前歯のねじれを解消!矯正治療で見た目の印象を格上げ
治療概要
患者様
20代女性
治療期間
1年2ヶ月
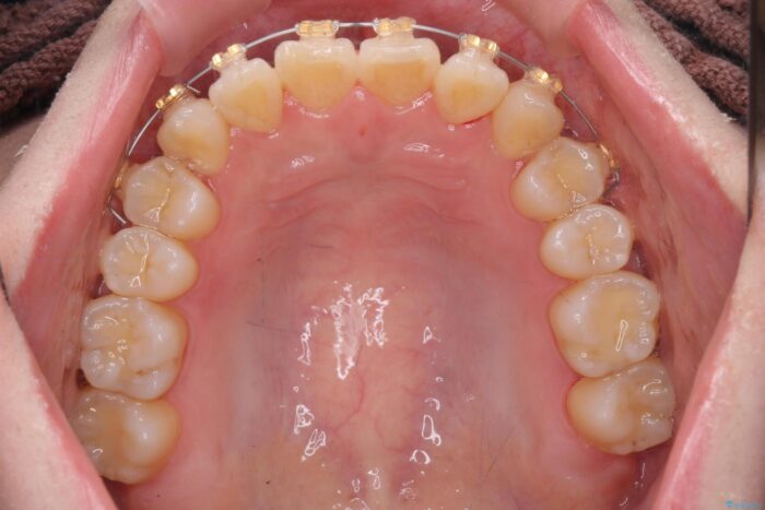
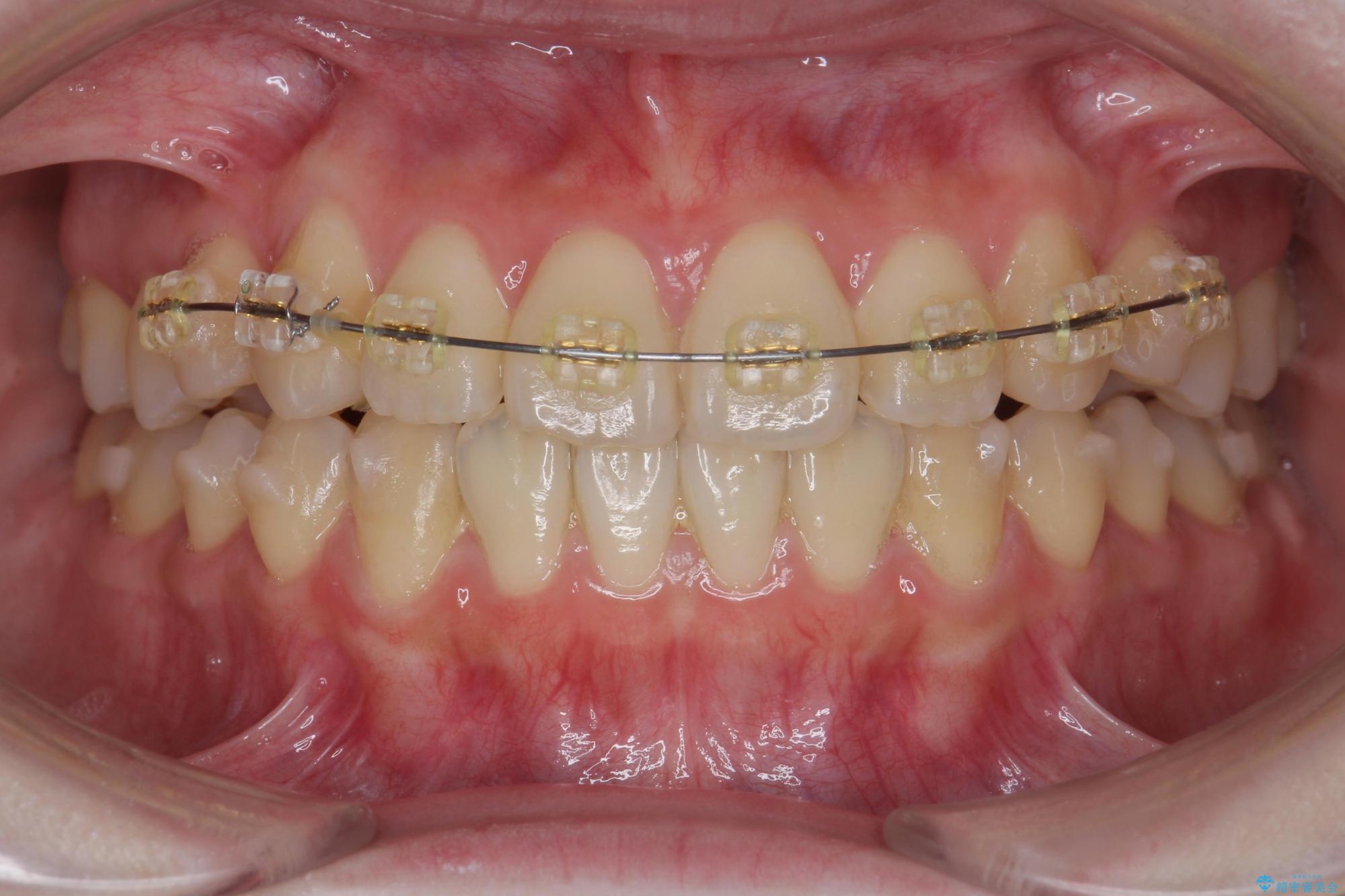
矯正装置
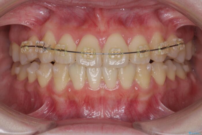
