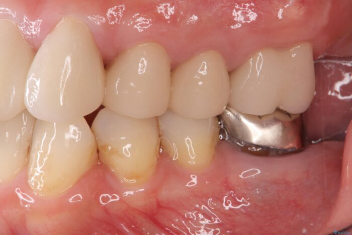
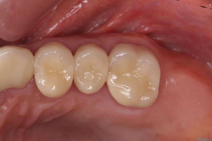
清掃しやすいクラウンへ
治療概要
患者様
40代女性
治療期間
6ヶ月
概算治療費
39.6万円(ジルコニアクラウン×3・仮歯×3)
※費用は治療当時の料金となります担当医
大元
治療動機
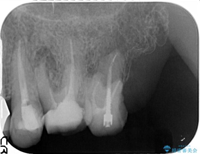
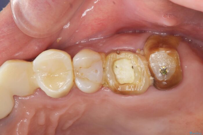
他院での治療の途中で通院をやめてしまい、当院で治療の続きを希望された患者様です。
治療計画
クラウンが装着されておらず、つぎはぎだらけの処置歯を、精度の高いセラミッククラウンを用いて歯ブラシのしやすい環境整備を行っていきます。
治療後について
セラミッククラウンの治療は、天然の歯のような審美性を回復できることも大切ですが、精度が高くきっちりと歯ブラシを行いやすい状態を整えることで虫歯や歯周病の再発リスクを下げることも非常に大切です。
セラミック治療の注意事項(リスク・副作用など)
天然歯を削ります
硬い素材は天然歯を傷つけてしまう場合があります
かみ合わせや歯ぎしりが強すぎる方はセラミックが割れてしまう可能性があります
自費診療(保険適用外治療)となります





