歯ぐきのボリュームを回復しブリッジで自然で美しい歯に
治療概要
患者様
40代女性
治療期間
8ヶ月
概算治療費
61.6万円(ジルコニアクラウン×3・仮歯×3 歯槽骨増大術 歯肉移植術)
※費用は治療当時の料金となります担当医
大元
治療動機
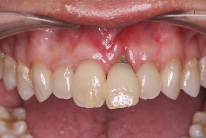
歯ぐきが下がり前歯の見た目が悪い、歯も揺れるので治療したいとご来院された患者様です。
治療計画
精密検査の結果、前歯の根元に割れ(破折)が見つかり、やむを得ず抜歯という判断に至りました。
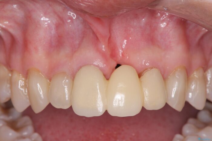
抜歯後は周囲の骨が大きく減り、歯ぐきが痩せて見た目が損なわれる恐れがあったため、あえて骨を増やす処置や歯ぐきの移植を併用。ブリッジにて治療を行っていくこととしました。
治療後について
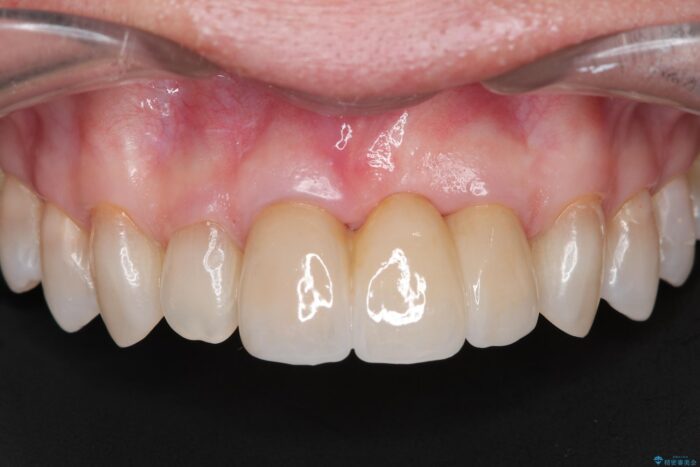
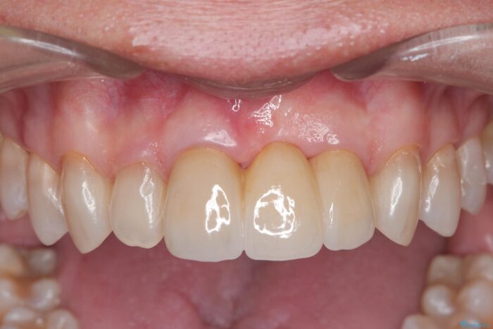
歯肉のボリュームはしっかりと改善し、色調にも優れた審美的なジルコニアセラミックブリッジを装着することができました。
外科処置の注意事項(リスク・副作用など)
外科手術のため、術後に出血、痛みや腫れ、違和感を伴います
口腔内の状態によっては適応できないことがあります
セラミック治療の注意事項(リスク・副作用など)
天然歯を削ります
硬い素材は天然歯を傷つけてしまう場合があります
かみ合わせや歯ぎしりが強すぎる方はセラミックが割れてしまう可能性があります
自費診療(保険適用外治療)となります





