インビザラン、部分矯正併用しがたつきの改善
治療概要
患者様
30代男性
治療期間
1年
矯正装置
インビザラインモデレート 部分矯正
概算治療費
インビザラインモデレート 60.5万円 部分矯正 16.5万円
※費用は治療当時の料金となります担当医
青山
治療動機
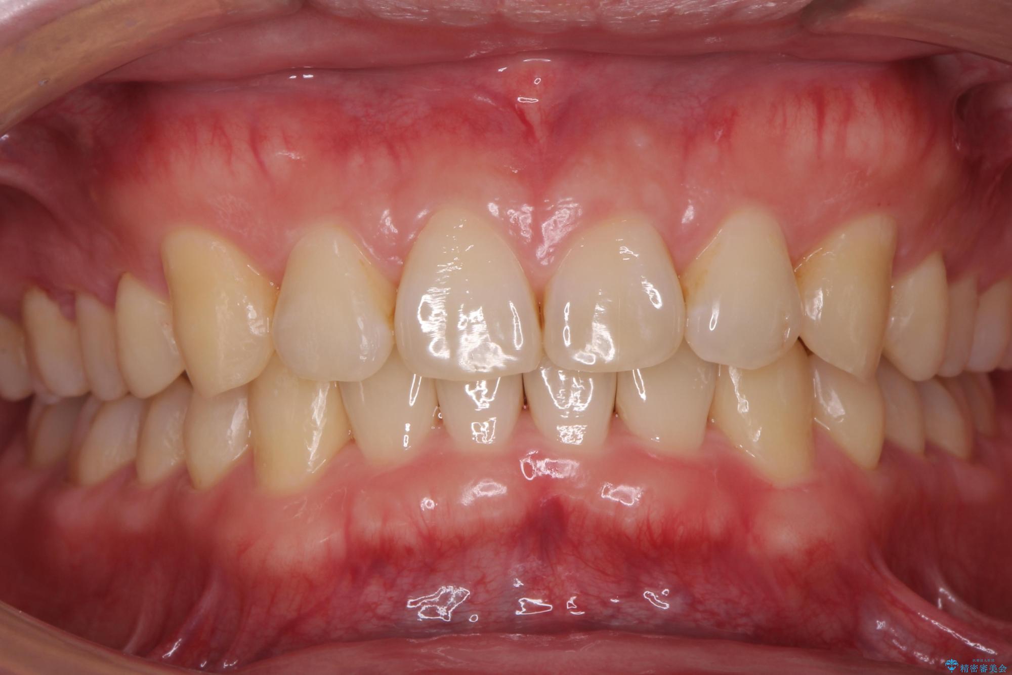
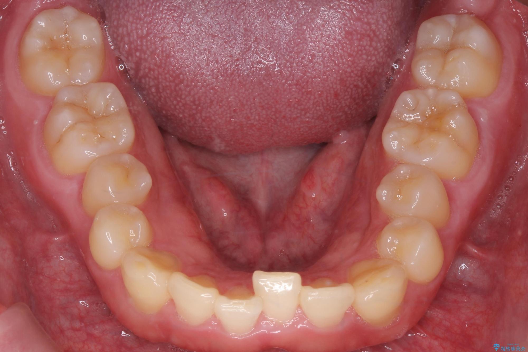
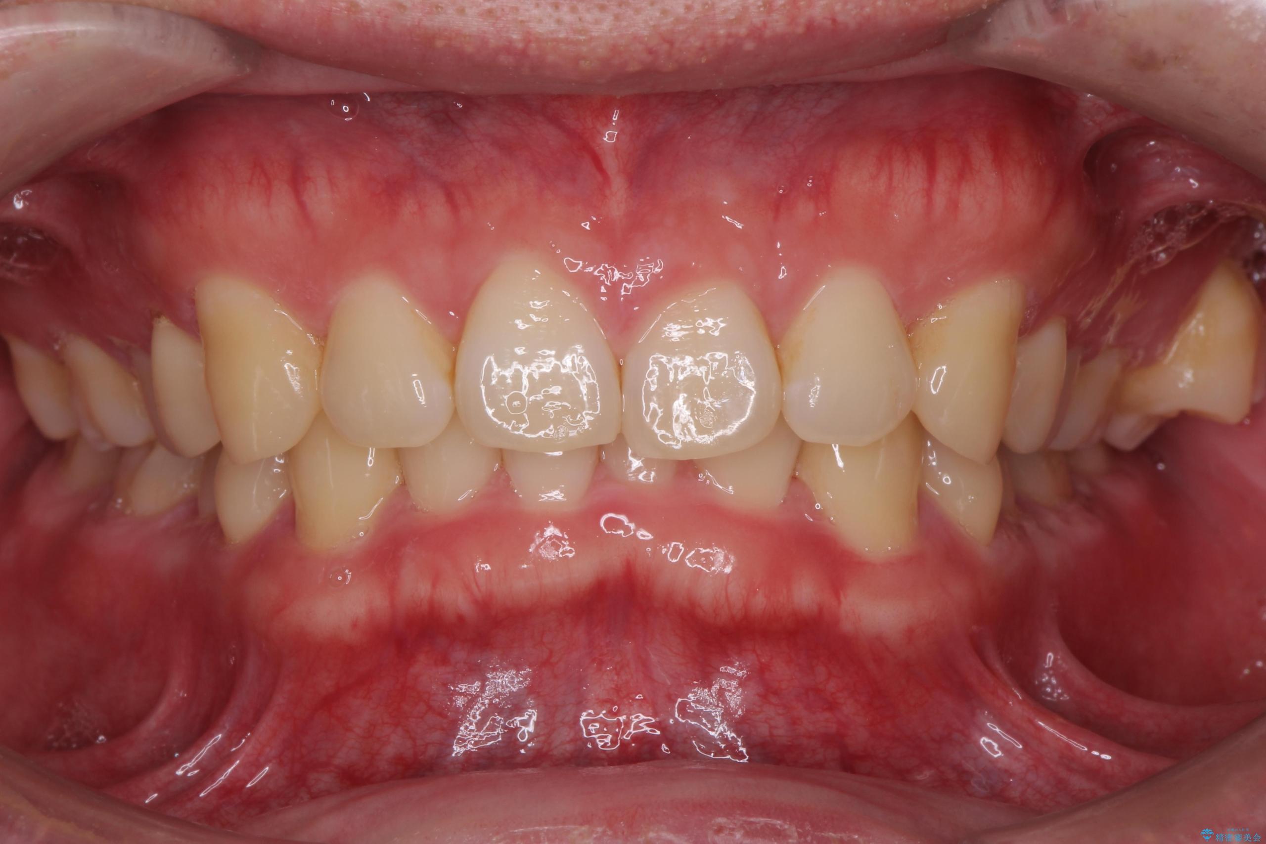
下の歯のがたつきが気になるとご来院されました。
治療計画
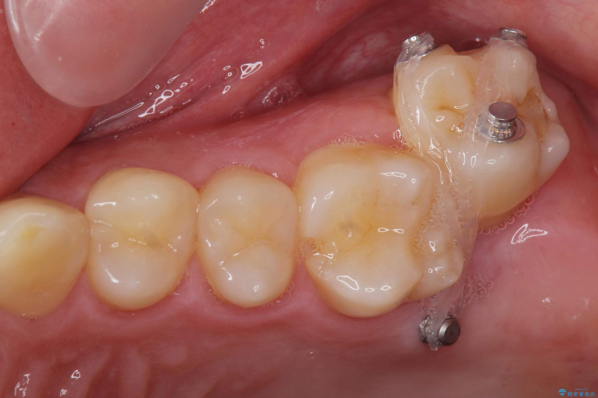
左上の奥歯がシザーバイトがありました。
部分矯正を行いシザーバイトを改善した後、インビザラインで歯列を整えました。
治療後について
シザーバイトは歯と歯が噛み合っていないのでしっかり噛めるように処置をする必要があります。
歯のがたつきが改善され大変お喜びいただけました。
マウスピース矯正の注意事項(リスク・副作用など)
口腔内・歯並びの状態によっては対応できない場合があります
マウスピース型矯正装置の長時間装着(1日20時間以上)が必須です
治療計画通りに進めるためには、患者様の意志が重要になります
矯正治療後の保定が不十分だと後戻り(元の位置に戻ろうとする動き)をします
薬機法対象外の矯正歯科装置のため医薬品副作用被害救済制度の対象外となる場合があります
自費診療(保険適用外)となります









