適合の悪い銀歯をセラミックへ
治療概要
患者様
30代男性
治療期間
1ヶ月
概算治療費
20.9万円(ジルコニアクラウン・仮歯・セラミックインレー)
※費用は治療当時の料金となります担当医
大元
治療動機
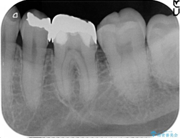
食べ物がよく詰まる、見た目も悪いので銀歯をやり替えたいとご来院された患者様です。
治療計画
銀歯の適合や形態不良により、食べ物が非常に挟まりやすく、虫歯の再発も銀歯の下に認められる状態でした。
不適合な修復物、虫歯の除去を丁寧におこなったのち、清掃しやすい形態へと回復する精密なセラミック治療を行います。
治療後について
歯と歯の間に食べ物が詰まったままの状態だと、虫歯や歯周病を誘発しやすいため、注意が必要です。
セラミック治療の注意事項(リスク・副作用など)
天然歯を削ります
硬い素材は天然歯を傷つけてしまう場合があります
かみ合わせや歯ぎしりが強すぎる方はセラミックが割れてしまう可能性があります
自費診療(保険適用外治療)となります





