削ります
硬い素材は天然歯を傷つけてしまう場合があります
かみ合わせや歯ぎしりが強すぎる方はセラミックが割れてしまう可能性があります
自費診療(保険適用外治療)となります