インビザライン +部分ワイヤー矯正
概算治療費
77万円
※費用は治療当時の料金となります担当医
大元
治療動機
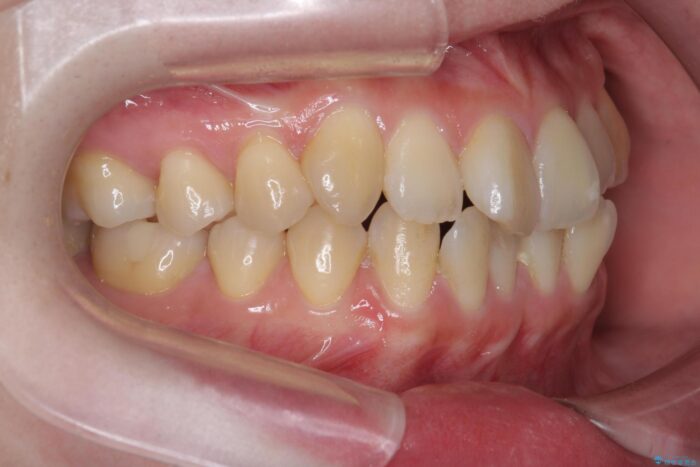
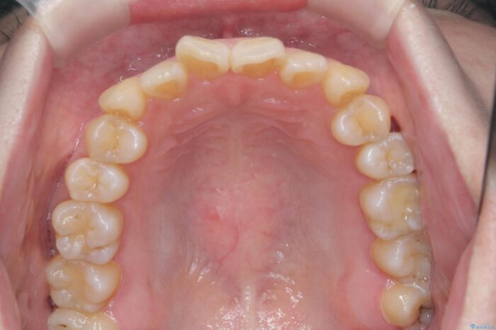
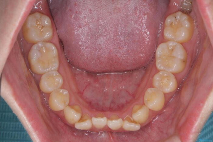
