しっかり噛めない奥歯、インプラント治療で改善
治療概要
患者様
40代女性
治療期間
10ヶ月
概算治療費
198万円(インプラント×4・チタンカスタムアバットメント×4・ジルコニアクラウン×4・仮歯×4)
※費用は治療当時の料金となります担当医
大元
治療動機
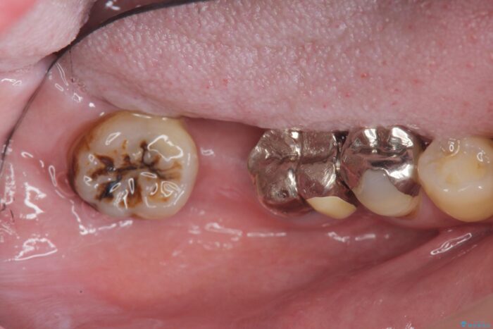
長年、近所の歯医者に通院しているのに、どんどん噛めるところが少なくなっていくという不安から、しっかりと噛める状態を取り戻したいとご希望され、ご来院された患者様です。
治療計画
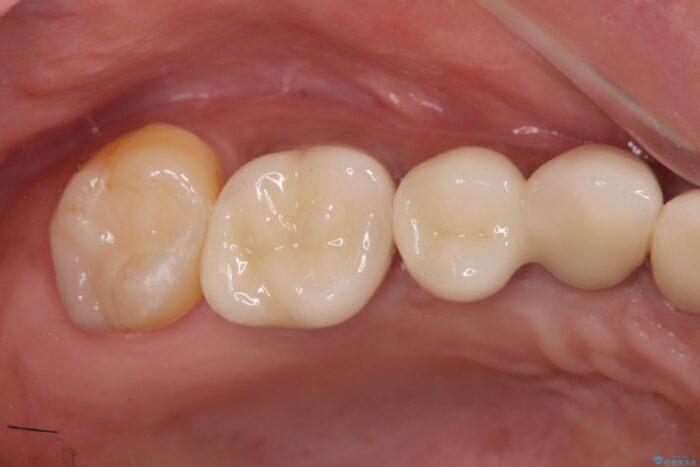
長期的な予後が見込めない歯は抜歯という選択をさせていただき、インプラントを用いて安定した噛み合わせを再構築する治療計画といたしました。
治療後について
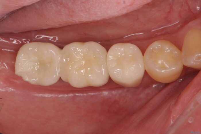
噛める場所が減り、噛み合わせに支障が出ていましたが、インプラントでしっかりと噛める状態を取り戻し、快適な食生活を楽しんでいただけるようになりました。
インプラント治療の注意事項(リスク・副作用など)
外科手術のため、術後に痛みや腫れ、違和感を伴います
メンテナンスを怠ったり喫煙により、お口の中に大きな悪影響を及ぼすインプラント周囲炎等にかかる可能性があります
糖尿病、肝硬変、心臓病等の場合、インプラント治療ができない可能性があります
高血圧、貧血・不整脈等の場合、インプラント治療後に治癒不全を招く可能性があります
自費診療(保険適用外治療)となります







