中等度歯周病の治療後にセラミックで美しい前歯に
治療概要
患者様
50代女性
治療期間
1年6ヶ月
概算治療費
85.8万円(ジルコニアクラウン×4・仮歯×4 歯周病再生療法 歯周ポケット除去手術)
※費用は治療当時の料金となります担当医
大元
治療動機
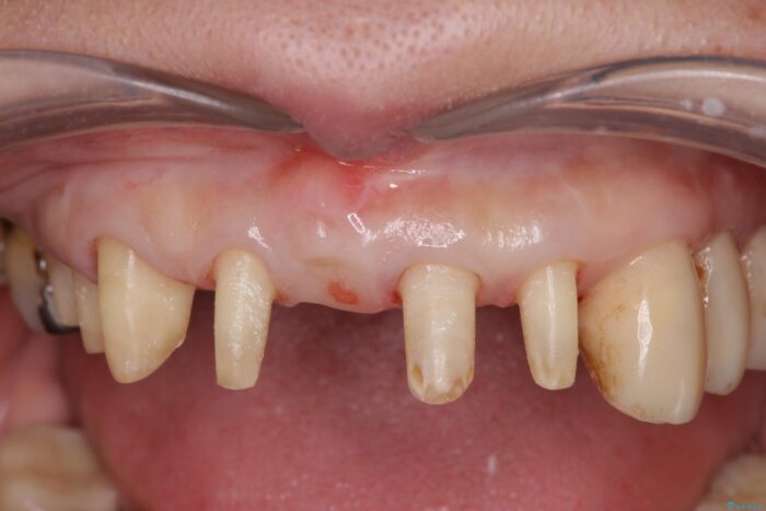
長年、他院にて定期管理および歯周病治療を継続されていたものの、突然多数の抜歯を宣告されたことで治療方針に疑問を抱かれ、当院へ歯周病治療のご相談に来院されました。
治療計画
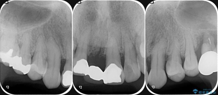
検査の結果、歯周ポケットの測定値は4-6mm程度の値が全顎にわたって認められ、中等度歯周病の状態です。
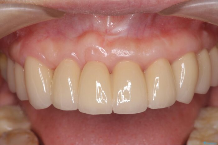
歯を今後残し、歯周病の状態を改善するため、歯槽骨の再生治療をおこなったのち、歯周ポケットの除去、セラミックブリッジの製作を行う治療計画を実行していきます。
治療後について
歯周病によって失われた歯を支える骨(歯槽骨)に対し、再生療法を用いることで骨の再生・回復を実現しました。骨の高さが改善されたことで、歯の土台が強化され、将来にわたって歯をしっかりと支え続けられる口腔内環境を整えることができました。
セラミック治療の注意事項(リスク・副作用など)
天然歯を削ります
硬い素材は天然歯を傷つけてしまう場合があります
かみ合わせや歯ぎしりが強すぎる方はセラミックが割れてしまう可能性があります
自費診療(保険適用外治療)となります
歯周病治療の注意事項(リスク・副作用など)
外科手術のため、術後に痛みや腫れ、違和感を伴います
歯周組織再生治療は患者様の状態によって術後の経過が異なります(見た目が改善しない場合もあります)
歯周組織再生治療は自費診療(保険適用外)となります
外科処置の注意事項(リスク・副作用など)
外科手術のため、術後に出血、痛みや腫れ、違和感を伴います
口腔内の状態によっては適応できないことがあります