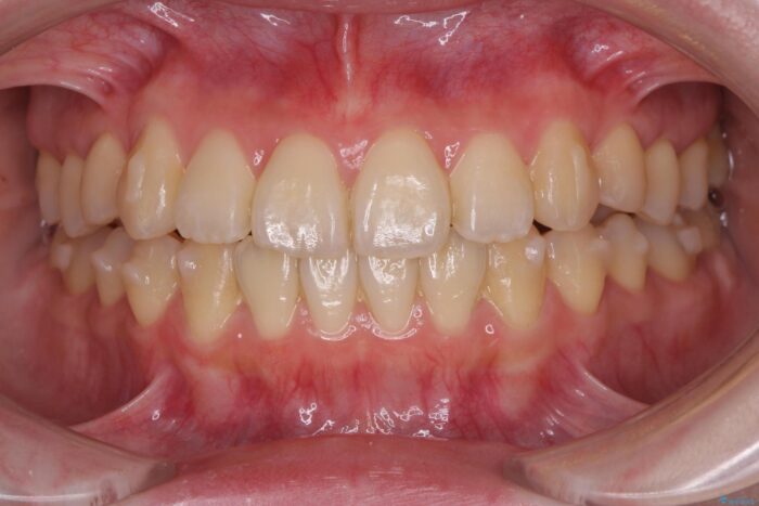
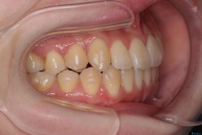
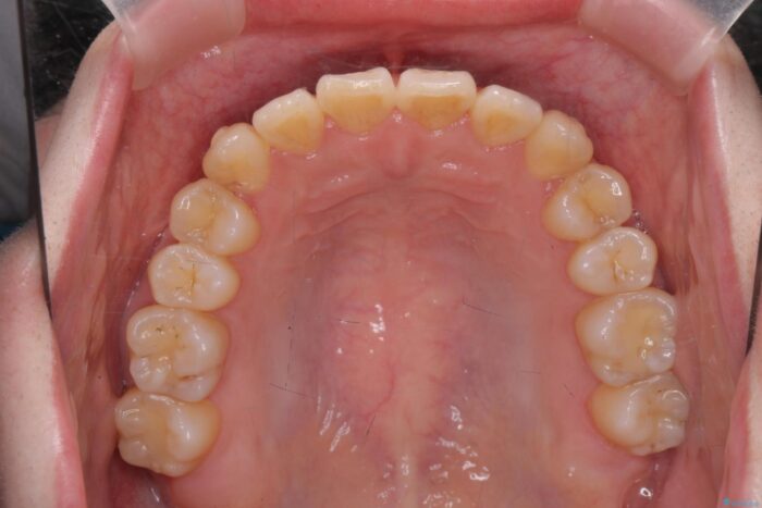
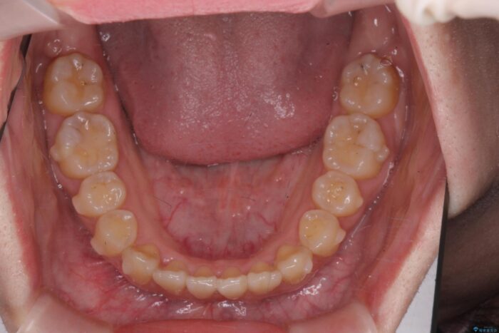
