ナイトガードで歯を守る
治療概要
患者様
40代女性
治療期間
1日
概算治療費
自費ナイトガード ・3.3万円
※費用は治療当時の料金となります担当医
青山
治療動機
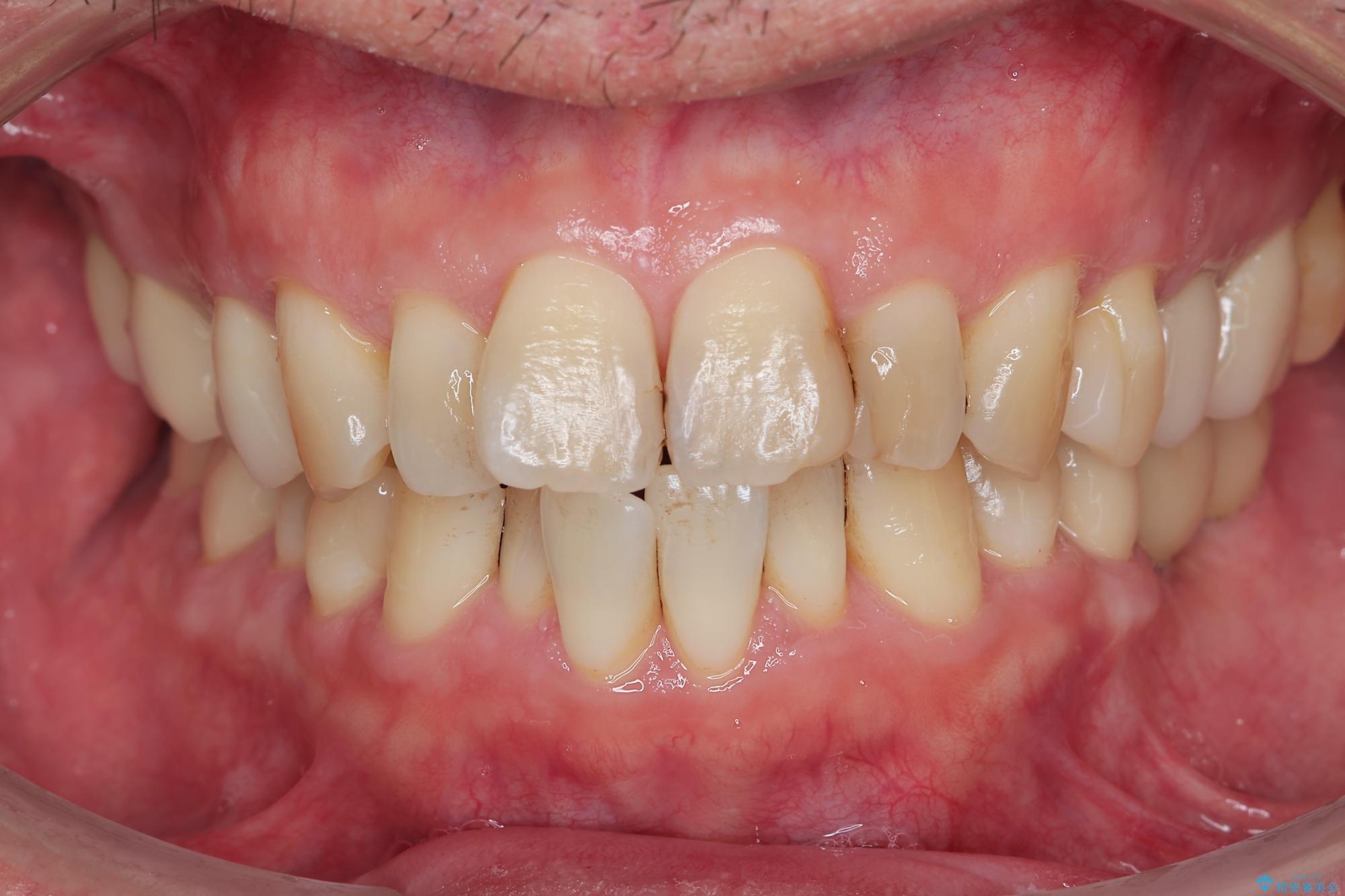
お口の中全体的な治療を終えた患者様です。
治療計画
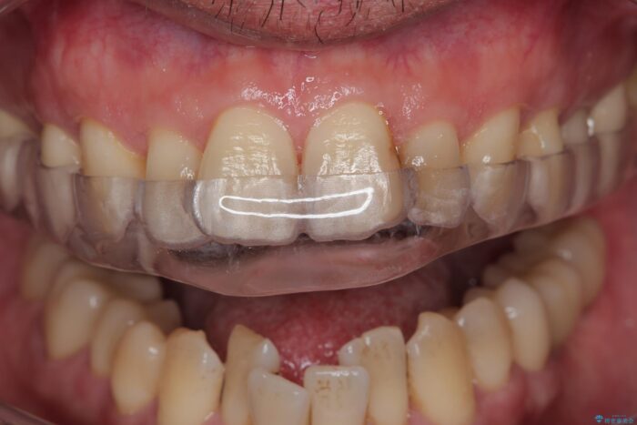
今後の予防のためにナイトガードの作成を行いました。
治療後について
就寝時にナイトガードを着用することで、歯ぎしりを予防し歯のすり減りや被せ物が欠けるのを予防することができます。
その他の注意事項(リスク・副作用など)
担当歯科医師、歯科衛生士又は医院スタッフから受けた説明・注意事項をよくご確認ください
医療を提供するに当たり、適切な説明を行い、患者様の十分な理解を得るよう努めております


