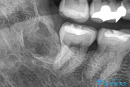
埋伏歯の抜歯
治療概要
患者様
50代女性
治療期間
1ヶ月
概算治療費
保険治療
※費用は治療当時の料金となります担当医
青山
治療動機
埋まっている親知らずを抜歯したいとご来院されました。
治療計画
パノラマ,CT撮影を行い安全なことを確認して抜歯を行いました。
当日の抜歯も可能で、抜歯後1週間後に抜糸と消毒を行い処置は完了になります。
治療後について
親知らずは虫歯のリスクが高いため抜歯をすることをお勧めします。
外科処置の注意事項(リスク・副作用など)
外科手術のため、術後に出血、痛みや腫れ、違和感を伴います
口腔内の状態によっては適応できないことがあります
保険治療の注意事項(リスク・副作用など)
保険医が保険医療機関において健康保険法、医師法、医療法等の各種関係法令の規定を遵守し、『療養担当規則』の規定を遵守し、医学的に妥当適切な診療を行い、診療報酬点数表に定められたとおりに請求を行っています
使用する材料・素材や治療方法に制約があります
健康保険適用となります