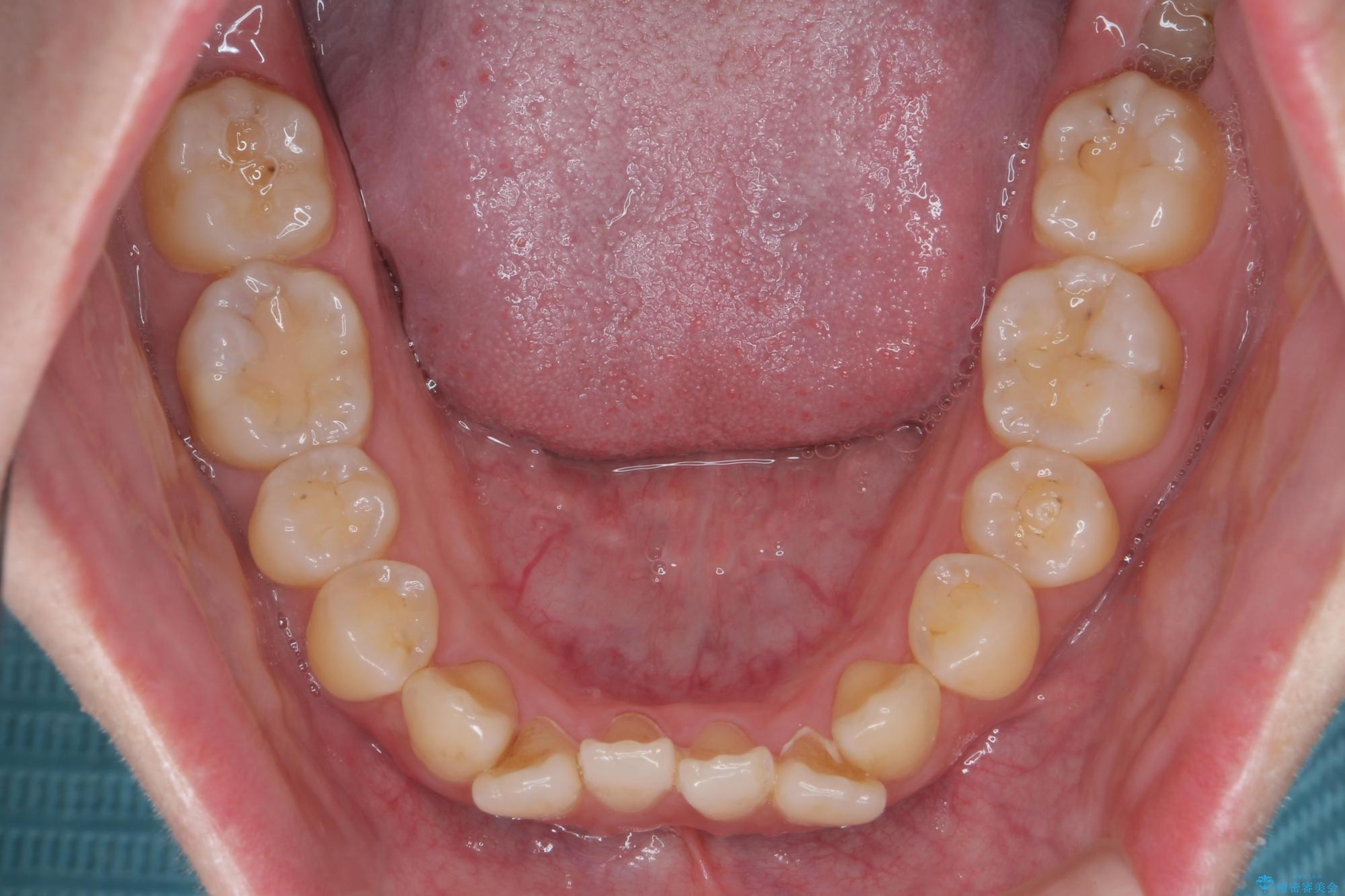
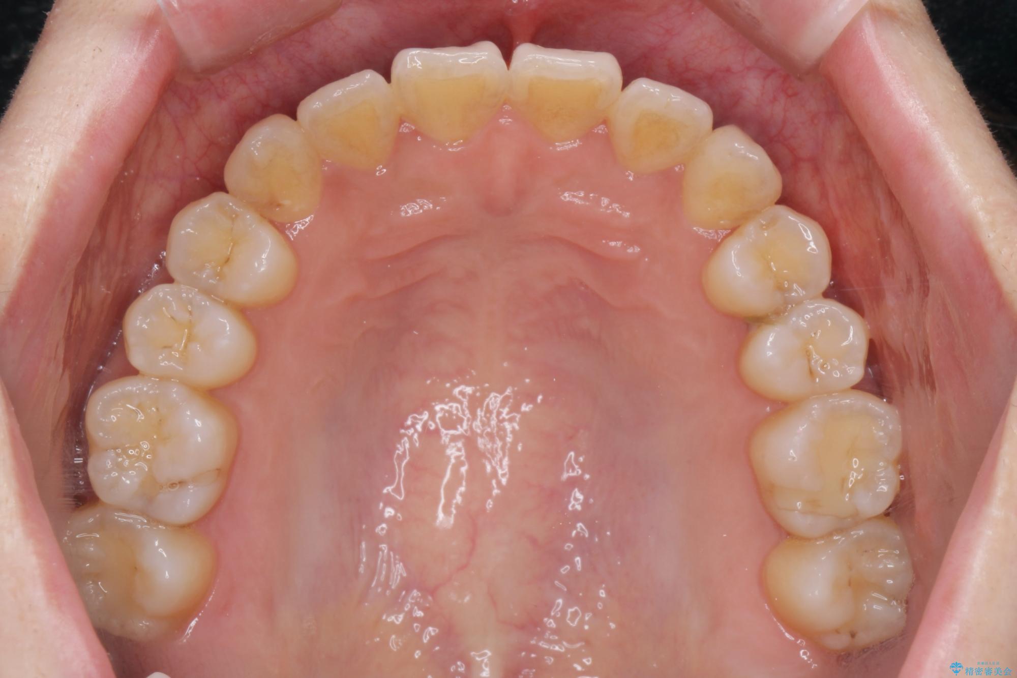
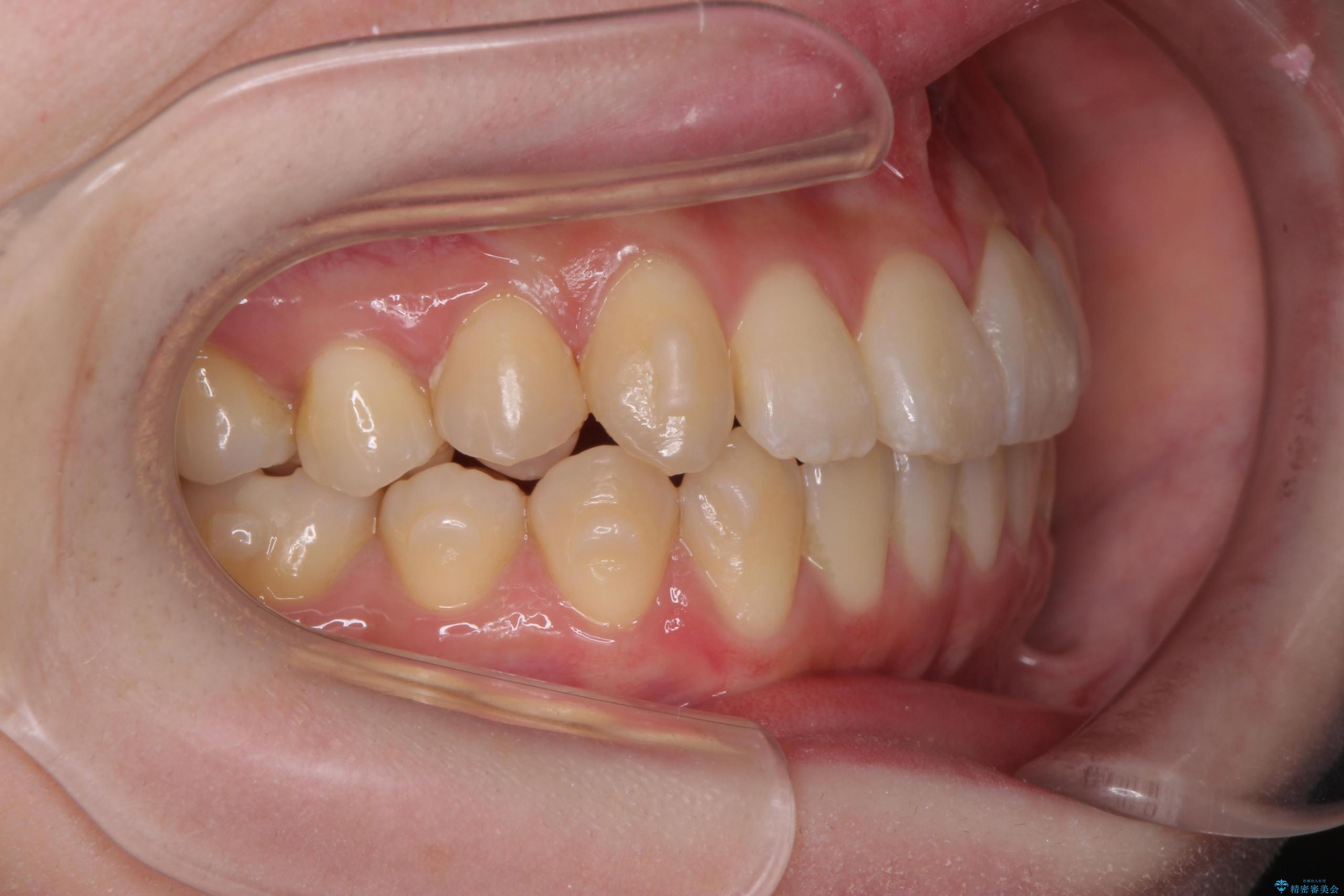
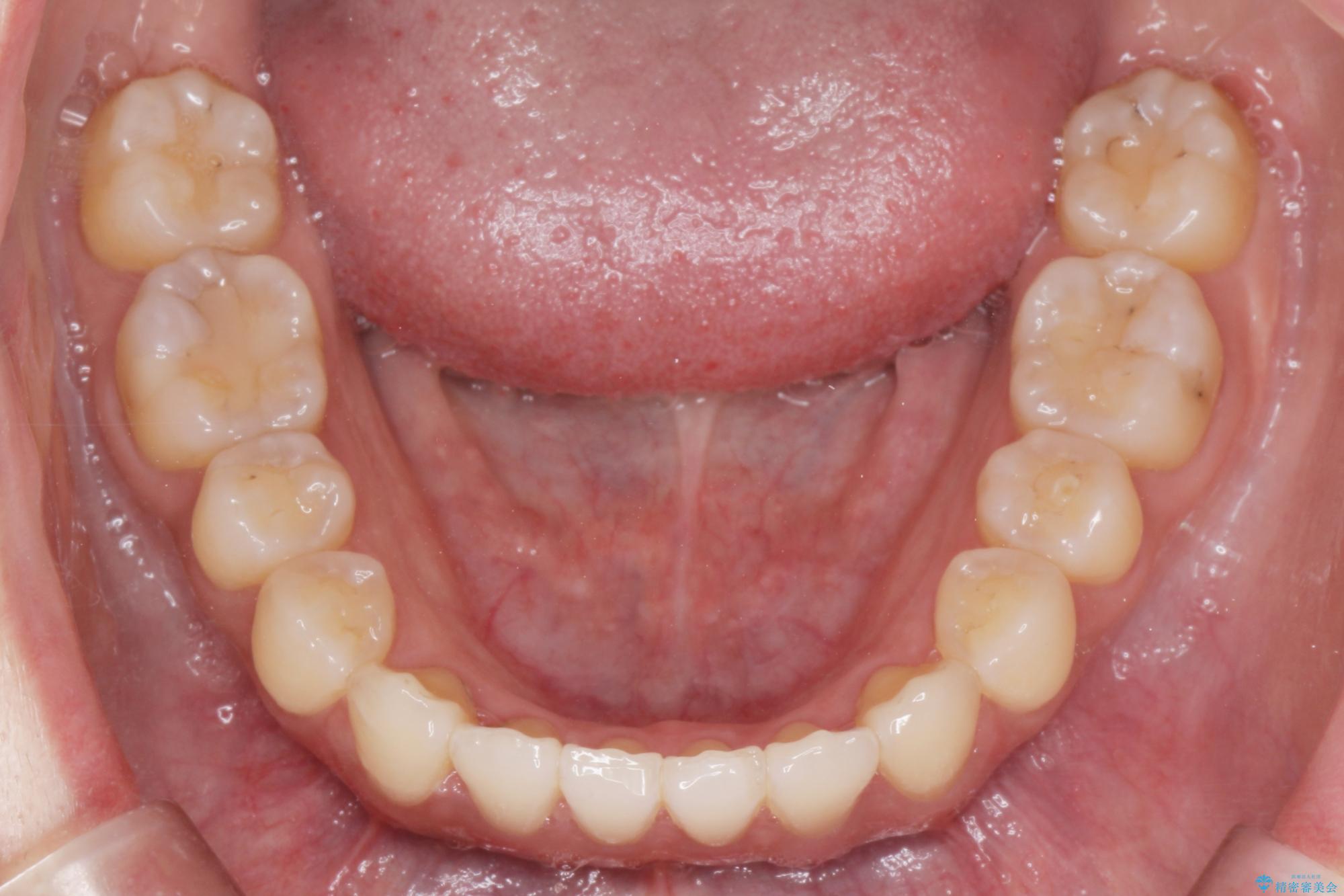
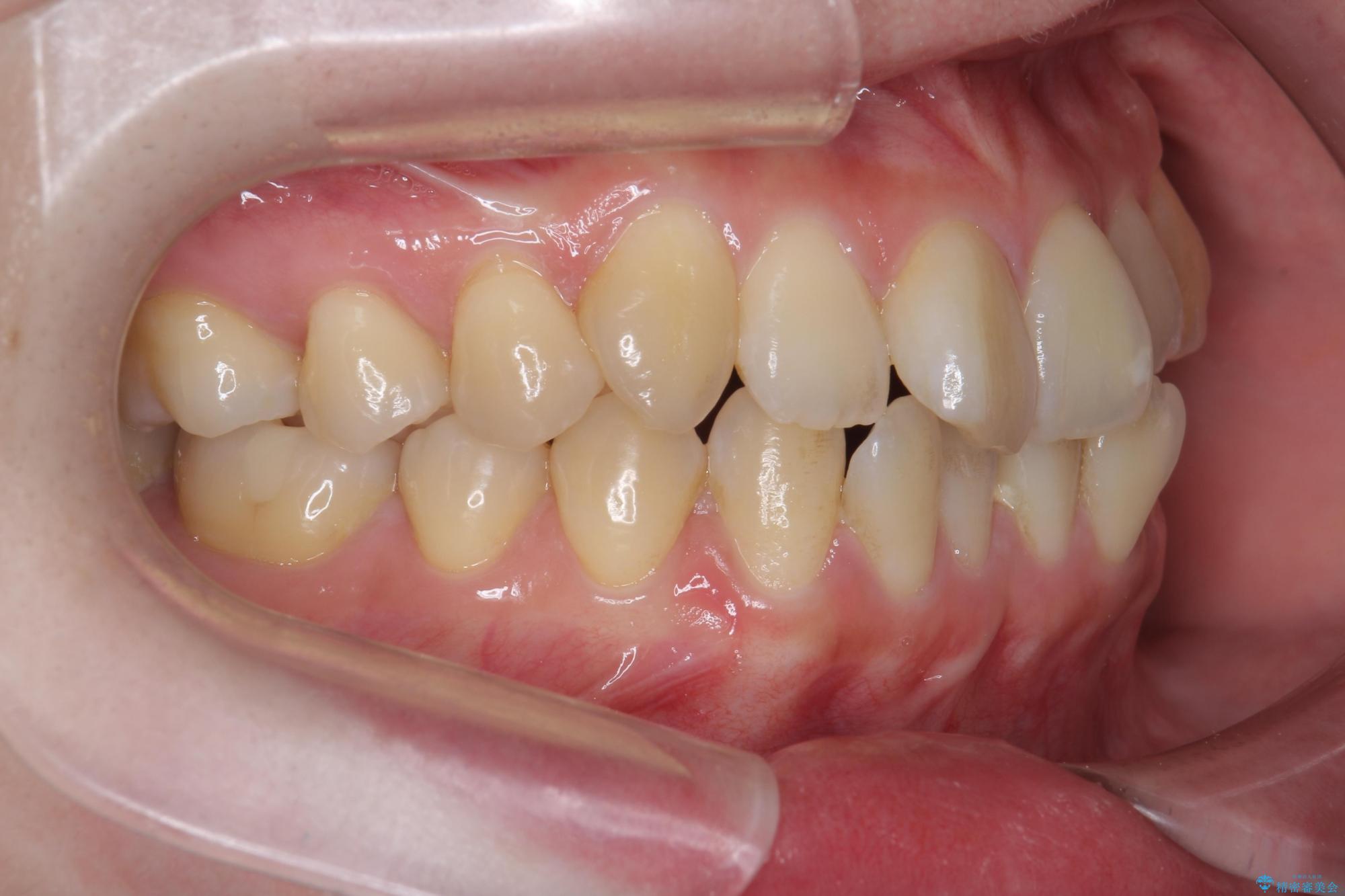
前歯のねじれが気になる、歯並びを改善したいとご来院された患者様です。
治療計画
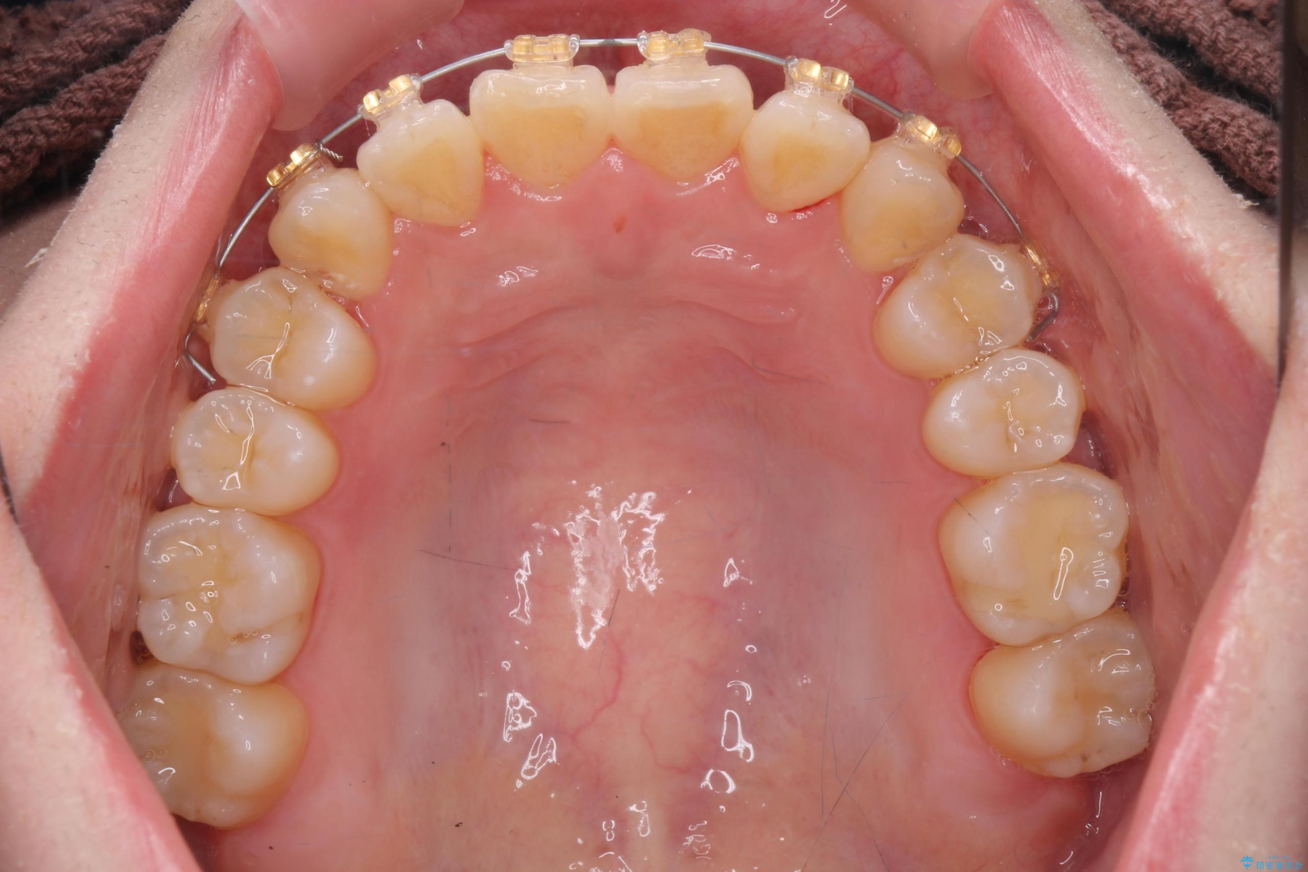
歯のねじれをきれいに取るのは、インビザライン(マウスピース矯正)だけでは難しい動きです。そのため、事前に4か月間の部分ワイヤー矯正を行い、治療期間を短くし、より美しい仕上がりを目指す計画です。
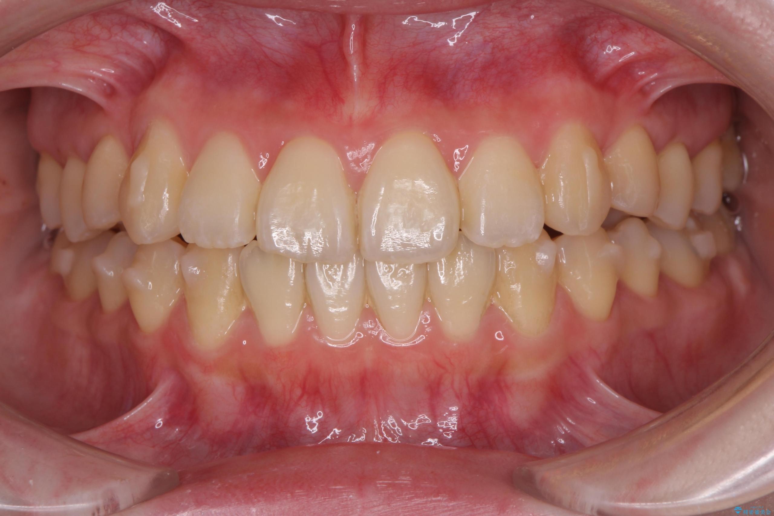
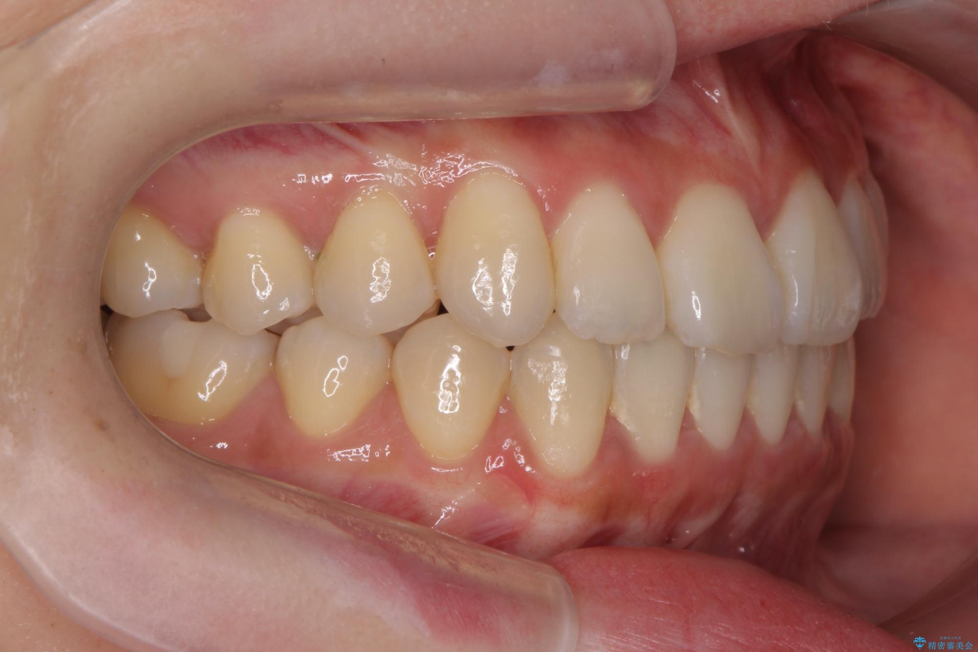
治療後について
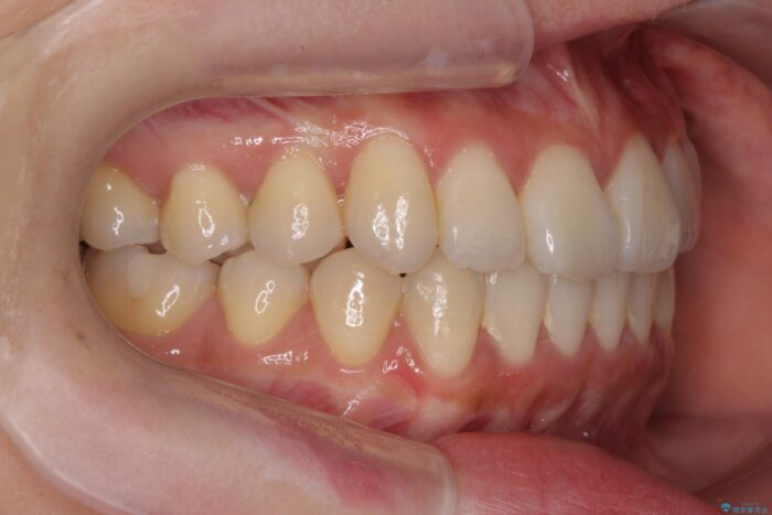
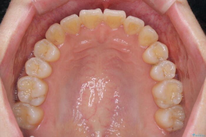
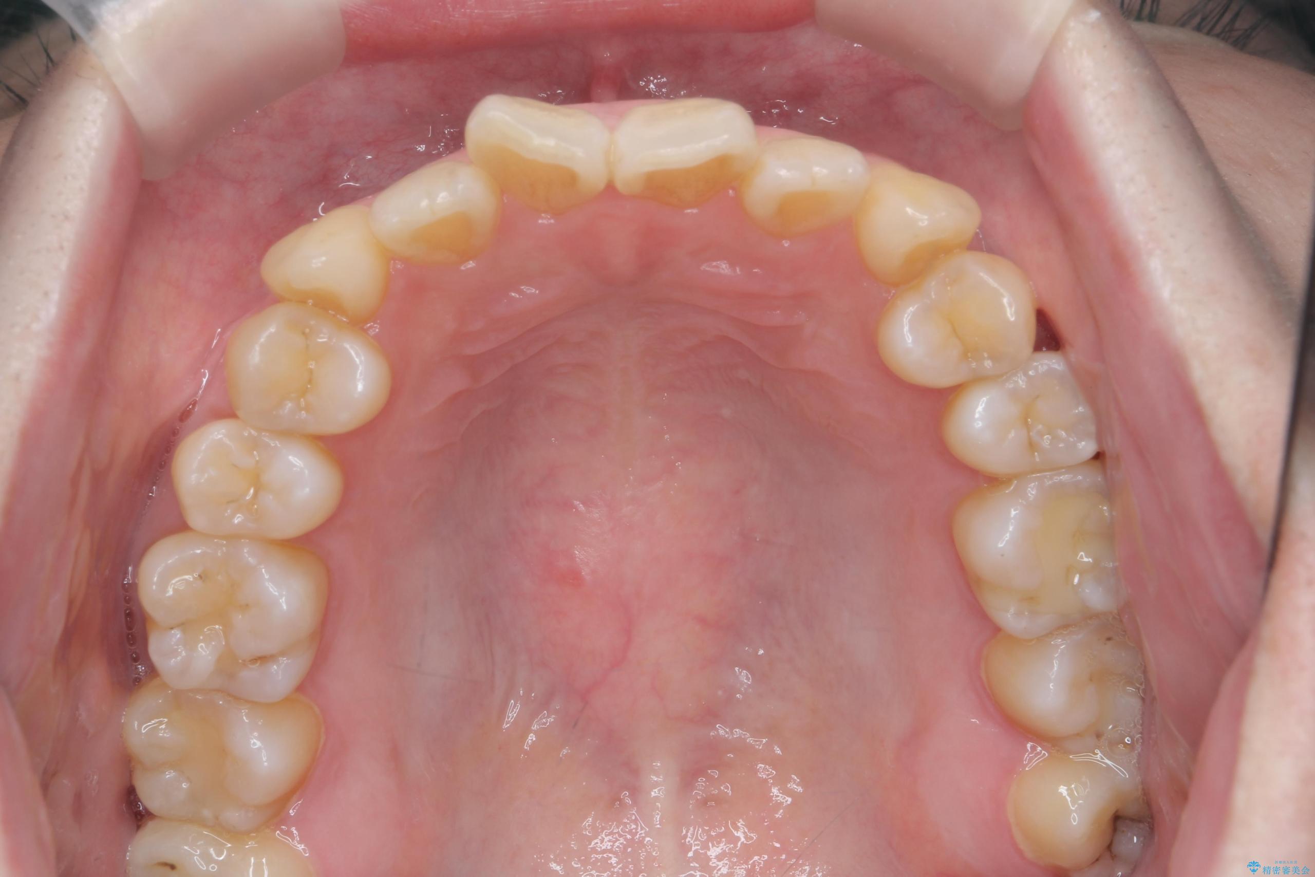
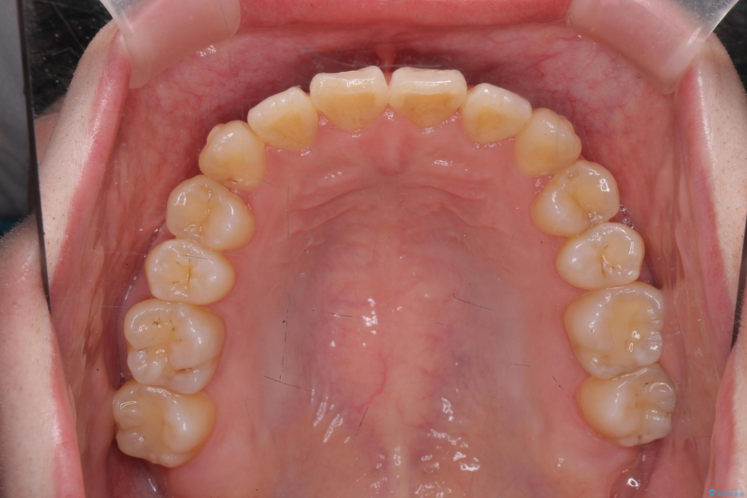
前歯が綺麗に並び、大変ご満足いただけました。
マウスピース矯正の注意事項(リスク・副作用など)
口腔内・歯並びの状態によっては対応できない場合があります
マウスピース型矯正装置の長時間装着(1日20時間以上)が必須です
治療計画通りに進めるためには、患者様の意志が重要になります
矯正治療後の保定が不十分だと後戻り(元の位置に戻ろうとする動き)をします
薬機法対象外の矯正歯科装置のため医薬品副作用被害救済制度の対象外となる場合があります
自費診療(保険適用外)となります













